IN SITU TISSUE ENGINEERING WITH INTEGRA

Embryonic Histogenesis in Regenerative Matrices

 

Marc E. Gottlieb, MD, FACS

 

Phoenix, AZ

 

Revision 01-a, April 16, 2015,  (original),  Copyright © 2015

 

 

1

In Situ Tissue Engineering with Integra

Embryonic Histogenesis in Regenerative Matrices

 

This is a presentation about tissue regeneration in biologic matrices.  It focuses on the histology of new tissue formation in the skin and tissue regeneration product manufactured by Integra Life Sciences (Plainsboro, New Jersey, USA).  Known to surgeons as “Integra”, this biomatrix is made of collagen and glycosaminoglycans (collagen-gag).  Although biologically derived, it is a non-cellular non-living material when applied to a host to close a wound or reconstruct a defect.  The host recognizes it as a space and scaffold in which cells regenerate a connective tissue stroma of angiocytes and fibroblasts, blood vessels and connective proteins.  The biological and mechanical properties of this regenerated “neodermis” are comparable to normal dermis and dissimilar to ordinary scar created by post-inflammatory wound healing.  The embryonic characteristics of the regenerated tissue can be appreciated grossly and clinically, and they can be understood by observing the microscopic appearance of the regenerating matrix.

 

The illustration is a woodcut engraving published 1869 in the book “Adventures in the Apache Country:  A Tour Through Arizona and Sonora”, by J. Ross Browne.  Browne was a worldwide travel journalist working for Harper & Brothers Publishers (New York).  The lands of southern Arizona in the American Southwest were acquired by the United States in 1853 (the Gadsden Purchase).  It was little explored or developed due to the hostile geography, the lack of logistics, and then the occurrence of the American Civil War (1861-1865).  Following the war, exploration and development began in earnest, and Browne began reporting on excursions and discoveries in that Territory.  Depicted is a view of Antelope Peak and an encampment or early settlement.  Within the next century, great cities and civilization developed.  Histogenesis within the Integra matrix is analogous to these events, building and populating a complex structure from an empty matrix, a bare landscape.  (This presentation as published here was given at a meeting in Naples, Italy, April 16, 2015.  Some of the titles and text are also given in Italian, properly translated I hope.)

 

 

2

This work and presentation by Marc E. Gottlieb, MD comes from his private practice of reconstructive plastic surgery in the several hospitals of Phoenix and Scottsdale, Arizona.  As of March 2015, this very month that this presentation was prepared, Banner Hospital in Phoenix and the University of Arizona Medical School in Phoenix and Tucson entered a formal affiliation, which is now the home base for this clinical practice and the research.  This presentation is available for viewing and download at Dr. Gottlieb’s website arimedica.com which is used solely for the posting of presentations and other academic and instructional materials.

 

 

3

Inflammatory Wound Healing versus Matrix Histogenesis

Repair, Reconstruction, and Pathological Risks –

the Inadequacies of Ordinary Surgery.

 

Bioengineered regenerative matrices, most derived from biological sources, appeared circa 1995.  They have since become prevalent in modern surgical practice.  They allow surgeons to successfully solve problems that otherwise, treated by conventional surgery and wound healing, are prone to failures and complications.  This presentation does not address the general subject of biomatrices nor their surgical techniques or spectrum of clinical indications and results.  Suffice to say that they have significantly altered the clinical approach to many surgical problems, mainly related to wounds and reconstruction, and they have made good results more dependable and efficient with less risk to the patient.  This presentation will instead focus on the biological basis of their good results.  A direct comparison will be made of normal inflammatory wound healing versus histogenesis (new tissue formation) in the matrices.

 

The illustration is by Pietro Berrettini (1596-1669).  Known popularly by his city of birth, Pietro da Cortona was an artist and architect of the highest preeminence, epitomizing the High Baroque in Italy, and perhaps second only to his contemporary Gian Lorenzo Bernini in influence and cultural significance of that era.  Along with his geometrically detailed baroque architecture projects and his extravagantly dramatic paintings and frescoes, he created one of the more interesting and beautiful bodies of work from that era, the Tabulæ Anatomicæ.  The work is a mystery – no one knows why he did them, who commissioned them, under what circumstances he had the wherewithal to make them, nor even when exactly they were made, the best estimates being 1618, before he earned his fame and came to the attention of patrons and commissioners.  They were published posthumously in 1741 , 72 years after his death, over a century after they were drawn.  The circumstances of their rediscovery and impetus to publish them are not fully understood.  In any work of this sort, the artist needs crucial collaborators, in this case the woodblock engraver being most likely Luca Ciamberlano, and his anatomist being probably surgeon Nicolas Larchée.  Consistent with da Cortona’s style as seen in his paintings, all of the figures in the Tabulæ have drama, grandeur, and great artistry.  Many of the skeletonized figures in the Tabulæ express grimness and pathos.  In contrast, the engraving shown here, Pietro da Cortona’s Tabula VI, a view of the viscera in situ, has a certain sense of repose and contemplation, perhaps a hopeful indicator that with proper use of modern biomatrices, patients with problematic loss of skin can get safe and effective care.

 

 

4

To understand the differences between normal “post-inflammatory” wound healing and the process that takes place within Integra and other biomatrices, it is first necessary to review normal wound healing and how it governs the principles of ordinary surgery.  Natural wound healing occurs by the proliferation of fibrous scar with its capacity to contract open wound surfaces, and to “glue” together surfaces that have been coapted.  In the surgery of repair, the methods of closing, repairing, and reconstructing wounds and defects can all be reduced to four paradigms.  The zero paradigm is to do no surgery and instead allow the natural wound healing process to close the wound.  The first operative paradigm is simple repair by directly coapting margins of the wound.  The second operative paradigm is grafts, tissues removed from a donor area and applied to the target.  They carry no blood supply of their own and thus have stringent technicalities to keep them alive, but they are technically simple.  The third operative paradigm is flaps, tissue transpositions that carry their own blood supply and wound healing competence.  They can be technically elaborate,  but they are the most dependable option for complex situations of exposed anatomy and impaired or pathological wounds.  All four of these classic and conventional modes of surgical wound repair depend on the normal post-inflammatory wound healing process.  In circumstances where wound healing is impaired or dysfunctional, these surgical modes will be prone to failure, complications, and persistent wounds.

 

Left, panel of three images showing the progressive autonomous contraction of a wound.  It healed without requiring surgery.  Right top, a traumatic thigh wound for which simple coaptation of the wound margins achieved closure.  Right center, a traumatic ankle wound.  The left pane shows that the wound has the capacity to proliferate normal wound elements and thereby is eligible for a simple skin graft, which was applied and healed as seen in the right pane.  Right bottom, an ischial pressure ulcer which requires a flap for closure, seen in the right pane as a large block of tissue that maintains an attachment to the host for the sake of circulation.  All four cases healed successfully due to the health of the wound healing system in these patients.

 

 

5

The biological and technical properties of regenerative biomatrices allow them to succeed, to heal problem wounds and create effective reconstructions, when normal surgical modalities are ineligible or inadequate.  Situations where biomatrices solve complicated problems and exceed the results of conventional surgery can be sorted into a few categories.  One of these is the problem of essential coverage.  Essential coverage denotes circumstances of exposed anatomy that demand coverage with living tissue, situations where leaving the structure open would be detrimental to the safety or survival of that structure or the patient (e.g., an exposed vital organ such as heart or lung), or where normal wound healing cannot succeed in closing the defect (e.g., an open joint or gliding tendon).  Flaps are the conventional solution for such situations, but when flaps are required but not technically possible, then regenerative biomatrices solve these problems.  They succeed in these situations because they are not alive to begin with, they are not dependent on normal wound healing, and the mechanism of their regeneration confers special properties and desirable attributes.

 

Top, a series of images of showing a chest wall reconstruction.  This patient had squamous skin cancer with neck, axillary, and chest wall invasion.  His acute presentation resulted from axillary artery rupture and bleeding.  There was no evidence of remote metastatic disease.  Resection of this curable lesion included interscapulothoracic “forequarter” amputation with neck dissection and chest wall resection (4 ribs).  A thin alloplastic knitted mesh was used over the chest defect to avoid possible late lung herniation, then the defect was closed with Integra collagen-gag regenerative matrix.  Its silicone outer layer is a competent fluid and gas barrier, allowing it to keep the chest sealed without risk of pneumothorax.  As a short term skin substitute it solved the immediate essential coverage problem with complete safety and efficacy.  For the sake of long term stability over the defect and avoidance of a potential late bronchocutaneous fistula, a large intercostal-epigastric flap of skin and subcutaneous fascias was raised and delayed, the delay protected by using Integra under the flap.  At four weeks the material was regenerated and ready for skin overgrafts, and the delay effect in the flap was complete.  At the second surgery, the flap was lengthened and then transposed to cover the chest wall defect and regenerated matrix, and then skin grafts were applied to the regenerated matrix on the flap donor site, seen in the right pane a month later.  Patient has a stable healed result and no tumor recurrence at two years of followup.  Bottom, an ankle defect following trauma, tibia fracture, orif, and hen skin necrosis and ulceration.  Several free flaps (the conventional solution for this situation) had died, so more flaps were ineligible.  Instead, Integra collagen-gag matrix was used to provide essential coverage over the hardware, fracture and tendons.  While serving as an effective skin substitute in the long run, it also became the agent of skin regeneration.  It conducted new tissue formation tangentially through the matrix, resulting in a healed wound that required no further surgery and which preserved normal motion of ankle and tendons.

 

 

6

Situations where biomatrices solve complicated problems and exceed the results of conventional surgery can be sorted into a few categories.  A second of these is the problem of scar contracture.  Scars and contractures after normal wound healing are problems of overwhelming biological, morbid, functional, and socio-economic consequence.  Scar contractures after injury and disease can have crippling effects on the extremities and musculoskeletal structures, deforming effects on features of vital function such as eyes and mouth, and refractory functional effects such as stenosis of tubular organs or heart valves.  Regenerative biomatrices prevent scar and thus prevent contractures.  They do this because they suppress normal healing and induce something else, an embryonic form of tissue generation.  Early use of these materials can preempt scar, never allowing it to occur in the first place, and later use for reconstruction can correct scars and contractures that have already occurred.

 

Left upper,  A young girl with severe wrist and elbow contractures after burns.  Shown is the extremity after surgical scar excision and the placement and regeneration of Integra collagen-gag matrix, and then the late result after skin grafting showing normal range of motion without scar contractures.  Left lower, foot necrosis after vascular embolus and infarct and then vascular reconstruction.  Salvage of the foot using Integra to cover bones and joints has not only healed the wound but prevented secondary deformities of foot and ankle due to scar contractures.  Right upper, degloving injury of lower extremity, reconstructed with Integra.  Knee posture is lacking a few degrees of full extension due to bone and joint injury, but there are no scar or soft tissue contractures.  Right lower, forearm and wrist after clostridial myofasciitis (“gas gangrene”).  Reconstruction with Integra has prevented scars and contractures across the wrist and has preserved full range of motion with need for physical therapy.

 

 

7

Situations where biomatrices solve complicated problems and exceed the results of conventional surgery can be sorted into a few categories.  A third of these concerns wound pathergy and the concept of a “biological superdressing”.  Certain diseases put wounds and surgery at risk of rapid infarction and ulceration via mechanisms related to vascular disease and ischemia, coagulopathies, inflammatory states, and autoimmunity.  Pyoderma gangrenosum is the prototype of these disorders, but any disorder resulting in wound ischemia or inflammation has that risk.  Conventional modes of surgery that induce inflammation and depend on normal wound healing not only incite such events but then cannot heal because these same mechanisms disrupt normal healing.  Biomatrices are not alive when applied, so they can endure adverse conditions that cause necrobiosis in living tissues.  They abort inflammation, so they help subside the aggravated pathergy-prone state.  The matrices have two roles.  They serve as short term skin substitution where they not only weather the initial adverse conditions but help subside that state.  Then, they become the agent of actual new tissue generation.  They survive and heal in conditions where conventional wound healing can never prevail.

 

Left upper, Patient with aorto-iliac occlusive disease and Leriche syndrome, state of the extremity after progressive amputations beginning at the toes and progressing to thigh.  Right upper lower, a patient with Sjögren’s syndrome, legs and ankles after 40 years of chronic immunopathic ulceration and multiple failed attempts to close with skin grafts.  Lower, a patient with diabetes and upper extremity atherosclerosis, progressive abscess, necrosis, and incremental amputation after fingertip injury.  Long finger is already missing, and ring finger is now undergoing infarction and pending loss.  Images show hand after initiating proper wound care, and then at the time of surgery to close the wound.  Results after reconstruction with Integra are shown in next panel.

 

 

8

The three cases shown in the last panel were all healed using Integra collagen-gag matrix.  Each of these cases had conditions of severe arterial insufficiency and ischemia or inflammation and autoimmunity.  Each had failed multiple prior procedures.  For the arteriopathic cases, prior surgery not only failed but it caused more damage, avoidable amputations, and put the patients at risk of serious systemic complications.  In their role as acute skin substitute, the regenerative matrices were not alive when placed, so they could survive imperfect conditions while still subsiding  the inflammation.  They then transitioned into their second role as skin regenerant, thereby healing the wounds (after placement of the final skin grafts).  These patients served as there own statistical controls, demonstrating that ordinary surgery and wound healing failed many times, but the regenerative matrices achieved good results on the “first try”.

 

 

9

In Situ Tissue Engineering with Regenerative Matrices

A Paradigm of Surgical Wound Repair and Reconstruction

Independent of and Suppresses Normal Wound Healing.

 

Bioengineering of new tissues has become an active subject in the curricula and commercial activities of universities, research institutes, and industry.  Judging from research reported, many of these activities attempt to reassemble tissue analogues by assembly of constituent biological elements in ex vivo or in vitro bioreactors or scaffolds.  People doing such research often tout these endeavors as a pathway to the future.  That is a hopeful and meritorious abstract point of view, but in reality, that future is already here.  Regenerative biomatrices are tissue genesis bioreactors that assemble new tissues from cellular and chemical elementals, and they do their work in situ on the target wound.  They operate independently of the post-inflammatory wound healing process, and they also suppress inflammation and its derivative wound healing.  These are the virtues and mechanisms of action that lead to their favorable characteristics and clinical utility.

 

This illustration is also from Pietro da Cortona, Tabula XII, showing spinal nerves and some of the peripheral and cranial nerves.  There is a certain pathos to this image, serving to remind those who might forget that a surgeon must not do too much too soon too often, must not operate in the face of pathergy prone conditions of ischemia and inflammation, nor be tempted to do otherwise else his patient will pay the wages of that indiscretion.

 

 

10

Commercially available biomatrices are mostly cadaveric dermis from several donor species (including human).  Those products come with a connective tissue scaffold already in place, and they have significant strength to resist sutures and biomechanical tensile loads.  Integra-CGM (collagen-glycosaminoglycan matrix) is unique among currently available products (2015).  The working layer is a porous spongy mashup of type 1 collagen and chondroitin-6-sulfate.  It is lacking in strength and cannot be used for structural repairs.  It lacks a pre-established connective structure, but its large “airy” pores permit the body to readily make new structure.  It has a silicone rubber outer layer to serve as a temporary epidermis which protects the working matrix from exposure to the ambient environment.

 

Integra-CGM transitions seamlessly from its first to its second role, from high quality acute artificial skin to dermal regenerant and agent of dermal reconstruction.  Alluded to in preceding panels is that biomatrices have properties that allow them to survive and prevail in conditions that defy normal wound healing.  Those virtues can be abstracted into two general categories, ability to arrest inflammation, and ability to suppress inflammation’s sequel, post-inflammatory wound healing and its derivative scar.  These properties are:  (1) the material is not alive when placed, so it is tolerant of adverse conditions;  (2) there is complete suppression of acute inflammation;  (3) there is complete control of residual pathology, i.e., the dysdynamical state of sustained or progressive thrombosis, ischemia, infarction, necrosis, and inflammation that causes repetitive wound failure;  (4) no inflammation means no normal wound healing thus no scar;  (5) the process of tissue regeneration within the matrix is nearly identical to normal embryonic dermatogenesis, and the resulting final neodermis is equivalent to normal dermis by many criteria, and quite unlike post-inflammatory scar;  (6) no scar means no scar contraction;  (7) unlike skin grafts which must be in contact with and revascularized by the host for each and every infinitesimal of its area or else die, Integra-CGM can conduct histogenesis tangentially through the matrix, allowing it to regenerate even when not over living material (e.g., as seen in the preceding example of Integra over an ankle fracture and metal plate).

 

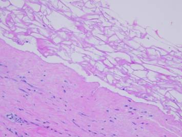
Left, Integra with its matrix partly rolled off of the silicone to demonstrate its bilaminar structure.  The histology image shows what the spongy matrix looks like applied to a wound, biopsy taken several days after surgery before any cellular recognition has occurred.  Although histogenetic cells have not yet arrived, what is impressive is the lack of inflammatory cells.  Right, a patient with Group A hemolytic Streptococcus pyogenes necrotizing fasciitis.  Despite thorough debridement and ostensible control of disease, the patient remained very unstable in an inflammatory state.  As soon as the wounds were closed with Integra-CGM, all instabilities and signs of acuity ceased, and the patient healed and recovered fully.  The late photo shows that there are no scar and joint contractures, and he never needed a late operation for reconstructive purposes.

 

 

11

Arrest of inflammation is demonstrated here.  The reasons why are explained on a later panel.  The findings seen here are consistent from one wound or patient to the next when Integra-CGM is applied to the wound.  Very quickly, residual erythema, edema, hyperemia, and pain subside.  It is against the “rules” of surgery to close any wound that has not been controlled of inflammation and related adverse conditions.  However, there are some wounds due to pathological conditions where inducing complete control of inflammation is impossible, categorical control having defied all efforts and state-of-the-art modalities to induce control and normal wound healing.  When wounds have been properly managed so as to control inflammation to a degree seen in a normal healthy responsive wound, then closure with Integra will resolve the remaining inflammatory signs.

 

Left, patient with rheumatoid arthritis and Factor V Leiden hypercoagulable state.  After all usual care for this pathological ulcer, it remains edematous, hyperemic, inflamed, and not healing.  Application of Integra has completely subsided the inflammation.  In the bottom pane, the Integra reconstructed skin remains stable a year later.  (Disease flareup resulted in a similar situation on the posterior right ankle, seen as another piece of Integra over the achilles).  Right, patient with ulceration due to Protein S deficiency hypercoagulability.  The same pattern is seen, complete arrest of persistent refractory inflammation once the Integra is applied.  Center, histology of Integra 10 days after placement.  The few cells seen are “pioneer” and “transitional” cells that are the histogenetic precursors.  Never when Integra is placed on a properly prepared wound will acute inflammatory cells (neutrophils) appear.

 

 

12

Control of wound healing and scar is demonstrated here.  Conventional inflammation, post-inflammatory wound healing, and scar have an intimate interrelationship.  Inflammation after injury defends and protects the host, then cleans up debris in preparation for healing, then triggers the healing process.  The normal healing process cements the wound together with a dense condensation of fibrous tissue, the scar.  Scar is meritorious from the point of view that it contracts and closes the wound and holds the tissues together, but those same properties then lead to contractures.  By eliminating inflammation, the secondary process of post-inflammatory wound healing and scar is not initiated.  Integra also induces tissue generation, but in a pattern of tissue and connective deposition that is very different than scar.  The histologic architecture of the tissue post-Integra versus post-inflammation explains the difference in wound mechanics and clinical sequelae.

 

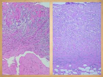
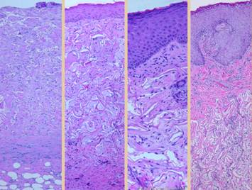
Left upper, the forearm contracture shown in a previous panel.  Integra was used to reconstruct skin after first excising the contracted scar.  Late results show no scar, no scar hypertrophy, no contractures.  Left lower, a keloid excised from behind the ear, skin then reconstructed preemptively with Integra to prevent recurrent keloid.  Late photo shows the area healed with no signs of scar hypertrophy.  Right, a pane of comparative histology.  Top row shows normal dermis, one view having been cut parallel to skin tension lines, the other orthogonal.  Whether seen on side or on end, normal dermis with normal elasticity and has an architecture of collagen bundles separated or porated with interstitial spaces which give it some deformability and pliability, typically greater in one direction than the other.  Middle row shows young scar and young Integra.  The scar is dense in collagen, no spaces, no opportunities for shifting and rolling of bundles, all oriented into locally thick bands but without an overall uniform direction, making the scar anisotropically stiff.  In comparison, young Integra has local fibrous foci which are separated from each other by the matrix, thereby maintaining interstitial porosity and the ability of domains to shift or distend relative to each other, a configuration and mechanics much more like normal dermis.  Bottom row shows scar and Integra in phases of late maturation after many years.  Both have remodeled away from their original appearance back toward normal dermis or fascia,  The difference is that young scar quickly becomes packed with immobile excessively dense collagen, and then it takes years to remodel back to normal stromal density, architecture, and mechanics.  Integra-CGM also takes years to remodel back to a strictly normal appearance, but it has the fundamental architectural and mechanical features of normal dermis right from the very beginning.

 

 

13

Normal post-inflammatory wound healing and its resulting scar are very different than Integra histogenesis with its normal dermal qualities.  Despite the nominal similarity of the two – a collection of angiocytes and fibroblasts and the vessels and connectives they make – they are each organized in patterns and structural mechanics that are fundamentally different from each other.  These differences can be appreciated grossly and clinically and also histologically.

 

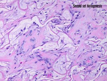
Left upper, Integra on a thigh.  The matrix as seen through the silicone is regenerated properly into a neodermis.  In a seam between two pieces of Integra, a small open gap has resulted in normal wound healing, recognized by the bead of granulation tissue that has arisen.  Left lower, a similar situation in another patient.  The Integra reconstructed skin is flat and soft and of normal color.  In the center is a hypertrophic scar where the gap between Integra edges allowed normal wound healing.  Center upper, an old trauma scar across the ankle.  Scar is resisting movement and becoming more tendinous and stiff, causing the scar to fracture and ulcerate from normal ankle motion which in turn perpetuates the scar, inflammation, and ulcer.  Center lower, Integra reconstructed skin on the dorsum of the hand following trauma.  Just a few weeks after skin graft placement, the neodermis is soft, compliant, and pliable to a degree comparable to normal skin.  Right, a microscopic view of regenerating Integra.  The dissimilarities of scar and Integra were seen on the last panel.  This view shows a syncytial cluster, a histologic structure that is seen in embryonic dermatogenesis and in Integra regeneration, but never in normal post-inflammatory wound healing.  This structure, explained on subsequent panels, is the basis for Integra’s biological, mechanical, and clinical properties

 

 

14

Physiology and Anatomy of Integra Histogenesis

Comparison to Normal Wound Healing – Histologic Basis of its

Biological Properties – An Embryonic Mode of Tissue Formation.

 

The discussion above hints that Integra histogenesis is similar to embryonic histogenesis, and both are quite different than inflammatory wound healing and scar.  By comparing the microscopic appearance of these events, the basis for good results when using regenerative matrices can be discerned.

 

Another illustration from Pietro da Cortona, Tabula IX, revealing the internal viscera.  Like all of the Tabulæ Anatomicæ, it has a sense of artistic pose and drama rarely matched in other anatomical studies.  The art is eminently Baroque and eminently da Cortona.  It is included here to remind that the body is highly structure.  Complex structures created during embryogenesis lead to all subsequent functions and activities of the body.  Regenerative matrices rather than non-regenerative scar match the embryology of normal dermis and thus match its properties.

 

 

15

There is no better way to see the difference between normal wound healing and Integra histogenesis than to look at them side by side, comparing visual images of the gross and microscopic tissues that are forming.  It is then easy to appreciate how different these processes are, normal post-inflammatory wound healing and scar versus embryonic histogenesis in a regenerative matrix (in situ bioreactor).  The resulting tissues, scar versus neodermis, are both stroma.  Both have just two cell types, angiocytes and fibroblasts.  Both react to make a structural mesh of connective proteins supplied by a network of blood vessels.  Angiocytes and fibroblasts.  Vessels and connectives.  Despite the apparent simplicity and nominal similarity, the two scenarios, scar versus neodermis, are profoundly different in their histological, structural, biological, mechanical, and functional properties.  Since the building blocks are the same, what is the difference in “programming” that instructs these two processes to such different final structures?  By examining the timewise events of normal wound healing and matrix histogenesis, the origins of those differences can be readily observed.

 

Left, a microscope image of normal wound healing.  The structure shown here is the prototypical wound.  Details of the structure and process will be explained in following panels.  Right, the microscopic appearance of fully regenerated Integra-CG matrix, the details likewise to be explained in following panels.  Even without explaining or focusing on specific details, the dissimilarity of the two can be appreciated.  Angiocytes and fibroblasts, vessels and connectives – that is all there is to these two tissues.  However, by supplying different “rules” or “subroutines” for the interaction and assembly of these elements, two different biomaterials emerge.  The rules or routines are based on the circumstances, reaction-to-injury versus embryonic regeneration.  The results have very different physical properties and implications for daily life, functional adaptations, and potential need for ongoing medical care.

 

 

16

Wound healing and matrix histogenesis.  Both depend on the same raw elements and cell types, yet they lead to different structures with different characteristics and implications for  health and medical needs.  Both are important.  Normal post-inflammatory wound healing might have its deficiencies and limitations, but it has its own strengths and virtues, and the same is true for the matrices.  Normal wound healing provides strong, robust, rapid restoration of body integrity after injury according to nature’s own intent.  Since the matrices are only applied when selected by a surgeon, they are not nature’s intent, but when opted and used, matrix healing provides slow restoration of tissue in circumstances where inflammation  and pathergy prevent healing or scar creates functional problems.  Matrix healing is like embryogenesis, so in that sense it is akin to nature’s intent, except that nature herself turns off the process of “fetal wound healing” when we are born.

 

Since this presentation is coming from Arizona in the American southwest, and it is being given in Europe, in Napoli, in Italy, a foundational place for European and American civilization, culture, learning, and technology, it is fitting to compare the two processes to the Old World versus the New World.  In nature and clinical care, normal wound healing is the classic mode.  It is the foundation principle that governs good health and safety after injury, the “glue” that allows all classic methods of surgery to succeed.  Matrix histogenesis is the recently discovered new world, a biotechnological method of manipulating cells and tissues to solve problems for situations of wound care and reconstructive surgery where nature’s classic methods fail.

 

The images juxtapose two bronze equestrian statues.  The Old World homage is to Alexander the Great.  It is a statue from Herculaneum, first century BCE, a copy of an older Greek work.  It depicts Alexander on his horse Bucephalus.  It is considered one of the most important of Greek bronzes, having impressed writers in its own day for its extraordinary realism.  This important piece of art and cultural history is housed in the Museo Archeologico Nazionale di Napoli.  The New World bronze depicts Chief Washakie, his arm raised as a gesture of peace.  Chief Washakie, 1798-1900, was a leader of the Shoshone tribe, a respected warrior in his youth, a revered statesman and peacemaker in later years.  This homage to a great man is by Cyrus Dallin, 1861-1944, from Spingville, Utah, Olympic archer and notable American sculptor.  Sculpted in 1914, the statue is now at the Springville Museum of Art.  The flags are the State flag of Arizona and the City flag and arms of Napoli.

 

 

17

Normal Wound Healing

 

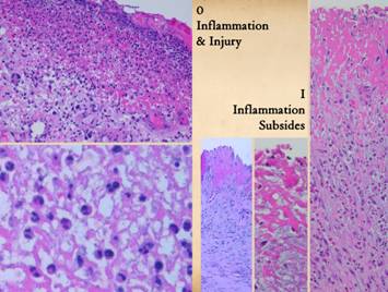
The comparison of normal wound healing and matrix histogenesis begins with an overview of normal post-inflammatory wound healing.  The anatomy of normal wound healing is summarized in the concept of the “wound module”, the sequence of chemicals, cells, and events which occur and self-organize to repair the stroma after injury.  Wound repair develops in time.  In an open wound, new inflammation accumulates on the surface while repair events are occurring in older strata below.  The deeper down you look from the surface, the older in time you are looking.  When looking at wound histology, each specimen shows its own history.  At the surface are events occurring now.  As you go deeper, you are seeing, in sequence, events that happened yesterday, the day before, the day before that, and weeks before.  Changes occur more slowly deeper down, with less accumulation of depth, so if you plot depth (y) versus time (x), you get a logarithmic type curve.  The wound you see under the microscope did not happen all at once.

 

Right, the vertical image shows the full depth of a wound from the inflammatory layer at the surface to the organizing fibrous layer at the bottom.  Scales are given to show the relative position of anatomical strata (plasma & acute inflammation, gag’s & angio-attraction, gag’s & vertical migration, angio-organization, connectives) and of temporal events (acute inflammation, angiogenesis  granulation tissue, fibrogenesis & scar).  The small panes show individual events within these zones.  Injury and inflammation must be controlled for repair to begin.  After the wound is closed, i.e. fully re-epithelialized, the nominal clinical endpoint of complete repair, then the wound matures.  In between injury-inflammation and maturation, there are 7 notable and clinically observable events:  1 - inflammation subsides;  2 - macrophages appear, separating eschar, and orchestrating local cells by cytokines;  3 - aminoglycan ground substance appears;  4 - angiogenesis occurs, visible as “granulation tissue”;  5 - histioblasts appear, leading to fibroblasts, which make connective proteins to hold the wound together;  6 - myofibroblasts are another histioblast derivative, which serve to contract the wound, responsible for much of the wound closure;  7 - epithelial growth continues until there is a complete epithelial (ectodermal or entodermal) interface between the environment and the mesenchyme.  Each of these events is looked at more closely in the next few panels.

 

 

18

Injury, by any means, is what triggers the process of inflammation and repair.  Inflammation is the system for recognizing and responding to an injury, the means of defending the host, and the means of preparing for repair.  It is in many ways an open loop or auto-amplifying system, so once triggered, the response is dramatic and intense.  While meant to contain and control threats to the host, it is inherently destructive.  To the extent that inflammatory cells and proteases contain the injury then clean up debris in preparation for repair, the process works well.  In the sick host, with underlying disease and risk factors and limited degrees of freedom in the wound, inflammation is the cause of pathergy, paradoxical death, and destruction of host tissues.  Histologic features of acute inflammation include:

 

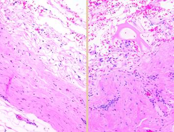
Left,  A view of the top layer of any wound, the pink staining plasma protein and inflammatory layer.  The cells are all acute inflammatory cells, mostly polymorphonuclear leukocytes (neutrophils) and other leukocytes delivered from the blood.  The close up view details the inflammatory cells.  Right and center, three views of wound that have had proper care.  The architecture of the wound is the same, a plasma protein upper layer, but the cells are gone.  Inflammation has been resolved by control of primary disease and injury, and by proper hygienic topical care.  In all of these images, the paler or grayer staining areas below the plasma protein top layer is the aminoglycan layer, the first stage of repair.

 

 

19

II  Macrophages & Cytokines, Initiation of Repair

 

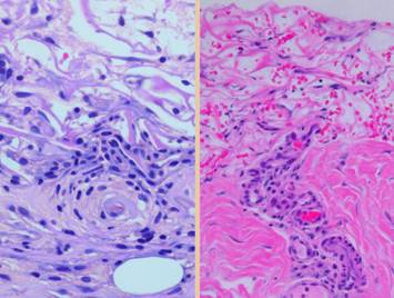
Inflammation brings leukocytes to the wound.  They arrive in proportion to their numbers in the blood, so neutrophils predominate, but monocytes arrive as well.  Unlike neutrophils which defend then die, monocytes have a key transitional role in the process, shifting the activity from defense to repair.  Under the influence of platelet derived and other growth factors, monocytes transform to tissue macrophages.  They have an afferent function as phagocytes to clean up debris from the injury and inflammation.  They also have an efferent function to initiate wound healing by release of their own cytokines and growth factors.  Monocyte-macrophages are blood borne, but the stimulated cells which then do the work of repair are local.  Two cell lines must be triggered, angiogenic cells and histioblasts.

 

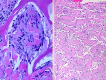
Right, close up view near the top of a wound, at or just below the plasma protein layer.  Near the top of the image are many mononuclear cells that either appear as they did in the blood, or else are transforming as evidenced by increasing size and cytoplasm and nucleoplasm.  In the center zone, large mononuclear cells are mature macrophages.  In the lower zone, the organized vertical cluster of pink cells is an angiogenic cord, a new vessel reassembling itself as angiocytes arrive.  These angiocytes have migrated from vessels below, aiming directly at the source of chemotactic stimulation, the angiogenic cytokines made by the macrophages.  Center,  a zoomed out view showing the upper inflammatory zone, the subjacent zone of macrophage transformation, and below that the zone of angiocyte streaming.  Angiocytes are the elongated spindle cells that are migrating from deeper layers through the aminoglycan layer to the macrophage stimulus near the top.  As they arrive, they reassemble into blood conducting channels.  In this particular example, streaming angiocytes are abundant, but not many vessels are seen yet.  Right, the same view in a different wound.  Angiogenesis is more mature here, with cells mostly coalesced into new blood-conducting vessels nearly all the way up to the inflammatory zone (one such vessel is traced with a dotted line to demonstrate the pattern and pathway).

 

 

20

All tissues have a glycosaminoglycan (gag) ground substance, an interstitial sol or gel that serves as the medium in which cells “float”.  These chemicals include uronic and hyaluronic acid, chondroitin and dermatan sulfates, and others.  Mature tissues with dense cellular parenchymas or thick fibrous stromas may have little ground substance.  Other tissues, notably embryonic ones that have little connective protein, have a high proportion of gag ground substance.  Developing and regenerating or healing structures need this gag environment to function and produce a mature strong fibrous connective matrix.

 

For the wound to heal, angiocytes will make the vascular distribution system, and fibroblasts will make the structural framework from connective proteins.  The vessels must arrive and assemble first in order to provide logistics and substrates for the fibroblasts.  The problem at this point is that these regenerative cells need an environment in which to work.  At this point early in wound healing, there is no tissue or stromal structure for them to migrate into – that is their job, to make the new structure, to restore the stroma.  Yet they also cannot migrate directly into the plasma protein layer from whence macrophages are summoning them.  Neutrophils and monocytes live in the blood.  Plasma is their home, so in a wound they are comfortable and natural in the upper plasma layers of the wound.  In contrast, angiocytes and fibroblasts, the cells of the fibrous stroma, do not live in nor like a plasma environment.  They need a non-plasma pre-stromal environment conducive to histogenesis.  As is the case in embryonic development, that environment is based on aminoglycans.  Nearly all mesenchymal cells have the capacity to make ground substance gag’s, including leukocytes and macrophages.  The gag’s start to appear early in the wound just below the plasma protein inflammatory layer.  This ground substance becomes the medium, an “ether” into which angiocytes can migrate and begin to assemble into vessels after which the fibroblasts can start to make connective proteins.  The sub-inflammatory sub-plasma boundary of the wound is where macrophage transformation and signaling occur.  The stratum below is the gag layer, the zone of angio-attraction and angio-organization.

 

Right, a vertical view of the wound with closeup views of key features.  The zones are:  1 - top layer, plasma protein, inflammation;  2 - monocyte-macrophage transformation and cytokine release, mainly gag’s;  3 - angiocyte streaming and loose angiogenic organization, gag medium;  4 - organized vessels, early fibroblast proliferation, early unorganized connective proteins filling in the gag space;  5 - histioblasts becoming young fibroblasts, fibrous stroma fills most of the space;  6 - mature fibroblasts with dense collagen and lamellar organization, scar.  Notice the staining characteristics of these strata.  The upper plasma protein and the lower fibrous layers stain the same because the are both composed of proteins (different proteins, but proteins).  The aminoglycan zone in between does not pick up hematoxylin-eosin stain very well, so it stays clear.  Left, another hematoxylin-eosin view of the upper wound layers, showing a loosely organized tissue, with cells able to wander freely, with no fibrosis.  This is the glycosaminoglycan environment of the upper wound.  H&E stain allows the location of the aminoglycans to be inferred, but to see them directly requires alcian blue stain.  Center, alcian blue shows the tissue gag’s (it stains carboxylated and sulfated aminoglycans such chondroitin, hyaluronan, dermatan, but not secretory aminoglycans as found in glandular mucus;  “nuclear red” counter stain shows cells).  With alcian blue, the top plasma layer does not stain, nor do the deeper connective protein layers.  In between, dense blue stain is in the sub-inflammatory macrophage layer, the streaming angiocyte layer, and the vessel organization layer, illustrating the distribution of gag’s and ground substance.  Notice how cellular vascular cords are clearly visualized as they rise through the wound toward the source of stimulus.

 

 

21

Wound healing is nothing more than the generic stroma of the body reassembling itself after injury.  It depends on two cells, angiocytes and fibroblasts, making vessels and connectives.  The result of stromal restoration is a foundation on which surrounding epithelium or other parenchymal cells can grow.  Vascular and fibrous cells must come from somewhere, and that is equally true for normal wound healing and matrix histogenesis.  Existing blood vessels in the base of the wound are the source of the new angiocytes that will restore the stroma

 

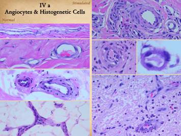
Stromal cells are not meant to mitose, divide, multiply in adult life.  Once an adult is fully grown, there is no stimulus to new vessel growth since blood vessels only grow reactively in response to tissue growth and the need for more blood supply if tissue bulk increases.  However, they can proliferate if required or summoned to do so, such as to vascularize a tumor or heal a wound.  In their mature adult “standby” state, angiocytes are flat or thin lamellar cells forming the walls of blood vessels.  Their flat shape and the thickness or number of lamellae of the vessel wall are dictated by the local biomechanics of vessel size, blood pressure, and wall shear from flowing blood.

 

When angiocytes have been activated, such as in a healing wound, their origins are easily observed.  The angiocytes that migrate to a wound and establish new vessels come from established vessels in the native tissues in the base of the wound.  They are recognized because once activated by angiogenic cytokines (such as those made by wound macrophages), vascular cells become large, mitotic, and migratory.

 

Left, four images of normal blood vessels, taken of tissues biopsied from clean healthy acute wounds following excision of one thing or another.  These views show thinner and thicker vessels, larger and smaller, tangential, longitudinal, transverse, through the lumen or on the surface.  These vessels are made of normal angiocytes.  Cells are flat, thin, cylinderized around the lumen.  Endothelial cells are flat.  Note that these are all small vessels, capillaries and arterioles and venules.  Large vessels with a muscular media and elastic lamina are not shown.  Yet these vessels, except for the smallest capillaries, have more than just one layer of cells.  The onion-skin layers of cells around the central endothelial layer are the vascular pericytes.  These angiopericytes are the histogenesis precursors.  Under stimulation by macrophage cytokines or other suitable stimulus, these cells will “come to life” to heal the wound.  Right,  four other images taken from the actual margins or bases of otherwise healthy wounds.  A few days after injury, vascular cells in the wound have become hypertrophied.  The angiopericytes are thickened, with larger cell bodies and nuclei.  Even the endothelial cells have become larger and rounder and can source primitive cells.  Even the smallest capillaries can respond.  In the bottom image, angiocytes are seen peeling away from the mother vessel and beginning to stream upward.  As the new stroma matures and source vessels get farther away from the leading edge of active repair, these changes subside and the angiocytes go back to their mature structural standby state.

 

 

22

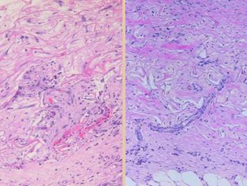
“Granulation tissue” is the one sign of a healing wound familiar to most physicians.  It is recognizable because of its pink color and pearly texture due to excessive new blood vessels in the aminoglycan ground substance.  The proliferation of blood vessels establishes the crucial supply network that then permits histioblasts-fibroblasts to flourish and make connective proteins.  Angiocytes and new vessels derive from established vessels deeper down, activated and attracted by angiogenic cytokines n the upper strata of the wound.

 

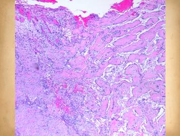
Left, an image of normal healthy granulation tissue indicative of stromal proliferation and wound healing.  It has its signature features of a pebbly red surface, dense pink color, and a “slimy” mucoid texture.  Center, this long vertical view of the wound masks the upper plasma layer and the lower fibrous layers, highlighting the zone of angiogenesis, the location of the distinctive features of granulation tissue.  Center right, another long vertical view.  Lumens and erythrocytes mark the location of organized new blood vessels.  Hemorrhage is present at the junction of the gag and plasma layer.  This is where arriving angiocytes have not yet coalesced into conducting channels, so vessels are open and inherently leaky at this level, thus the foci of extravasated erythrocytes.  Right upper, streaming angiocytes are highly organized, forming vessels right up to the sub-inflammatory zone.  The vessels here all show a directional orientation, coming from old established vessels deeper in the wound, and reaching toward the macrophages above that are stimulating them.  Right lower, organized vessels deeper in the wound.  The geometry and topology of the vascular network has become more complex here, as vessels sprout in all directions, to accommodate the needs of fibroblastic cells which are proliferating among the early established vessels.  Note that vessels at this level are excessive in number compared to the vascular density of normal skin and fascias, but that vessels are otherwise mature looking, with a single well-organized layer of cells that are no longer enlarged or hypertrophic.

 

 

23

Angiocytes make vessels and establish an environment in which later cells can proliferate.  Following that appear many new cells, coming in from strata below the new blood vessels, which will mature into fibroblasts and myofibroblasts.  As fibroblasts begin to function, they make collagen and other connective proteins, restoring structural strength in the reconstituting stroma.

 

Left, fibroplasia is not always grossly visible in wounds or wound photos except as the final skin scar.  In this photo, angiogenic “granulation tissue” is thin, and the deeper layer of fibrosis can be seen.  Center left, this long vertical view of the wound masks the upper layers of plasma proteins, gag’s, and angio-organization, also the deeper layer of maturing scar, and it highlights the zone of early fibroblasts and initial collagen deposition.   Center, another vertical view.  At the top is the macrophage transformation zone, then below is the angiocyte streaming zone.  Just above middle of the picture are some organized vessels, and between them are small cells with round nuclei.  These cells become denser and more numerous going toward the bottom.  Right upper, this image is a different wound than the adjacent vertical image, but it corresponds in depth to the bottom of the long image.  There are organized mature vessels interspersed with the other cells.  These are the histioblasts.  They are starting to elongate into spindle shapes - fibroblasts.  While the matrix is still largely aminoglycans (non-staining areas), thin strands of eosinophilic young collagen are starting to appear.  Right middle, a little deeper, in another wound.  There are vessels at bottom and upper right, and between them histioblasts and young spindled fibroblasts are quite dense.  More of the space is occupied by pale pink collagen.

Right lower, another wound, deeper yet.  Young fibroblasts remain dense. and the space is almost completely filled by young disorganized collagen.  As they encase themselves in collagen, these cells become flatter and start to organize in the form of large bundles or lamellations.

 

 

24

This panel is a continuation of the previous one.  The previous one focused on the appearance of histioblast-fibroblasts.  This panel focuses not on the cells but their end product, the fibrous scar.  (Throughout this discussion, “collagen” is often stated alone for convenience, but the process involves all of the connective proteins, such as elastin and fibronectins, all of which have greater or lesser roles in this process.)

 

Top right, the early scar, a level corresponding to or a little deeper than the right lower image in the last panel.  Randomly arranged young fibroblasts are starting to become flatter and layered.  They are stratified between maturing wavy bundles of collagen.  Bottom left, at yet a deeper layer, the stratification and organization of the scar is obvious.  The scar bundles are thick and dense with collagen.  Different bundles criss-cross in different directions making the scar not only stiff, but uniformly stiff in all directions

 

 

25

Myofibroblasts are fibroblast-looking cells which also contain muscle proteins.  Their mobility and force generating properties allow them to pull on the wound and contract it.  They arise with the other histio-fibroblasts.  While they cannot be discriminated with ordinary light microscopy or simple stains, their effect is clinically very obvious.

 

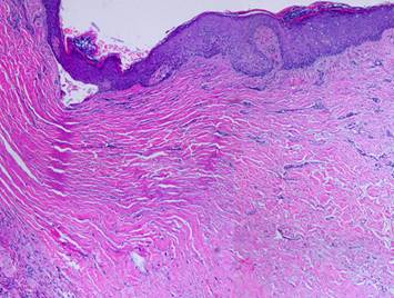
Left upper, images shown on a previous panel demonstrating the importance of contraction for getting wounds closed and healed.  Left lower, a fibrous flexion contracture of a finger following an old injury.  This is the negative aspect of scar contracture – physical deformities and dysfunction. 

 

In the middle image of the three images in the left upper corner, note how the skin margins are turned inward toward the wound surface, a common finding due to wound contraction.  Center, the microscope image shows the wound margin subjacent to an infold of this kind.  Right, a wider view of a similar specimen.  Early gag and vascular layers are at the top (note the streaming vessels).  Native fascias are below (note the adipose cells of the hypodermis).  Scar and dense collagen are seen lower right (pink eosinophilic area).  Between all of this is the darker basophilic zone of denser, straighter, more cellular, more lamellar, more parallel fibroblasts distinct from the other areas of fibroplasia.  This is the “rubber band” that is contracting the overlying skin and wound margins.

 

 

26

Closure of the wound means sequestration of the mesenchymal elements underneath (the reconstituted stroma plus all native fascias) from the ambient world without by a layer of epithelium.  Epithelium cannot grow until the other stromal elements are in place as already described, and when epithelialization is complete, the reconstituted stroma can begin its long process of maturation.  Complete epithelialization is the nominal endpoint of wound healing for the sake of practical everyday wound management.

 

Right upper, epidermis at the edge of an open wound.  What were normal basal cells and acanthocytes have become primitive and migratory, streaming outward toward a wound margin that has a suitable wound module underneath, especially sufficient capillaries.  Right middle, a close up view of the above specimen.  Migrating epithelium bears little resemblance to its mature form, but the cells maintain contact with each other as they spread superficially and tangentially in an elongated flattened form.  Right lower, another wound, at the edge of pressure necrosis.  The injury is two to three weeks old.  This is the edge of the injury.  Below and pink is normal living dermis.  To the right (and along the top) is a zone of injured but living tissue, filled with acute inflammatory cells.  This area will either heal or else separate eschar along the boundary.  Above left, dark pink, is dermal necrosis, and eschar cleavage is already occurring at the boundary.  Coming in from the left is a spearhead of migrating epidermis.  It is growing directly into the damaged interface and is responsible for eschar separation from the margins.  The cells are primitive, but maintain a loose basal layer organization, with very thin spindle cells at the leading edge, with rapid turnover and keratin production lifting the eschar above.  Numerous mitoses are visible at higher powers.  Left upper, epithelial outgrowth from surrounding skin edges occurs only where granulation tissue and other wound module elements have established a suitable foundation for epithelial cell migration.  Robust active ingrowth is evident in the middle.  Left lower, a small wound that has healed exclusively by epithelialization rather than contraction - the margins of the ulcerated dermis are clearly seen, even after it is healed, due to epithelial growth over the edges and down into the crater.

 

 

27

Once the wound is epithelialized and closed, there is no longer any inflammation or wound repair stimulus, so the proliferative phase ceases.  However, the strata of the wound continue their programmed sequences until they reach a state of stability or completion.  There are three notable events in the process of wound and scar maturation.  The first is the completion of the repair process leading to consolidation of the fibrosis.

 

Left upper, two panes showing a young scar at the time of complete epithelialization, and then how it evolves into a more contracted and stronger cicatrix.  Right, the sequence of fibroplasia and its consolidation as already explained on the preceding panels.  Top, the appearance of histio-fibroblasts, with early collagen deposition.  Second, an increase in cell and collagen density, with early lamellation and orientation of the cells and scar bundles.  Third, cell and collagen packing are denser, interlaced with mature vessels.  Bottom, new scar is at its densest, made from thick, non-compliant, highly stratified collagen-fibroblast bundles.  This is the peak of the acute scar, having been generated in a time frame of 2 to 4 weeks after initial injury.  If there is no further inflammation or other stimulus to wound module proliferation (which will continue to make new young scar), this peak proliferative scar will start to modify back toward something resembling normal dermis or muscular fascias, a process that will take weeks or months to complete.  Left lower, a point of interest.  In the other images right, the view is orthogonal to the wound surface revealing a cross section of layered scar.  The fibrocytes appear flattened and spindle shaped.  However, in this view, a tangential section parallel to the surface through the mid zone of the healing wound, it can be seen that the fibrous cells are actually flattened and wide.  They are compressed and spread by the tensions and geometries within the developing fibrous mesh of collagen and connective proteins.

 

 

28

The second maturation process is the restoration of a normal epithelium.  Epithelium arrives on the wound surface in two ways – naturally by migration from wound margins or else by surgery (skin grafts).  Either way, the young closed wound typically has but a thin epithelium (epidermis in these examples).  After epithelial cells arrive, they reestablish a basal stratum germinativum.  As they resume their normal functions of keratinization and epithelial cell replenishment, maturation events can be seen.  Acanthocyte proliferation thickens the epidermis and leads to the formation of rete pegs as vascular tufts tile the subepithelium to maintain blood supply to the thickened lamina.  The metabolically active epidermis requires logistical support, so a lamina propria develops, the papillary dermis.  The deeper reticular dermis is a primary structure formed embryologically or in a regenerative biomatrix.  The papillary dermis is a secondary structure, engineered by the epidermis, which does not appear until epidermis has covered the wound.  The two dermal strata have distinctly different origins, purposes, and morphologies.

 

Right upper, young epidermis soon after a skin graft.  The epidermis is thin, the stratum germinativum is still immature, there is no papillation, and no specific or differentiated histo-morphology of the subjacent scar.  Right middle, a mature regenerated epidermis.  Normal acanthosis with rete ridges and mild superficial papillomatosis is present.  Blood vessels are present in each dermal papilla – these are the vascular tufts which supply the epidermis.  The dermal layer has two distinct tangential zones.  The upper layer is the papillary dermis, triggered by the overlying epidermis when it was placed on the underlying reticular layer.  The new papillary dermis is fairly normal in appearance - it may improve further with age, but it already looks like normal native papillary dermis.  The bottom reticular layer is NOT at all like normal reticular dermis.  It is the scar from the previous open wound.  It is cellular and has lamellated collagen which is dense and non-compliant, but with relatively thin collagen bundles compared to normal reticular dermis - i.e. it is scar.  Right lower, as epidermis matures, other normal features appear, such as Langerhans cells and, depending on the source of the new epithelium, melanocytes and melanin.  These are all innate features of the epidermis and epidermal-dermal interactions, and they occur independent of what had previously happened in the mesenchymal dermis or scar or wound module underneath.  Left, two panes showing maturation of epithelium after an ankle ulcer.  Left is a recently healed skin graft showing fragility, brittleness, accelerated desquamation, and inconsistency of the corneum.  Right is a view a year later when epidermis has returned to normality.  This maturation corresponds to the changes seen in the histology views.

 

 

29

The third maturation event is that which is usually meant when talking about scar maturation - the long term involution of  the scar.  The early healed wound has all of the collagen, fibroblasts, and excessive blood vessels seen in all of the previous images.  All of these elements are over abundant compared to normal tissues.  As the healed wound ages, the excess materials are removed, and gradually the scar takes on characteristics closer to normal skin and fascias.

 

Left, a set of scars from an area having had multiple operations.  Some of the scars are young, and some are old and mature.  The older mature scars are pale and flat, soft and compliant.  The younger ones are thick, stiff, and discolored from vascular plethora.  Right upper, fibroblasts, collagen, and new blood vessels at the peak of proliferative repair with excesses of all elements.  Right middle, the “reticular layer” of skin scar after it is fully epithelialized and the epidermis itself is healthy (same specimen as on preceding panel).  Vascular density seems to be less, and cellularity in the collagen also seems less, compared to their peak density in the upper image.  As the scar becomes fully matured, collagen involutes and relaxes.  Fibers and bundles become wavy and springy, with tangential spaces or planes starting to open between the bundles.  Vessel morphology is very mature, and the number of vessels is diminished back to a normal vascular density, meaning that clinically the red color has faded.  Fibrocyte density is much decreased.  Right lower, in the fully matured scar, herringbone patterns attest to a final collagen configuration that is once again compliant and mobile.  Vessels are sparse, and fibrocyte density is at a minimum.  While not looking precisely like normal dermis or musculotendinous fascias, it looks very similar.

 

 

30

SUMMARY of Normal Inflammatory Wound Repair

 

Injury triggers inflammation which begets the repair process.  It is an orchestrated process referred to as the wound module, and the significant events are:

0 - injury and inflammation trigger the process.

1 - inflammation subsides.

2 - monocytes transform to macrophages which have two jobs, the first phagocytizing and separating eschar, the second being production of cell stimulating cytokines to activate local histoprogenitor cells.

3 - ground substance appears so that recruited cells have an environment in which they can function.

4 - angiogenesis begins as macrophage cytokines stimulate nearby preexisting blood vessels.  Angiocytes stream toward the macrophages and then reorganize into blood vessels, creating an environment in which other histioblasts can then perform their functions.

5 - angiopericytes in old vessels also give rise to histioblasts which come into the wound behind freshly created new vessels and then begin to function as fibroblasts to make connective proteins which restore mechanical stability and integrity to the wound.

6 - specialized myofibroblasts also arise, causing the wound to contract.

7 - epithelial proliferation and migration occurs on the surface of other established wound module elements, eventually closing the wound.

8 - once the wound is epithelialized, the wound matures, first as the continuing consolidation of the scar and maturation of the epithelium, followed by involution of excessive cells and proteins deposited during the proliferative repair phase.

 

Left, a long vertical view of a wound, from surface and inflammatory layer to the adipose hypodermis upon which scar is solidifying.  Right, a closer vertical view of the proliferative sequence that establishes the scar.  Center, three views of main events in the healing of a normal wound:  left is granulation tissue from the angio-organization layer showing dense new capillaries in non-collagenized ground substance;  center, the newly established scar of dense collagen trapping the fibroblasts that made it;  right, a scar that has completed its involution and maturation a year after the original injury and healing.

 

The sequential events can be observed histologically, occurring in several distinctive zones or strata within the wound.  In a normal healing wound, depth equals history, and therefore a vertical slice of the wound represents the entire repair process in sequence.  The recognizable strata are

1 - the top or surface layer, a coagulum of plasma proteins populated exclusively by acute inflammatory cells.

2 - a transformation zone where monocytes are converting to macrophages, aminoglycan ground substance replaces the plasma coagulum as the ambient medium, and the new macrophages start to make chemotactic cytokines.

3 - a zone of streaming angioblasts, arising from subjacent blood vessels, and migrating up through the aminoglycan ground substance toward the source of cytokines above.

4 - a zone of angio-organization, where re-established blood supply makes a haven for young histioblasts to proliferate and begin the transformation to fibroblasts, where thin collagen begins to replace ground substance.

5 - a zone of fibrous proliferation, where fibroblasts become abundant and start to make dense connective proteins, and where wound contraction can occur due to the effects of muscle proteinated myofibroblasts.

6 - the fully developed scar, where fibroblasts become mature fibrocytes, and collagen is dense and takes on a stratified architecture.

7 - epithelium grows on the surface of this wound module, from the margins of surrounding skin, and as the epithelium closes, the wound consolidates to mature scar and then begins the slow process of attritional maturation and involution of excessive early elements.

 

Inflammation and inflammatory wound repair are a coordinated response to injury that starts with a big bang.  The onset and development of inflammation is an auto-amplifying process that dumps huge numbers of inflammatory cells and pro-inflammatory chemicals into the wound in a very short time.  The reparative process is next characterized by rapid, highly cellular proliferation of stimulated cells.  In a healthy acute wound in an unimpaired host, monocyte-macrophage transformation (stratum 2) is in progress by 3-4 days after injury, angiocytes and early angiogenesis (stratum 3) can be seen grossly by 4-6 days, clinical signs of wound adhesion due to connective proteins (stratum 4) is evident at 7-10 days, a wound able to withstand ordinary daily mechanical loads without rupture or sutures (stratum 5) is present at 10-15 days, and a stable scar with dense collagen (stratum 6) is present in 15-20 days.  Peak consolidation of the scar is evident at 4-8 weeks, and involution and maturational remodeling proceed from there.  Post-inflammatory wound healing is good at doing what is seen in the clinical photo.  An injury occurs, the wound proliferates, it contracts and epithelializes, and thus it is healed.  There are many reasons that this can fail resulting in chronic wounds or the need for surgery to close the wound, but when it works properly in a healthy wound and healthy host, restoration of stroma and mechanical stability and a closed wound are assured.

 

Graph:  This shows the condition of the wound, some vague nondescript measure of quality and quantity, versus time after injury.  The dotted line is a target level representing the quality and characteristics of normal skin or stromal tissues.  The graph shows the behavior of the repair process, beginning at the beginning with not much “stuff”.   What the inflammatory wound does is to execute its activities to excess.  It deposits large amounts of cells, vessels, and connective materials, rapidly building a dense scar which binds the wound together, but with unfavorable characteristics which are unlike normal skin and fascia.  Only after the scar is stable and closed does the host modify the scar, withdrawing and remodeling the excess elements, slowly returning the scar to a state more like normal dermis and fascias.

 

Normal wound healing and scar formation are a tissue generation process.  Regeneration in a biomatrix is also a tissue generation process.  However, the details of time, anatomy, organization, and temporal and spatial dynamics within these two processes is very different.  Following is a presentation of the matrix regeneration process, and then the two processes will be compared, head-to-head, side-by-side.

 

 

31

The image is a normal wound, showing its full height and stratified architecture, from the open inflammatory layer at the top to the fibrous scar at the base.  Its physiology, normal post-inflammatory wound healing, has now been reviewed.  It is nature’s own method, a process that evolved early in phylogenetic history.  It has been genetically conserved because It has virtues and advantages that robustly preserve the safety, health, and integrity of the subject.  Upon injury, this process works rapidly, generating sufficient strength to keep the wound from rupturing from ordinary forces, on average within ten days (think about how many days after trauma or surgery that you normally remove sutures).  A healthy wound in a healthy host will heal dependably well.  Regenerative matrices “heal” in a different way, best appreciated by direct side-by-side comparison.

 

The figure shown is part of a large Roman statue from the 2nd century CE.  It depicts a Roman river god.  It is in the Museo Archeologico Nazionale di Napoli (the Naples National Archaeological Museum).  It reminds that conventional wound healing is the “classical” process, strong, robust, the foundation, just as ancient and Renaissance European culture was the foundation for so much of the science and philosophy that eventuated in modern academic medicine and the technological discoveries fostered by that system.

 

 

32

Pictured is matrix regeneration within a piece of Integra collagen-gag matrix.  It is no longer the non-living empty matrix placed on the original wound, but a fully restored living material.  The details of this process are now presented.  However, even without knowing the specific details, it can be appreciated that the structure, morphology, and patterns of this regenerated biological material are different than the microscopic structure of the normal post-inflammatory wound.  Normal wound healing is triggered by inflammation and then evolves according to its own “program” of how angiocytes and fibroblasts rebuild a stroma of blood vessels and connective mesh.  Integra suppresses inflammation, and thus the normal “wound healing program” is never turned on.  Integra “heals” by a fundamentally different mechanism analogous to embryonic tissue generation.  Its build to a state of complete regeneration is uniform throughout the matrix, distributed rather than stratified, and when complete, it has created a new material that has characteristics mostly like normal dermis and quite unlike scar.  The matrix coaxes the same two cells, angiocytes and fibroblasts, to make a new tissue of blood vessels and connective mesh in a patterned morphology that is profoundly different then scar.  The same cells, making the same elemental components, assemble them in a completely different pattern than wound healing and scar because the embryogenesis-and-stromal-generation “program” is entirely different than the healing-and-scar “program”.

 

The figure shown is entitled “Leader of Men”, portrait of a Western tribes Indian chief.  It is a bronze sculpture 2009 by western and cowboy artist John Coleman (b. 1949) of California.  It reminds that regenerative matrices and the concept of embryonic regeneration are a “New World” of recent discovery that is challenging old concepts about surgery and patient care while at the same time expanding horizons and opportunities to solve and cure complex clinical problems.

 

 

33

Integra collagen-gag matrix has many favorable properties that allow it to resolve problems not readily cured by conventional surgery that depends on normal inflammatory wound healing.  One of its prime properties is its ability to arrest inflammation, thereby controlling pathology and risk to the patient, but also blinding the body to the presence of a wound.  “No wound” means no normal wound healing means no scar.  How is that the collagen-gag material can hide the wound from the host and cease inflammation?

 

When Integra goes on a wound, normal physiological responses to injury cease.  Recognition of injury is so severely attenuated that inflammation and its derivative events never emerge.  Integra therefore favorably influences clinical outcomes immediately upon placement on a wound.  This ability is based on several biological properties that can be categorized as (1) its ability to immediately close a wound, (2) to be recognized as normal tissue, (3) to suppress inflammation, and (4) to control acute wound failure and wound pathergy.  These are the properties which make Integra dependable for critical coverage where life and limb are threatened and for closure of pathological wounds.

 

Left upper, chronic leg ulcer due to protein S hypercoagulable disorder.  Top left, the ulcer as originally seen, prior to aggressive consistent topical care.  Top right, after stricter care and increased warfarin, the wound and periwound are improved, but inflammation and active necrosis-ulceration still persist at the margins.  Bottom left, six days after wound excision and Integra, periwound inflammation, erythema, and edema, have completely subsided.  Bottom right, the wound is healed, a good example of a chronic refractory ulcer due to active pathology which failed multiple prior care but healed promptly with the collagen-gag matrix.

 

Immediate closure of the wound and recognition as normal tissue.  The composite Integra implant, matrix with silicone, is an effective artificial skin.  The silicone pseudo-epidermis has an obvious function because it is a thorough barrier against environmental exposure.  However, it is the biocompatible spongy matrix, looking to the body like aminoglycan ground substance, which has the more potent beneficial effect on the wound.  When it is applied to a wound, the wound immediately stops being a wound.  It may still be an injury or defect, but from a physiological point of view, the events which define the usual response to injury cease.  The matrix is accepted by local cells as “self”.  To the pioneer cells which eventually find the matrix, the material appears to be an acellular but otherwise normal tissue.  The only response triggered is a regenerative one.  This means that inflammation and other defensive responses do not occur.

 

Left lower, electron micrographs of matrices incubated with platelet rich plasma.  Left, platelets adhere as expected to a collagen-cellulose matrix.  Right, platelets do not adhere to the Integra collagen-gag matrix.  Chondroitin in the matrix chemistry masks platelet binding sites on the collagen thereby rendering the collagen invisible to platelets.  If platelets do not “see” the collagen, then they do not recognize the injury.  If they do not see the injury, then they do not turn on the inflammatory process.  No inflammation in turn means no conventional wound healing and no scar.

 

Inflammation and its effects are suppressed.  Inflammation is the normal protective response to injury.  It also has a central role to initiate repair which arises as injury and inflammation subside.  However, inflammation is inherently destructive, and while it triggers wound repair, repair processes are suppressed or damaged by persistent acute inflammation.  Persistent acute inflammation is adverse to wound healing.  When inflammation occurs reactively for identifiable reasons, e.g. an infection or a fracture pseudarthrosis, then inflammation can be controlled by fixing the cause.  When inflammation  arises for erroneous reasons, e.g. Crohn’s or rheumatoid disease, then inflammation per se must be stopped.  For either scenario, until it is stopped, physiologic wound repair will remain suppressed, and surgical wound repair is prone to fail or even cause more damage (wound pathergy).  When Integra is applied to a wound, inflammation ceases.  The gag’s in the material hide the wound from platelets and leukocytes which aborts inflammation.  They also allow the material to be recognized as self, inviting histogenesis by pioneer stem cells which will find the matrix.  Observed histologically, there are never inflammatory cell infiltrates in the matrix nor even leukocyte concentration in subjacent host.  Clinical signs of inflammation are suppressed or eliminated.  Pain is often conspicuously absent after Integra, and any pre-operative periwound erythema and edema abate rapidly (left upper images).

 

Right, five images demonstrate absence and suppression of inflammation, from patients having lower extremity dermatofasciectomy for primary lymphedema (Milroy’s, praecox).  Top left, biopsy at 4 hours after fasciectomy, just prior to placing Integra.  Normal post-traumatic thrombosis has recognized the injury, attracting polymorphonuclear leukocytes (neutrophils) which are densely marginated in blood vessels on the wound surface.  This is the normal response to injury, the start of inflammation.  Top right, biopsy 4 hours later after placing Integra.  A blood vessel is present at the wound surface between Integra matrix (top and left) and normal adipose (bottom and right).  Leukocyte margination and migration are present, but not dense.  Middle left, at 24 hours the only neutrophils are a few, in proportion to the red cells that bled into the matrix.  [First three images are from one patient, the following two are from a different patient with the same history and surgery.]  Middle right, at 5 days, the only cells present are early histogenetic pioneer and transitional cells.  There are no neutrophils, no lymphocytes, no plasma cells, no eosinophils, no monocyte-macrophages.  Other than some late foreign body giant cells occurring along the silicone interface, at no time does a defensive response ever appear in the matrix.  Bottom, at 11 days, the matrix remains mostly devoid of cells in this locale.  There is still no adverse recognition or defensive response.

 

At least three characteristics of Integra collagen-gag matrix explain its ability to suppress inflammation and render the wound safe from  inflammation and pathergy.  (1) Matrix chemistry prevents platelets from seeing collagen, thereby preventing the thrombotic cascade to inflammation from being triggered.  (2) The silicone artificial epidermis sequesters the wound from ambient exposure, desiccation, bioburden, and their injurious effects.  (3) The chondroitin in the matrix looks sufficiently like normal tissue that blood borne leukocytes and lymphoid cells that might find their way into the matrix do not recognize anything abnormal that would trigger a defensive response, whereas histoprogenitor cells recognize the matrix as a place to start forming new tissue.

 

 

34

Regardless what recognizes the matrix and triggers the response, once the response is initiated, the process is easy to track histologically.  It begins with small round cells which pepper the matrix.  These early “pioneer cells” have characteristics that suggest they are pluripotent stem cells, presumably derived from bone marrow.  Since the Integra matrix is insoluble and cannot issue any chemotactic signals, the discovery of the matrix by these cells is presumably a random happenstance that occurs while they are “on patrol” in the host tissue.  Once the matrix has been found, these cells bind to the matrix.  This recognition and binding is presumably a function of the aminoglycans in the matrix, since similar events are not seen on pure collagen matrices.  Once bound, these cells go into “transition”.  The transitional cells start to enlarge, cytoplasm and nuclei both getting larger in preparation for histogenic activities.

 

Left, the matrix early after application (the time varying from patient to patient, but approximately 5-12 days).  There is no inflammatory or defensive response.  The cells seen are pioneer and transitional types.  They are distributed randomly through the matrix, including an even vertical distribution from wound surface to silicone surface.  The transitional cells are adhering to the matrix, recognized by flattening, elongation, and early enlargement.  Right, a closeup view of a pioneer and a transitional cell.  The pioneer cell, small and compact with minimum cytoplasm, is the origin of the entire histogenic process within the matrix.  When it recognizes the matrix and binds to it, it has become committed to a specific cell type, equivalent to the embryonic dermatoblast.  The transformation is recognizable as the transitional cell form, the flattened adherent morphology that is just beginning to expand cytoplasm and nucleoplasm in preparation for cell type specific activities.

 

 

35

Once transformation and transition occur, the committed cell has two functions, to replicate more cells and to start making connective protein matrix.  This is recognizable as cells which become quite large, with large nuclei, pale reticulated cytoplasm, and indistinct cell borders.  It appears that sister or clustered cells are coalescent, a pseudo-syncytium, thus the title “syncytial fibroblasts”.  Mitoses are seen, and pale eosinophilic staining indicates the incipient production of collagen.

 

Left, a view of all of the early cell types.  Small round pioneer cells are present, and so are larger elongated transitional cells.  The largest cell in the center is a transitional cell that has matured to its final form of the syncytial fibroblast.  It is large and indistinct, with a large nucleus and pale spongy cytoplasm.  Center, a syncytial cell with the distinctive characteristics of large size, pale spongy cytoplasm, adherence to the matrix, and boundaries that are variably defined.  It has been caught in the act of mitosis, seen in metaphase.  Right, a cluster of two cells which presumably began as the one in the center image, then underwent mitosis.  The concept of a pseudo-syncytium is easily appreciated here because cell boundaries are so indistinct as to make it seem like the two cells are fused, as would be seen in a true syncytial cell such as a foreign body giant cell.  Note that in areas adjacent to this pair, there are pink fibers distinct from the more purplish color of the Integra matrix.  These are early collagen fibers, indicating functional maturity of these cells.

 

 

36

Small pioneer cells find and adhere to the matrix then transform to a committed form recognizable as the transitional cell.  They accumulate cytoplasm and nucleoplasm then begin mitosis and proteogenesis.  These enlarged cells are equivalent to the embryonic dermatoblast.  Mitosis leads to small clusters of cells with indistinct junctions that look under light microscopy like a syncytium.  These syncytial fibroblasts and the clusters they spawn now begin making new tissue.  The histogenic matrix at this stage has two distinctive features.  First is the clusters themselves, undergoing mitosis and proliferation up to a certain cell count, and second is their purpose-specific function making connective proteins,  The clusters may be just two cells (even a solitary such cell can be its own functioning cluster), or they may enlarge up to at most 10-12 cells.  The problem is that there is not yet any vascularization into the matrix.  Cells can function by diffusion of respiratory gases and nutrients from the wound base, but without a direct circulation, proliferation and function are diffusion limited.  This limits cell count, cluster size, and speciated functions of these cells.  Unconstrained proliferation and histogenesis will progress once vessels arrive, but at this stage, the matrix appears to have isolated independent clusters.

 

Left, a broad view of the full matrix and underlying host.  The matrix still has primitive pioneer and transitional cells, but there are scattered enlarged cells, single, pairs, or clustered.  These are the histogenic syncytial cells, the embryonic dermatoblast.  Note the cell hypertrophy and basophilia of vessels in the subjacent host fascias.  That represents the effects of stimulation from angiogenic cytokines, confirmation that the syncytial clusters are feeling the stress of not having a circulation and that they are seeking and beginning to engineer a new circulation.  Center, a closer view of the matrix and its interface with the host.  In the upper area, there is a syncytial cluster, about half a dozen cells seen.  It has not yet made substantial collagen, but this is the stage at which early collagen becomes visible in other clusters.  There are not yet any vascular cells or vessels in the area.  In the lower area at the host-matrix interface, there is another cluster filling a pore in the matrix.  Adjacent to that, coming up from the host are vascular cells which are in the early phase of creating a new vessel into the matrix, quite likely stimulated by the visible cluster given their proximity.  Right, a similar view showing enlarged syncytial cells in the matrix, including a very large 2 cell cluster in the center.  Angiohypertrophy in the host is present, and in the right upper corner is a well formed vessel that has infiltrated the matrix.

 

 

37

This is a close up view of a syncytial cluster at its peak before revascularization allows second set histogenesis (discussed on a pending panel, “second set” is the progressive process which includes consolidation of the matrix pores with connective proteins and evolution of the cells to mature fibroblast morphology).  Seen in this cluster are about half a dozen syncytial cells.  They are surrounded by a comparable number of cells that have small lymphoid nuclei.  Identity of these smaller cells is uncertain, either pioneer cells not yet transformed or else secondary or maturing fibroblast forms.  However, the large cells are the focus of this view.  They have enlarged nuclei and cytoplasm.  Cytoplasm is reticulated.  The cells seem confluent in many areas, boundaries being indistinct or intertwined.  Pale pink material adjacent or between these cells is young collagen.  There are no angioid cells, vessels, or erythrocytes.  These cells are at the limit of what they can accomplish without a direct blood supply.  Once a blood supply arrives, they will begin the second set production of fibroblasts and connectives, and Integra pore that hey occupy, their local domain, will begin to consolidate with collagen and a fibrous structure.

 

 

38

Illustrated, three more views of syncytial clusters, all from different patients, all demonstrating a consistency of the appearance and anatomy of these cells.  Left, the same image as on the last panel.  The morphology of the cells and the cluster are highly consistent from one subject to another.  Center, two clusters are seen.  Note the big cells, big nuclei, reticulated cytoplasm with indistinct boundaries.  Two mitoses are seen (prometaphase in the large lower cluster, metaphase in the upper group).  Interspersed among the cells are areas or streaks of young pink pale collagen.  Right, this cluster, like the others, has perhaps a half dozen syncytial cells visible (perhaps up to a dozen when factoring in unseen sells in the three dimensional zones above and below the image plane).  Additional small cells accompany them, presumably pioneer cells not yet transformed, or early secondary fibroblasts.  (These images raise the question if the syncytial cells, mimicking embryonic events, are recruiting additional pioneer stem cells).  The indistinct “fuzzy” large cells seem to melt or flow into the surrounding fluids with no hints of where the cytoplasm of one cell stops and the next starts.  Large amounts of young pink collagen are present, seen as a homogeneous non-fibrous material.  This young fibrillar collagen will become mature fibrous collagen as the “second set” of histogenesis and fibroplasia ensues (see below).  It can be seen that although the early pioneer cells established random positions on the Integra matrix, that their subsequent proliferation and cluster formation must of necessity be confined to a “pore” of the Integra sponge.  This establishes a domain or local architecture to the regenerating material in which the subsequent fibrous loci that develop around these early clusters are compact and somewhat self-contained within each pore.

 

To reiterate, these cells have a syncytial appearance on H&E staining and light microscopy, but there is no insinuation here that these are actually fused multinucleate cells.  The name “syncytial fibroblast” has been adopted to describe morphological appearance, but functionally, these cells are the embryonic dermatoblast.  Inferences about their unresolved microstructure are based on studies about dermal embryology and the embryonic dermatoblast, especially the paper Holbrook KA, Smith LT:  Ultrastructural aspects of human skin during the embryonic, fetal, premature, neonatal, and adult periods of life.  Birth Defects 17: 9-38, 1981.  Investigating these cells with electron microscopy, the paper describes “ . . . a watery, cellular network of mesenchyme that is joined through long slender pseudopodia processes and specialized intercellular junctions into a syncytium . . . ”.  It also clarifies that the young collagen made by these cells is fibrillar, not fibrous.

 

 

39

At this early stage of the histogenic process, the matrix is populated only by scattered pioneer-transitional cells and syncytial clusters.  They are mitotically and metabolically active, but there is a physical-logistical constraint on how many cells can form and how much protein they can make.  The constraint is that there is no vascular supply into the young proto-tissue.  All substrate and energy supply must come by diffusion from the underlying host.  Not only is substrate supply diffusion limited, but the cells and clusters are all competing with each other for the same finite supply, so when the supply limit is met, metabolic activity slows or ceases until substrate is restored.  Vascularization is a space-driven event, meaning that vessels and angiocytes do not grow autonomously or preemptively.  They grow only reactively in response to a stimulation, a “request” from cells with a need to establish a spur of the vascular network.  Angiogenic cytokines, especially VEGF regulate this process.  This is the physiology of angiogenesis and vasculogenesis during normal embryonic growth and histogenesis.  It as at this point in the Integra process that the discongruency between metabolic needs in the proto-tissue and the limited supply create a relative hypoxia, and each cluster responds by making vegf.  The vegf diffuses outward, and where it impinges on nearby existing vessels, those vessels respond, cells proliferating , mitosing, disassociating from the parent vessel, and migrating toward the source of the stimulus.  In that regard, the origin of vascular cells and new vessels is the same for Integra as it is for normal wound healing.

 

Left, normal vessels in normal fascia.  While any specimen could have been used for illustration, this one is from normal native fascias at time of wound excision and preparation  just prior to Integra placement.  Like any normal vessel, cells with thin cytoplasm and small nuclei are tightly organized into thin tubular conduits.  Right, these vessels are in adipose fascia just below the wound-Integra interface at 10 days, when nearby syncytial clusters are putting out cytokine requests for vascular supply.  Growth factor stimulation has caused the cells to enlarge, gaining cytoplasm and nucleoplasm.  Cells are hypertrophic and hyperplastic, thicker, rounder, and making more of themselves as seen at center lower margin where a mitosis has been captured in anaphase.  The enlarged active cells seem to be delaminating and disaggregating from the parent vessel.

 

 

40

Here is a wide view of the Integra proto-tissue and angiogenic response.  The dense fibrous stripe across center of the image is the sural fascia of the leg upon which the Integra was placed.  Below is the loose areolar fascia that “lubricates” motion between subjacent muscles (not seen) and the sural fascia.  The host fascias are normal, no inflammation or structural alterations, except that vessels in the loose fascias have enlarged.  Their cells have proliferated due to angiogenic stimulation coming from syncytial cells in the matrix.  Vessels in the loose fascia have become very hypertrophic, hyperplastic, hypercellular.  Streaming of entrained cells can be seen going from source vessels through the sural fascia into the Integra matrix.  Well organized vessels are not yet seen crossing the sural fascia nor in the Integra matrix, but erythrocytes can be seen there, confirming blood flow.  Note how the matrix differs in its upper and lower halves.  The upper half is still sparsely populated with just the few pioneer cells and small clusters.  In the lower half, where angiocytes and neogenic vessels have entered the matrix, density has increased, less “empty” space, more filling with tangible substance.  Increased density is partly cellular from the new angiocytes, but also because arrival of vessels permits “second set” histogenesis wherein pores of the matrix start to fill with collagen and a formal tissue.  Histogenesis at the base of the matrix has a patchy distribution.  It is densest and best developed to right and left where there are source vessels underneath.  Toward the center where source vessels are less, matrix lags behind.  There is still no significant physical bond between host and matrix, but it can be seen that that is beginning along the vascular trains on the left.

 

 

41

In this view, the process seen in the last panel has progressed.  Vascular ingrowth is occurring, seen as the dark dense cellular basophilic areas where angiocytes and vascular conduits have crossed into the matrix.  It is around these new vessels that progressive proliferative histogenesis is occurring.  This second set histogenesis and pore consolidation, just beginning in the last panel, has now increased, with greater density of the matrix due to filling by cells and pink eosinophilic collagen.  Across the lower tier of the matrix, new vessels and filling of the pores with connective tissue is nearly complete.  There is a solid bond of matrix to host.  In the upper tier, the same process is occurring, but it is not yet as dense as in the lower half.  The matrix has now transitioned from a multi-locus proto-tissue into a young confluent true tissue.

 

Angiohyperplasia and angio-migration are abundant in this view but they are evolving.  In the host tissue and along the host-Integra interface, basophilia and hyper­cellularity of vessels attest to a state of stimulated vascular proliferation.  However, cell nuclei and cell structure at these levels seem to be getting smaller, somewhat amorphous, and more diffusely basophilic.  This represents involution of activity in these cells.  This is because source vessels in the host and at lower strata are no longer feeling the effect of angiogenic cytokines.  As the lower strata consolidate into a proper tissue, they have the vessels they need, so they cease making vegf.  In the upper strata where this process is still active, angiogenic cytokines are diffusing downward and being intercepted by the first vessels they meet which are the neogenic vessels in the lower strata that migrated and formed in the preceding few days.  Thus the first set of new vessels in the lower strata are now the source of subsequent vessels for the upper strata.  As these latter vessels reach into the upper strata, second set histogenesis can occur there, and thus the histogenic process rises gradually through the matrix from bottom to top.

 

 

42

This is a closer look at the “second set” histogenesis, the process in which individual domains in the proto-tissue develop into a confluent true tissue.  The “first set” syncytial clusters attract blood vessels.  Once a vascular supply has been established at each cluster, then progressive histogenesis can proceed, with continuing cell formation and their metabolic activities to make connective matrix.  This second phase of histogenesis is characterized by more ordinary looking fibroblasts and the deposition of fibrous rather than fibrillar collagen.  Between cells and connectives, pores in the Integra sponge fill with organized, continuous, consolidated material.

 

In the image, note that domains within the sponge are filling to capacity with cells and collagen.  The process does not necessarily occur everywhere at once.  Some domains are still empty or filled with syncytial cells, others are becoming collagenized, and in others the process is complete.  Well formed angiogenic cords (e.g. lower zone just to left of center) or canalized erythrocyte conducting blood vessels (e.g. right lower corner) are present in the middle of organizing areas.

 

 

43

This panel reemphasizes the coordinated sequential events of histogenesis from proto-tissue to real tissue.  Early in the overall process, syncytial clusters develop throughout the matrix, limited to a certain size by lack of direct vascularization (“first set” histogenesis).  They make angiogenic factors which trigger the formation of new blood vessels which arise from host vessels under the Integra matrix.  Ingrowth of vessels allows the syncytial clusters to resume the histogenic process resulting in new cells and connectives which fill the local pores, i.e. “second set” histogenesis.  Since vascular ingrowth can occur only at the Integra-host interface, it is only in the bottom stratum that second set histogenesis appears initially.  However, as vessels rise into the matrix, they feel the angiogenic factors coming from higher strata, so they themselves become the source of vessels to the upper zones.  Whenever and wherever new vessels arise, the early syncytial proto-tissue can begin the proliferation of second set histogenesis which consolidates the matrix into a true confluent structurally sound tissue.

 

Top left, the Integra matrix is populated by syncytial clusters, without yet any notable fibroplasia, density, or consolidation.  In the host tissue below, angiohyperplasia is substantial, and a sprouting new vessel has crossed the boundary into the Integra.  Once that blood supply has entered the matrix, second set histogenesis can occur.  Top center, in the lower zone can be seen vessels, erythrocytes, and a general basophilia and hypercellularity indicating the arrival of blood vessels and  the means for second set histogenesis to occur.  Filling and opacification of the pores is obvious in the zone of the revascularization.  Vascularization is also starting to reach the mid level, so connective filling of the matrix is also evident there, though not as advanced or consolidated as in the bottom level.  The top level of the matrix is still empty, only pioneer-transitional “first set” cells awaiting the arrival of vessels.  Top right, a closeup view of the second set histogenic process.  Erythrocyte conducting channels and angiogenic cords are seen.  Around them, fibroplasia is filling the pores.  The consolidated new tissue is still young and somewhat amorphous, but there is a sense of the lamination, flattening, and layering of the fibrous cells and connective mesh that will characterize the individual domains of the more mature tissue.  Interspersed with the consolidating domains are pores in the sponge that are empty or have syncytial cells where second set histogenesis has not yet started.  Bottom, a broad view of this process.  The boundary layer at the host-matrix interface has diffuse basophilia indicative of angiohyperplasia and angiocyte proliferation and migration.  New vessels can be tracked into the matrix.  Second set histogenesis and matrix filling with pink eosinophilic collagen are evident in many areas, while many pores still remain open.  The matrix is now joined to the host.

 

Note an important difference between this and normal wound healing. Inflammatory wound healing occurs simultaneously across the entire surface, one phase at a time such that event after event builds as layers upon each other.  Normal wound architecture is thus stratified by different anatomical layers representing different sequential events in the process.  In Integra histogenesis, there is also a sequence of events, but it does not occur layer by layer across the entire wound surface.  Instead, early pioneer cells establish themselves evenly through the matrix in 3 dimensions, and the subsequent histogenic processes occur individually in each local domain.  Each domain goes through the same process such that the architecture of the whole tissue is coalescence of individual small units, granular or “cellular” (spatial segmentations, not biological cells) rather than laminar and stratified.  The different vertical levels of the regenerating matrix must wait their turn for vessels to rise to meet them, so the second set histogenesis rises like a tide through the matrix, but the vertical levels are otherwise all the same process and architecture without physical or anatomical stratification of the final tissue.  Compare this to building a masonry wall.  Normal wound healing would start by grading the ground followed by a layer of gravel or other drainage.  Then, a cement foundation would be poured.  Next, heavy stones might be used to provide support for the massive weight of the whole wall, but at a higher level, the construction switches to brick.  Finally, at the top, some stone finials or decorative ironwork are added to make it look good.  Each level, each stratum, is laid wholly before the next, and each stratum is laid sequentially atop the preceding one.  The construction cannot go out of turn.  A layer can be created more efficiently by having workers in parallel each creating simultaneously a small section of that given layer, but that efficiency cannot be applied to the vertical dimension such that higher layers are created concurrent with lower layers.  In Integra, a superstructure is placed first.  It would be like building a large wood or steel or concrete frame of vertical and horizontal members that divide the vertical space into similar small spaces (“cells”).  Since the framework can bear the weight of the wall, there does not need to be a graduated architecture to each layer.  Each cell can be filled with the same materials and design for a thoroughly uniform look to the finished structure.  Each cell can be filled concurrently, limited only by available logistics.  Thus, while workers are crafting the “fill in” structure in the lower stories, the upper zones might have to wait until the electrical and plumbing utilities reach those levels so they have the resources they need to do the same job, but once they get their supply lines, the process is the same.  If the fill in materials or finish were done with brick or stone, then the final result would share certain features and esthetics of the conventional masonry wall, but it would still be quite different.  Compared to not having a framework, the initial superstructures, for the wall and the tissue, ensure that the construction and histogenic processes are fundamentally different and that the final structural results are fundamentally different in appearance and mechanical properties.

 

 

44

Once second set histogenesis is underway, the process will rise through the matrix until it is complete in all areas.  The pores in the top level will be the last to fill and consolidate, but once they do, there is a uniform appearance to the entire regenerated material.

 

Left, Integra matrix that is well into the latter phases of histogenesis, but not yet complete.  At the base, the fusion of host and Integra is complete.  The basophilia of angiohyperplasia at that layer is now involuting as the source of neo-angiogenesis is shifting to new vessels in at mid level.  At the bottom level of the Integra matrix are mature new vessels, and the pores of the sponge are consolidated with pink collagen.  At mid level in the matrix, domain filling and connective production is very active, but the pores are not as filled or consolidated as they are in the lower zone.  In the upper zone, the pores are empty, no second set histogenesis yet.  However, there are the proper number of pioneer and transitional cells as well as well developed syncytial clusters that are passively inhibited from making more tissue until vessels reach them.  Right, the histogenic process is complete.  Basophilia and angiohyperplasia in the host are subsided and returning to normal fascial architecture.  The matrix is uniformly regenerated, with all domains and levels essentially the same.  The lower level seems a bit more eosinophilic, less hyaline or amorphous, more fibrous or mature than the upper levels.  This is because the lower levels regenerated first and have had more time to evolve, although the difference in time between upper and lower levels is only 1-2 weeks.  This fully regenerated material is ready to receive a skin graft for epithelial restoration, the final step in the overall regenerative or tissue engineering process.

 

 

45

As second set histogenesis progresses, collagen and connective mesh within each pore or domain become denser and more organized.  The image here is typical of this domain maturation.  Cellularity seems much less prominent as the pores have become filled with collagen and connective mesh.  Small, thin, normal mature capillaries or pre-terminal vessels are seen, roughly one vessel per domain.  The collagen and connectives seem more fibrous and lamellar than when they first started forming.  The fibroblast cells seem to have become sparser and flatter, trapped and compressed between the laminations of the new collagen.  No vestiges of proliferative or histogenic activity remain.

 

The neo-tissue is solidly unified with the host.  All vestiges of proliferative basophilia have retreated as cells return to normal standby or maintenance functions.  The two domains of Integra and host fascia seem different, yet they are very similar in key properties.  The overt difference is that the Integra sponge disperses and reorganizes the gross morphology of the whole tissue in comparison to the non-septated appearance of the host fascia.  However, both zones have a comparable cell density compared to collagen or volume, comparable cell sizes and morphology, comparable vessel density, both comparable to normal embryonically derived tissues, neither in any way comparable to the cellular and connective excesses of post-inflammatory wound healing and scar.

 

Capillary density in normal mammalian tissues varies with the metabolic requirements of the tissue, but in general, the metric is that no cell is more than about 2-10 cells widths away from a capillary (discounting neurons and myocytes which have fractional values, i.e. multiple capillaries per cell), average distance about 5 cell widths.  The domains seen here, each with a central vessel and surrounding fibroblasts trapped in collagen, would seem to fit that measure.  This makes this neo-tissue comparable to normal embryonic tissues and distinct from the vascular hyperdensity of inflammatory wound healing.

 

As for the apparent reduction in fibroblast cellularity, an obvious question is whether cells are diminished in number or else smaller compared to the peak of basophilia and apparent cellularity when angiogenesis and second set histogenesis were beginning.  The question cannot be answered with certainty by simple episodic biopsies, but many features suggest that cell count has not diminished through the course of this histogenesis.  Instead, the sense of diminished cellularity comes from an involution of fibroblast size and morphology along with increasing collagen.  Recall how normal blood vessels have thin flat small cells in their ordinary unstressed state, but subjected to angiogenic growth factors they accumulate cyto- and nucleoplasm for the sake of extraordinary metabolic and mitotic activities.  When the stimulatory stress abates, cells recoil back to a settled mature state, once again looking small and organized.  The same is true for the fibroblasts.  At the peak of their activity, they were big cells with big nuclei.  Once the mesh is formed, their job becomes one of maintenance rather than active creation, so cell size and plasm can retreat.  Thinner flatter cells trapped within a bulkier matrix makes cell substance seem diminished, which it is, but cell count remains as it was when these cells were first generated.  This is how histogenesis works during embryonic conditions:  feedback or controller regulated appearance of cells, similar cell count in any domain, 100% stability and persistence of embryonically generated cells, absence of observed histologic necrosis, cell ghosts, cell debris, inflammatory and reactive cells, or any other sign of apoptosis or phagocytosis.  Also, once the domains have achieved initial filling, there is a progressive thickening of the matrix (shown on subsequent panels) due to an increase in collagen, thus cell density per spatial volume would seem to diminish slightly for  the same cell count.  As the matrix becomes more densely collagenized and cells flatten and mature, the matrix takes on its “regenerated” appearance.  The morphology, size, distribution, and density of the fibroblasts at this mature stage are comparable to normal dermis and fascias, normal embryonic structures.

 

Not only is the final fibrous architecture comparable to normal embryonic tissues, but it is thoroughly unlike scar.  Scar is hyperdense with cells and connectives, a consequence of the unregulated open loop nature of inflammatory wound healing.  Long thick dense collagen bundles within scar create stresses and resist strains in all directions, hence their undesirable non-embryonic qualities.  In the Integra domains, fibrous architecture is different.  There is the interesting question of how the collagen types within scar versus Integra versus normal embryonic skin and fascia might differ, a question that cannot be answered by simple light microscopy.  However, differences in collagen typing need not be invoked to explain most of the mechanical virtues of Integra compared to scar.  The micro-architecture and anatomy explains most of the similarities to embryonic tissues.  In the regenerated Integra, each focus of the new connective mesh seems to be locally congruent to the Integra matrix, each domain following the contours of each pore and matrix septae.  Along with the lamellations of collagen and trapped fibroblasts, each domain takes on an onion-skin appearance of concentric layers.  In three dimensions, these layers form a closed surface (except where each domain intersects with adjacent pores).  From a physics point of view, these are Gaussian surfaces.  Assuming a uniform elastic or contractile modulus for the tensile properties of fibroblasts, the surface integral of each domain should be essentially zero, no net force or contractile “flux” across each domain.  Each domain may have internal tensions generating a pressure in the center, but between domains and across the whole neo-tissue, net tension should be zero. The neo-tissue cannot generate forces of contraction.  Furthermore, the septations and segmentation created by the Integra matrix divide the new tissue into isolated domains so that there is no continuity of the fibrous tissue over long distances.  Thus, even if there were directional tensile vectors in the medium, they are distributed broadly in space rather than along one direction, thus favoring a more compliant material even if the collagenous material itself is intrinsically stiff.  Fully regenerated, the matrix has a distinctive appearance which is quite different than normal scar.

 

Unlike scar with its profound propensity to contract and distort, note how collagen and cells in the Integra neo-tissue respect the architecture of the sponge and its septae  Aside from some vertical filling or expansion as collagen accumulation matures (like fully inflating a balloon or tire), the morphology of the sponge remains undisturbed, without distortion, compression, crumpling or any other deformation that might be expected if the wound was behaving like a scar with dense cellularity, collagenization, and contraction.  Furthermore, note the space between collagen domains and the septae of the matrix.  Those spaces are fixation artifacts of drying and preparing the slide for staining.  In real life, the connective tissue locus is in contact with the septae.  However, these images reveal that physical adherence between new connective domains and the Integra material are weak.  This permits the material to have internal shifts, shears, and deformations that add yet another degree of compliance to the material that is not there, cannot be there, in the hyperdense, hypercollagenized, non-septated, non-porated scar material of normal wound healing.

 

 

46

Normal embryonically derived skin and fascias, dermatocytes and fibroblasts, are programmed to make connective tissues having a certain morphology and architecture, textures and appearances.  When fibroplasia and stromal regeneration are stressed, perturbed, or forced in non-embryonic ways, the result is a collagenous connective tissue with different details of organization and structure.  Scar and Integra histogenesis are two such perturbations.  However, given enough time, the fibroblasts in these neo-tissues will gradually remodel themselves back to the normal architecture they are supposed to have from main sequence embryonic development.  The difference is in what the remodeling process has to start with and how far it must go to achieve relative normality.  Inflammatory wound healing has a very non-embryonic process and chemical profile (e.g. different collagen types than in normal tissues).  Its aggressive overshoot-then-involute dynamic makes a material that takes a long time to remodel back to normal.  The early scar is densely cellular, excessively collagenized, and hyper­vascular.  Modification back to normal means substantial gradual thinning and remodeling over a period of many months to years.

 

Integra histogenesis has the advantage that, going through a more embryonic process to begin with, the initial resulting neo-tissue is already close to normal dermis or fascia by nearly all structural, anatomical, and mechanical properties.  However, the Integra neodermis is not categorically the same as primary dermis.  Once the neodermis has fully formed and consolidated, typically within about 30 days of placement, it too begins the maturation process that will gradually restore it to an appearance more thoroughly like normal skin.  However, unlike scar, the Integra neodermis does not involute.  Right from the beginning, it has normal density of cells, connectives and vessels.  As it remodels, the collagen and connective mesh is gradually restored to a configuration closer to normal dermis, but bulk content of cells and connectives does not seem to change very much.  In the specimen shown, 1 year after placement, the Integra matrix itself is still present.  The collagen domains are losing some of their discrete identity, becoming more confluent.  The remodeled collagen has developed large loose wavy bundles with more space between individual fibers, very much like what is seen in normal dermis.  However, gross clinical characteristics of the skin at one year are not much different or more mature than they were at 2-4 months after placement, reflecting the inherent similarity of the material at one year to its original configuration.

 

 

47

Integra histogenesis and normal wound healing with scar are both mesenchymal processes.  “Closure” of the wound means restoration of epithelium over the regenerated mesodermal elements, something that cannot occur until the mesenchymal process is complete, thereby creating a foundation on which epidermis (or other epithelium) can migrate and adhere.  For many natural wounds and for some small Integra reconstructions, epidermal restoration can be done by natural epithelialization, allowing the epithelium at the wound margins to grow spontaneously.  However, many Integra reconstructions are too large for that to be practical, so thin split thickness skin grafts are placed at whatever point the matrix seems fully regenerated, typically at about 4 weeks.  Once the graft is placed, epithelial restoration and maturation occur the same way they would for a skin graft placed on any wound.  The early graft must stabilize, reestablish itself as a functioning proliferative epidermis, then mature to a final thickness and epithelial turnover rate that is normal.  Histologic observation of the process provides further insights into Integra biology and its similarity to embryonic tissue formation.

 

Skin graft healing over Integra or elsewhere includes, in sequence:  Transplanted keratinocytes reorganize into a laminated structure with a well formed basal layer (stratum germinativum).  A basement membrane forms, created by the basal cells.  The papillary dermis, a lamina propria, forms underneath as a service layer for circulation and other support.  Papillation occurs as the basal layer expands to an area that can source the cells needed for a dynamic stratum corneum (the need to replace desquamated old cells), and to maintain the geometry of adequate blood supply.  These events are governed by the epidermis itself.

 

Left, Integra matrix that is a fully regenerated neodermis capable of receiving and accepting an epidermal graft.  The skin graft has already been placed, and it is firmly adherent to the matrix.  The basal layer is thin and irregular, still reorganizing itself into a correct stratum germinativum.  Acanthocytes predominate, but the stratum spinosum which they constitute, typically the bulkiest layer of the epidermis, is still thin.  Deep to the graft, at the interface with the Integra, there are no new mesenchymal elements that were not there when the graft was placed.  For now, it is just young epidermal graft directly on regenerated neodermis.  Right, a mature Integra reconstruction at one year.  The neodermis looks as it should at that late interval, much as it did when first regenerated but now slowly remodeling to a form a little more like native dermis.  Above it are two strata, the epidermis and the sub-epidermis.  The epidermis began as a skin graft.  It has now fully matured with a properly organized and regenerative basal layer, a properly thick stratum spinosum, and a stable corneum appropriately thick for its anatomical location on the body.  The sub-epidermal layer between epidermis and the Integra neodermis is the lamina propria that carries vessels and lymphatics to serve the epidermis.  This layer formed under the direction of the epidermis, and it did not need an artificial scaffold to become this normal structure.  The lamina propria is the papillary dermis.  The Integra is the reticular dermis.  Reticular dermis and Integra are both primary or embryonic structures.  The papillary dermis lamina propria is a secondary structure.  In normal skin, the papillary and reticular dermises are sufficiently different to be recognizable, but sufficiently similar to seem like a single continuous structure, but they are not.

 

 

48

A good way to appreciate the differences between ordinary inflammatory wound healing versus histogenesis in the collagen-gag matrix is to look at examples of both side by side.  This panel will demonstrate angiogenesis and fibroplasia and the significant differences between the two histogenic models.

 

Left, an examination of vascularization and vascular density in a wound versus Integra.  Left top & bottom, the gross and histologic appearance of inflammatory angiogenesis.  In this normal wound, granulation tissue is proliferating.  These beads are the new vessels that have organized in the aminoglycan angio-organization stratum of the wound.  It is a saturated red color due to high density of large diameter vessels carrying excessive blood volume.  It contrasts sharply with the pale color of surrounding normal skin.  Histology corroborates the gross appearance of large excessive vessels.  Once this wound is closed, vascular density will return to normal over months or years.  Hyper­vascularity is the result of an unregulated open loop process forced by cells (macrophages) extrinsic to the developing tissue.  Right top and bottom, the gross and histologic appearance of Integra histogenesis.  The neodermis is fully regenerated and ready for skin grafts.  Histology shows just a few vessels (thin cords of cells, and small transverse rings), and vessel count and blood volume are much lower than in granulation tissue.  Color (hue and saturation) of the new tissue appears virtually identical to the adjacent normal skin.  This is because they have equal vascular density, both densities being just exactly what is needed to supply the tissue.  Precise and efficient network formation results because Integra and embryonic vasculogenesis are nearly identical dynamical processes, tightly regulated closed loops controlled by cells (syncytial fibroblasts and embryonic dermatoblasts) that are intrinsic to the developing tissue.  Unlike what happens in scar, vascular density in the Integra is already what it should be, and this will not change as the tissue matures.

 

Right upper, an examination of scar and contracture versus neodermis.  Top, scar contracture across a joint, on the dorsal ankle after a burn.  Motion of the ankle (e.g. normal walking) puts tension on the scar, causing it to undergo tendinous metaplasia which further decreases compliance, and causing it to fracture and ulcerate which begets more scar.  This image illustrates the nature of chronic scar and contracture, and also the kind of situation reconstructable with Integra collagen-gag matrix.  Bottom left, dorsum of a hand following Integra reconstruction for an electrical burn.  Within just a few months of placement, the material has the pliability of normal skin without residual stiffness or contracture.  Bottom right, compliant regenerated Integra covering the mid back (following donation of large flaps for radiation necrosis of the pelvis).  Just a few months after the reconstruction, while other normal scars are still young, red, and stiff, the neodermis is very deformable, wrinkling and folding normally in response to any motion or force.  This property allows joints, the face, and other mobile parts to be reconstructed without contractures.

 

Right center,  direct comparisons of wound healing and scar versus Integra neodermis.  Side-by-side differences between them are easily seen, both during the histogenic processes and in the final resulting tissue.  Left, Integra on the lateral thigh following necrotizing fasciitis.  It is fully regenerated and ready for skin grafts.  In the seam between two pieces, an open area has allowed some normal wound healing to occur, resulting in granulation tissue growing through the seam (this can be avoided by overlapping pieces by a few millimeters).  These differing areas result in different types of final tissues.  Right, healed Integra at 24 months, on the flank above the hip in a 7 year old girl.  It looks mostly like normal skin.  There are variances due to epidermal pigment variegation and contour depression from absence of subcutaneous adipose, but the quality of the skin is inherently normal, soft, pliable, free of erythema and fibrosis.  The exception is the red scar in the center, a typical hypervascular hypertrophic scar that developed from normal wound repair and granulation tissue in a seam gap (like the left example).  In a child, this degree of scar hypertrophy is common and can be expected to persist for several years.  The differences between granulation tissue and Integra histogenesis, between long lasting hypertrophic scar and rapidly matured Integra neodermis, as shown in these two images, recapitulates everything else that can be said about the significant biological differences between these two processes.

 

Right lower, a histologic comparison of fibroplasia and connective mesh in the two processes.  Left, fibroplasia in a normal wound.  This is the zone of  fibrous consolidation.  Densely packed fibroblasts are making thick cords of collagenized scar.  As the process evolves, increasing connective proteins will make the scar progressively less compliant or distensible.  These fibrous cords are multidirectional at their inception, but subjected to tensile loads, they will reorient themselves to resist that load, distorting features and impeding motion.  Right, Integra collagenization.  Cellularity is low.  Collagen conforms to the matrix, forming discrete packets molded within the pores of the sponge.  Spaces, interruptions, and incoherence between collagen clusters mean that the material remains more fluid and deformable, more like normal tissue, less like scar.

 

 

49

In this and the next panel, the histology of normal inflammatory wound repair is seen side-by-side against Integra histogenesis.  To get this first image, a biopsy was taken from healthy Integra at four weeks (nearly regenerated).  The biopsy site was left open, thus becoming an ordinary wound.  The two processes, wound healing and Integra histogenesis, thereafter continued side by side, each developing according to its own set of inherent dynamics.  Two weeks later, a new biopsy was taken, centered on and at right angles to the first one.  The second biopsy, seen here, captures the interface between healthy Integra and healthy normal wound healing.  The two anatomies contrast boldly.  The wound healing side, left, shows normal proper inflammatory repair, with granulation tissue, scar, and all other strata of that process.  The Integra side, right, also looks exactly normal, properly regenerated.  Despite the obvious visual and architectural distinctions between the two tissues, remember that both are from the same individual host, the same cell biology, the same genome, the same fibroblasts and angiocytes.  Yet in each situation, those cells behave according to two different “programs”.  Integra’s is the embryonic histogenesis program, something that does not happen naturally after injury and ordinary surgery.

 

 

50

The preceding panel showed wound and Integra during early phase healing or histogenesis.  This image shows the two processes in late stages of remodeling and maturation.  Integra was used to cover a flank defect following tumor excision.  (Renal cortex with scarred glomeruli is in the left lower corner.)  This specimen was obtained one year later during some further surgery.  On the right is one year old Integra.  Original matrix elements are still abundant, but the Integra neodermis has matured, now looking very much like normal reticular dermis.  Epidermis from skin grafts and the induced papillary dermis are normal.  On the left overlying the kidney is scar.  This was an area of normal wound healing just beyond the edge of the Integra.  Like all normal scar, it is dense, flattened and contracted, with thick unidirectional collagen bundles.  Compare this to the more open, less dense, more isotropic (non-directional) orientation of finer collagen in the Integra.  At one year, the scar is maturing and involuting, and thus it is starting to look again like dermis.  Given sufficient time, these two maturing materials will look progressively the same, more like normal dermis.  However, seen juxtaposed, one can appreciate why Integra behaves so much more like normal skin right from its original regeneration.

 

 

51

This and the next two slides show immuno staining for growth factors of known relevance in tissue formation, reaction to injury, and wound healing.  This panel shows the presence and distribution of VEGF (vascular endothelial growth factor).  VEGF has mainly angiogenic and angiotactic properties, and it is considered the dominant angiogenic factor.  It is turned on and off by oxygen tension in the tissues.  It can be made by all cells.  It is how cells that are not getting sufficient circulatory support can summon the formation and arrival of a new capillary sprout from nearby blood vessels.  It is abundant during embryogenesis, but in adulthood, it will only appear during circumstances that promote tissue growth, other cell proliferation, or heightened cell metabolism.

 

Left, a view of the host wound just prior to placement of Integra collagen-gag matrix, thus Day 0.  In the top pane, the upper half shows the upper plasma protein layer of the wound and the lower half shows the aminoglycan and angio-streaming zone.  Because the wound had good care in preparation for closure, there are but scant inflammatory cells in the plasma layer, so there is little vegf, although whatever cells are there, mostly mononuclear, are staining positive.  In the gag layer, vegf is abundant, present not only in mononuclear cells near the boundary between the two strata, but also being made by streaming angiocytes and young reorganizing vessels.  This is as expected.  The upper gag layer has streaming angiocytes but no formal blood supply.  The migration of those cells means they are ipso facto oxygen consuming, so they need that which is in short supply, so they too express vegf.  This auto-amplification is one of the dynamical reasons why the angiogenesis of inflammatory wound healing is open loop and results in excessive vascular density.  The bottom pane is a close up of a mononuclear cell, probably a macrophage, possibly one of the arriving angiocytes, but regardless, it is metabolically active and it is making vegf to attract a blood supply.  Center, the wound at Day 17 after Integra placement.  The top pane shows that deeper in the native tissue, there remains some residual vegf expression of uncertain explanation.  In the zone immediately subjacent to the Integra, vegf activity is gone.  This zone now has its own stable blood supply which can source new vessels and circulation to the matrix above.  The bottom pane is a close up of a syncytial cluster within the matrix.  This is the initial dermal structure that can reach only a limited size with only a few cells before its collective metabolic needs outstrip locally available blood supply and oxygen tension.  It needs blood supply, and it cannot enter its second set of proliferation and fibrogenesis until that supply is established.  These cells are expected to be making vegf at this time, and these stains confirm that.  Right, the Integra at 30 days.  At this time, the matrix is nearly filled, but the uppermost region is still sparse of collagen and blood supply, just entering that second set proliferation and maturation that the lower levels started 2 weeks earlier.  Thus, the upper sub-silicone zone, top pane, is expected to still show vegf, and it does.  However, the lower part of the Integra, bottom pane, should by now be fully regenerated and organized with mature fibroblasts and collagen pattern supplied by mature vessels having correct density.  This zone no longer as any proliferative activity, and no longer has any mismatch between cell metabolism and available blood supply.  Vegf production should be off by now in this zone, and the absence of stain confirms that it is.

 

 

52

This panel shows the presence and distribution of PDGF (platelet derived growth factor).  PDGF was thus named when it was first found in platelets, but it is found in cells throughout the body.  Vegf is more of a “pure function” growth factor, strong activity for a particular signaling function but weak for others.  In contrast, pdgf may not be exceedingly potent, not the “prime promoter” for many proliferative functions such as angiogenesis of fibrogenesis, but it has a broad spectrum of pro-proliferative and tactic properties that influence embryogenesis, wound healing, and other proliferative functions.  Its presence in platelets per se has a crucial role in the early wound to transform the blood borne monocyte to the tissue macrophage.

 

Left, the wound at time of Integra placement, Day 0.  The upper pane is a wide view of the plasma and gag layers, and the lower pane shows this area at greater magnification.  New blood vessels in the angio-streaming and angio-organization strata of a wound are inherently leaky, which is why the wound has an obligatory plasma protein layer.  They leak platelets as well as plasma and cells, so it would be no surprise to find pdgf in the top layer of a wound.  The images confirm dense staining for pdgf, a validation of the known biology of the wound.  There is some seemingly random nuclear staining for pdgf, some cells have it, some do not, but the predominant presence of pdgf is in the top plasma layer where platelets would ordinarily degranulate.  Center, at Day 17, there is some diffuse pale staining for pdgf, but nothing in a notable concentration or pattern.  The wider view suggests, and the zoom view confirms that light staining is occurring in residual pores or even in the interstitium of regenerated foci, but not in any of the cells.  New vessels being generated and reassembled during Integra histogenesis are just loose and leaky as they are in normal wound healing, so some interstitial pdgf staining in not surprising in areas that are still young and actively making new tissue in a new domain or pore.  The findings suggest that pdgf during Integra regeneration is all there passively from platelet “spill”, but not because any of the cells are signaling with it.  Right, at Day 30, the wound has three zones as seen in the pdgf view.  The original wound at the base continues to have a background blush of stain for reason uncertain.  Recall that the host wound subjacent to the Integra goes through a process of angio-hyperplasia during stimulus from the syncytial clusters.  Once vessels arrive in the Integra, angiogenic signaling ceases, and in turn the basal hyperplasia ceases then and involutes, evident by increasingly amorphous basophilia and then involution of the basophilia as the tissue returns to normal.  At day 30, that recovery is still active, so perhaps something about that host tissue and vascular recovery results in pdgf production or release for whatever reasons.  The second zone is the upper half of the Integra which now has the nominal presence of regenerated tissue, but it is still young tissue, still consolidating, so leaky vessels there might still be expected.  Thus some patchy pdgf stain is still seen.  The middle zone is the lower half of the Integra, fully regenerated, but also fully consolidated or mature, so there is no pdgf, neither by platelet spill nor by any active local cell production.  The closeup view confirms that, except for a small amount of stain in the uppermost still consolidating area, that pdgf is absent.

 

 

53

This panel shows the presence and distribution of BFGF (basic fibroblast growth factor).  Like all growth factors involved in mesenchymal and stromal regulation, bfgf has a spectrum of activities, but it is more like vegf in having high potency for a main function.  It has mainly transforming effects on fibroblast progenitors such as angiopericytes in the host vessels, and then cytogenic and cytotactic effects on fibroblasts.  Left, at Day 0, the wound has bfgf staining where expected, a little in the plasma protein layer, and a good amount in the gag layer, consistent with the physiology that macrophages are the first to start signaling for cells to heal the wound.  There is also some bfgf in the vascular cords themselves that are arising through the angio-streaming and angio-organization strata.  This suggests that fibroblasts do not just passively arrive after the angiocytes have made vessels because blood supply and logistics have now been established.  Instead it suggests that the new vessels may actively be attracting or transforming fibroblasts, as if they “know” that they are responsible for getting this next cell type “on line”.  Center, at Day 17, the partially regenerated Integra and the host tissues underneath are replete with bfgf which is present diffusely and without apparent patterning or focal production.  The bottom close up view shows that staining is within the newly forming collagen and fibrous mesh, not just in cells.  Right, at Day 30, the intense and diffuse bfgf staining has largely disappeared from matrix and host.  Where it persists is, as expected, in the upper half of the regenerating matrix, the zone that is still immature and consolidating.  In that zone, the bfgf occurs in the developing mesh and some of the cells, but little is left at this time.  Bfgf clearly has a strong correlation with active fibrogenesis, and peak bfgf expression correlates with the peak of fibrogenic activity.  However, the views at 17 and 30 days call into question whether bfgf is an inducer or governor of the process versus just a passive or secondary element that marks but does not necessarily regulate the process.  These variances from expectation call into question our knowledge and understanding about the role of bfgf in wounds and tissue biology.

 

 

54

This and the next few slides are a recapitulation of the key events in Integra histogenesis.  When it is applied to a properly prepared wound,  there is never an inflammatory or defensive response.  It is just the opposite, inflammation is suppressed.  Note that Integra chemistry is very stable.  Biopsies of tissues up to four years later show preservation of much of the original matrix.  It is apparently not degraded by cellular or enzymatic or other active means.  Instead, it appears to degrade slowly by simple passive hydrolysis.  What this means is that Integra has no influence on the host by any sort of signaling or diffusion of chemical components.  Host cells find the matrix by randomness or happenstance and then recognize the chemicals or surface properties of the material by direct contact.  Furthermore, because platelet binding sites on the collagen are masked, platelets cannot “see” the matrix.  This means that when Integra suppresses inflammation, is not via an active process or signaling or suppression of leukocytes.  Instead, it more properly prevents inflammation by taking away any recognition of a state that triggers inflammation.  The matrix sits on the wound undisturbed until enough pioneer cells find the material and initiate the regeneration.

 

 

55

The cells that find the matrix and respond appear to be a type of stem cell, presumably blood borne and ultimately from bone marrow.  They find the matrix by random encounter while these cells are “on patrol”.  Since pure collagen products do attract or bind such cells, another presumption is that the glycosaminoglycans in the material are the recognition agent, a hypothesis consistent with general principles of embryonic histogenesis.

 

Left, a small lymphoid looking pioneer cell has found the matrix and attached itself.  Right, two similar cells have transitioned to the next stage, a commitment to a specific cell type, specifically, the dermatoblast, an embryonic type of fibroblast.  These transitional cells are spreading out and binding to the matrix over a larger surface.  They are also accumulating nucleoplasm and cytoplasm in preparation for increased metabolic activity, including secretory proteogenesis (collagen, etc.) and mitosis.

 

 

56

As the transitional cells complete their transformation to dermatoblast, they take on distinctive features.  The cells are large, with an enlarged nucleus and even larger cytoplasm.  The cytoplasm seems granular, reticulated, or textured, and the borders at times seem indistinct, giving the cells a “fuzzy” appearance.  When these cells mitose and multiply, they create small clusters of similar cells.  Since the intercellular boundaries cannot be easily seen, they appear as a syncytium, hence the term syncytial fibroblasts and syncytial clusters.  “Syncytial fibroblast” is descriptive of their appearance, whereas “dermatoblast” describes their role.

 

Left, Integra at that stage where transitional cells have transformed to large individual dermatoblasts.  In looking at the specimens of many patients, it is interesting that the morphology of these cells and the overall process have distinctive personal differences or recognizable variations.  It is like looking at faces or animals in a herd – they are all people (or whatever species), and they are all the same in the most important ways, yet individuals can readily be recognized.  In this specimen, this subjects dermatoblasts have an elongated wispy or spindle shape, where as in other patients they are rounder or polygonal, yet all have the basic attributes of lacy large cytoplasm.  Right, in the upper center of the image is a syncytial cluster, a group of dermatoblasts that are the progeny of an original pioneer cell that transitioned, transformed, then began mitosis.  This cluster may have about 7-12 cells (accounting for unseen 3-dimensional geometry).  It is already functioning to produce young fibrillar collagen, but it is limited in capacity for further mitosis and fibrogenesis because it does not yet have a blood supply.  In principle, this cluster should now be making significant amounts of vegf, and that is confirmed by the immuno stains shown on a prior panel.  The effect of the vegf is to stimulate the closest nearby vessels, those underneath in the host wound.  Indeed, at bottom center can be seen migratory cells moving into the matrix from the host.  Text, references a research paper that describes embryonic dermatogenesis, including a clear description of the embryonic dermatoblast, “ . . . a watery, cellular network of mesenchyme that is joined through long slender pseudopodia processes and specialized intercellular junctions into a syncytium . . . ”.  Holbrook KA, Smith LT:  Ultrastructural aspects of human skin during the embryonic, fetal, premature, neonatal, and adult periods of life.  Birth Defects 17: 9-38, 1981.

 

 

57

Once the syncytial clusters attract blood vessels and blood supply, they can then begin a second set of mitosis and fibroplasia, they form that will become mature solid dermal structure.  The progression from isolated stem cells and their metamorphic forms to active space filling histogenesis can be seen here.

 

Left, a wide view of Integra on a wound.  There is not yet a physical connection of matrix to host, but the matrix is well populated by individual cells.  The various stages of this afferent histogenesis can be seen:  small lymphoid pioneer cells, flat matrix-adherent transitional cells, and then the large metamorphic syncytial cells, some in pairs or small clusters.  Absent a blood supply, these cells cannot create more cells or substance, as those that are there already are competing for and consuming the available supply of oxygen.  Right, visible here is the response to the circumstances on the left, and the transition to the second set or efferent phase of histogenesis.  Notice the hypertrophy, hyperplasia, and basophilia of vessels and angioid cells in the host tissue subjacent to the matrix.  Streaming or entrainment of cells migrating from existing vessels below to the chemotactic source above is evident.  At the base layer of the Integra matrix there are more cells within individual clusters, and there is more collagen filling the pores in the matrix.  There is a hint that physical connection of the matrix to the host is about to occur as this second set fibroplasia evolves.

 

 

58

This view shows more advanced proliferation of vessels from the host and ingrowth into the developing matrix.  Left, vessel sits at the boundary between host and Integra, the first to intercept vegf that is diffusing from syncytial fibroblasts above.  Hypertrophy, proliferation, and migration of angiocytes is present, and there is a clear sense that stimulated ells are pushing up in to the matrix.  The response of this vessel to stimulus is intense enough that the normal luminal architecture it once had is obliterated.  It is a visual treat to see but not so surprising that the hyperplasia and response are occurring on the windward but not the leeward side of the vegf stream.  Right, a similar event, in this case with diffuse angiohypertrophy along the length of the donor vessel.  As expected, the matrix is populated by syncytial clusters without yet any second set fibroplasia, density, or consolidation.  The syncytial cells and clusters are relatively large and numerous, perhaps explaining an intensity of stimulus that would have provoked the donor vessel to respond so strongly.

 

In both images, the vessel response is more of an intact or coherent sprout branching from the donor for short distances into the matrix rather than individual angiocytes migrating long distances as seen in normal inflammatory wound healing.  Coherent sprouts over short distances is very typical of regulated embryonic angiogenesis and entirely unlike what happens during normal wound healing.

 

The dynamics of angiogenesis in these structures is another opportunity to compare and contrast matrix regeneration versus wound healing.  During normal wound repair, angiocytes and vessels are the first restorative or histogenetic cells to appear in the wound (summoned by macrophages).  Fibroblasts appear after that.  In Integra, non-vascular histogenetic cells appear first, the dermatoblasts.  These cells proliferate into small clusters which, just like in embryonic vasculogenesis, this small locus of cells can become only so large until new blood supply is attracted.  This is how blood vessels and the vasculature develop during normal embryogenesis.  It is also what is happening during Integra histogenesis.  The fibroblast cells appear first, then they attract vascular cells, and then when vessels arrive (often as short well formed sprouts), the hypoxia is relieved, the vegf turns off, and no more new sprouting or angiohyperplasia takes place.  This closed-loop regulated process creates a vascular network embedded in the new tissue that has just the correct vascular density to supply the precise needs of the tissue.  In contrast, in normal wound healing, the first-to-appear angiocytes just keep coming until inflammation and its angiogenic cytokines decide to turn off.  This open-loop process means that vessel count builds to inordinate densities and vessel lengths, thus the appearance of red granulation tissue (versus white dermis or neodermis).

 

 

59

Vascularization can only come in from established vessels below, and thus second set consolidative fibroplasia must start at the bottom adjacent to the host.  Once vessels are established at the basal layer, they can then source cells and vessels to the space above them, and then second set fibroplasia can begin in there as well.  This process keeps rising as vessels grow ever higher toward the outer surface of the matrix.  As this system progresses, Integra matrix becomes progressively filled with the new living dermal analogue.

 

Left, right lower corner is the original wound.  Working up and to the left, the sequence of regenerative events is revealed.  At the host-matrix interface, there is now a solid adhesion of new dermis to the body.  Vascular ingrowth is obvious, and surrounding the new vascular pedicles there is fibroplasia with new cells and new collagen.  Higher up, in the left upper zone, syncytial clusters are awaiting the arrival of new vessels so that they can begin the efferent fibroplasia.  Right, the same process, but it is now more advanced, and the matrix is mostly filled.  While the histogenetic process must rise sequentially through the matrix from top to bottom due to the finite rate at which new vessels can extend themselves, nonetheless the qualitative features of the process are the same in all domains at all levels.  Thus, when the process is complete, the entire matrix has a uniform architecture with no overall spatial orientation or segmented or polarized architecture.

 

These views show the matrix in its most active phase of histogenesis.  The  matrix and its regeneration are a mesenchymal process, involving cells and tissues from the embryonic mesoderm.  It is also a purely mesenchymal process, independent of epithelium.  (Even though skin grafts can be added later, the matrix by itself does not host or engender epithelial or adenoid proliferation from skin, skin appendages, or other epithelia.)  The second set fibrogenesis illustrated here is another aspect of Integra histogenesis that is different than inflammatory wound healing.  In normal wound healing, angiocytes and vessels arrive first, then behind them come the fibroblasts to make dense collagen scar.  In Integra histogenesis, the fibrous cells come first.  Revascularization is necessary for the early clusters to proceed with more robust and orderly fibrogenesis, but the fibrous cells are already in place.  Unlike normal post-inflammatory wound healing which regenerates a scar and generic stroma, the Integra matrix makes a dermal analogue, including the specialized syncytial fibroblast which is equivalent to the embryonic dermatoblast.  Although these two systems are built of just the same two cells (angiocytes and fibroblasts) and their respective outputs (vessels and connectives), the morphology and fine details of the structures they build are significantly different.

 

 

60

Once the histogenic process is complete and the matrix is uniformly filled, the mesenchymal or stromal part of the regeneration is complete.  The resulting new living tissue is a high quality dermal analogue, having cell morphology, cell and tissue level anatomy, organizational dynamics, and mechanical properties that are a close match to normal skin and entirely different than scar.  However, the complete transformation to new skin is not quite complete yet.  Epithelium is needed, and that is supplied either by natural epithelial migration and ingrowth from the wound margins (a clinically suitable strategy for small wounds) or else by skin grafting.  Once the skin grafts are applied, the transition to a high grade new skin is rapid.

 

Left, the Integra matrix when it is fully regenerated and capable of supporting a skin graft.  The structure and its morphology are governed in part by the geometry of the original matrix, but the structure otherwise shares many of the quintessential features of proper embryonically generated dermis, not scar.  Second, early after a skin graft.  It is firmly adherent to the matrix, but it is still thin, just starting the process of reestablishing itself as a functioning epithelium.  The basal layer is still somewhat disordered, still trying to reorganize into a correct stratum germinativum.  Note that the graft is in direct contact and adherence to the regenerated Integra matrix.  The matrix and neodermis look as they should, no change in structure or regeneration status, and no new mesenchymal elements that were not there when the graft was placed.  Third, the graft is now well established and starting to reconstruct its own normal anatomy.  A normal layer of basal cells has reformed, and they are generating cells properly as seen by the increase in acanthocytes.  Furthermore, dermal papillae and rete ridges are starting to form, structures and a geometry necessary to increase surface area and minimize diffusion pathways so that gas and substrate supply are maintained to the more massive epidermis.  As dermal papillation occurs, a new layer of mesenchyme is starting to develop between epidermis and the Integra neodermis.  It is still thin here, but there clearly is a separation between epidermis and Integra neodermis due to the formation of this new cellular and collagenous zone.  This is a classic lamina propria for the epidermis.  Furthermore, angiohypertrophy is seen near the top of the Integra because these older vessels now become the source of the new subepidermal plexus and papillary tufts that nourish the epidermis.  Right, mature Integra skin 1 year later. The epidermis is mature in all respects, including mature papillation with rete ridges.  A normal papillary (subepidermal) dermis has fully formed.  It contains mature subepidermal and papillary blood vessels as are expected to be there in normal skin.  The original Integra sponge is still present below, perhaps thinning out here and there, but still having an overall normal appearance, without evidence of contraction.  Gross architecture of the regenerated Integra, which is the now the reticular dermis, is quite similar to normal dermis in terms of the organization and density of collagen fibers.

 

Note what has happened through this process.  The composite new skin has a proper architecture and mechanics.  Epidermis has restored itself.  In so doing it generated its own lamina propria by signaling to the structure below.  This is analogous to the embryonic state.  Integra histogenesis and embryonic dermatogenesis are the same thing.  They make the primary dermis, the reticular dermis.  Reticular dermis is a primary structure.  Integra is a primary structure.  Papillary dermis is a secondary induced structure, called into existence by the epidermis.  Laminae propria are present as a service layer under all epithelia.  For many organs, e.g. bowel and bronchi, the laminae propria are easily distinguished from the primary structures because they are different, connective tissue versus smooth muscle or cartilage or whatever.  In the skin however, the lamina propria has the same elements and general appearance as the primary tissue, so the two are always discussed as one unit structure, but embryologically they are not.  Furthermore, we can now appreciate the versatility of fibroblasts and angiocytes, or their discipline to respond to whatever commands are issued, to respond to different circumstances and inputs with different patterns and structures.  In that sense they are like any construction material – they will make what you want if you give them the right instructions and assemble them in the right order.  These same two cells and their derivative vessels and connectives can (1) make scar in response to inflammation, or (2) make primary reticular dermis in response to an aminoglycan stem cell aggregator indicating embryonic conditions, and (3) make papillary dermis in response to an epithelium needing to restore its lamina propria.

 

 

61

Here is another “time lapse” composite view of the Integra histogenetic process.  Left upper, at 5five days, there is no physical connection between wound and Integra.  The matrix has lightly scattered cells, mostly still pioneer or transitional cells, but some syncytial clusters have formed, active dermatoblasts that need a blood supply.  Angio­hyperplasia is evident in the host, and angioid cells are seen streaming through tissue to enter the matrix.  Right upper, at 10 days, angiohypertrophy and hyperplasia are substantial.  Streams of entrained cells are moving large numbers of cells into the matrix.  The upper half of the matrix is no different than the 5 day view, with pioneer cells and a few syncytial cells.  Syncytial clusters can be seen at mid matrix.  In the lower half of the matrix, early clusters have given way to domain-filling cellular proliferation.  Proliferation is most dense closest to hypertrophied source vessels, where vasculogenesis into the matrix first occurs.  An actual physical or anatomical connection of matrix to host is just beginning in those areas of vascular infiltration.  Left lower, at 18 days, the process is advanced.  Well organized and clearly delineated blood vessels have entered the matrix, and the lower layers have dense filling with cells and collagen.  Thus there is now a firm fibrous connection of matrix to host.  Matrix-filling histogenesis is now active in the mid and upper layers.  Empty matrix with only syncytial clusters are still present only in the thin topmost stratum.  Angiohyperplasia is still present, but it is beginning to wane or involute in the host.  Active angiohyperplasia has transferred to the mid level of the matrix where new vessels are now the source for the current histogenesis taking place in the upper layers.  Right lower, maturing regeneration at 54 days.  Although there is fixation artifact creating false empty space between tissue domains and matrix septae, the matrix is mostly filled with tissue (some domains still empty at the top).  The regenerated tissue is largely eosinophilic due to collagen, without the intense basophilia due to dense cellularity.  Angiohyperplasia or its residue are not fully abated but nearly so, and host or substrate anatomy is returning to normal.  Collagen binding of substrate to new tissue in the matrix is advanced, and mature vessels bridging the interface are obvious.  Note that the lower parts of the matrix are thicker, more expanded from more collagen, whereas the upper strata are flatter where there is less collagen.  This confirms that the matrix does expand vertically, filling out the pores more fully, getting thicker and more voluminous with progressive histogenesis and the consolidation of domains.

 

 

62

Here is yet another “time lapse” composite of Integra histogenesis, a vertical rather than a horizontal view, giving a better sense of the timewise development of the new tissue.  Note that “## days” (after placement of the Integra) simply documents when each specimen was taken, and is not to be interpreted as being a strict timescale of histogenesis and regeneration.  The times shown do accurately reflect the general process and times that occur, but there are variances from patient to patient, time to time, place to place, and even one millimeter to the next in any specimen.  The “17 days” specimens from two different patients show two close but different phases of the regeneration process.  At 5 days, the matrix is empty of proteins, glycans, and any other formed substance.  Early pioneer cells sparsely populate the matrix, independent of distance from the host.  There is no physical connection of matrix to host.  Some of the cells are adhering to the matrix, entering their transitional phase before becoming actively  proteogenic, mitotic, histogenetic syncytial fibroblasts.  At 13 days, cells have transformed into syncytial fibroblasts, and clusters of such cells are present.  There is still no other substance or biochemical matrix.  These clusters are capable of functioning with the oxygen and nutrients that diffuse from subjacent host vessels, but they are reaching their limits of growth and activity until direct vascularization of the matrix occurs.  At 17 days, left, the matrix is populated by large syncytial fibroblasts.  At the interface with the host wound, angiohyperplasia is evident, and migration and ingrowth of cells from host vessel into matrix can be seen.  Surrounding this zone of vascular infiltration, cell density is increasing in the sponge, and early organized collagen is appearing.  At 17 days, right, the process of vascular infiltration and progressive histogenesis is highly active.  There is a firm physical connection between host and Integra.  angiohypertrophy is still evident at the base, and new vessels are reaching far into the matrix.  At the lowest levels, eosinophilic pink collagen deposition is dense.  In the upper half, just above the large vessels, is a basophilic zone of small capillaries supporting dense proliferating fibroblasts which are just starting to make collagen.  The non-staining upper stratum has pioneer and syncytial cells in otherwise still empty domains awaiting the arrival of new vessels.  At 30 days, the process continues, progressing to the top of the matrix.  Vascular ingrowth is now evident throughout the matrix, with larger conducting vessels rising high enough to permit substrate supply to the top stratum.  Basal angiohyperplasia has subsided because histoprogenitor cells at this level no longer feel the effects of proliferative cytokines coming from the now far away active histogenesis zone.  Lower strata of the regenerated matrix are increasingly eosinophilic as collagen accumulates and matures, and fibrocytes become thinner and less active.  In the upper half, there is still a purple basophilic balance to the color, due to a higher density of cellular cytoplasm and nucleoplasm, and a relative lack of collagen.  This zone corresponds to what was starting in the basal area in 17-left, and what was occurring above the middle in 17-right.  At 42 days, the entire matrix is now filled with collagen.  Cell proliferation in the host is subsided, and cell prominence throughout the matrix has lessened as vascular and fibrous cells retreat into smaller flatter mature forms.  Vascular density is uniform throughout the regenerated matrix.  However, note that there are still differences between the upper and lower strata.  Below, collagen is pinker, denser, more organized, whereas above, there is still a relative basophilia, , and collagen is less dense or organized.  At 70 days, the process is now almost uniformly complete throughout the matrix, with only a slight residual basophilic tint in the topmost zone.  New vessels crossing the original interface and the tissues of the host have returned to completely normal appearance and cell density.  Note how the matrix gets progressively thicker as collagen fills up the sponge domains.  Papillomatosis of the Integra never occurs, meaning that the material is not expanding tangentially, only vertically, and not creating new tissue in excess outside the confines of the scaffold.

 

 

63

Integra histogenesis, the process and the resulting anatomy, are discernible by studying the histology of the events.  The process is quite consistent, virtually no variation in the observed events, sequences, operational dynamics from one patient to the next.  It is distinctly different than normal inflammatory wound healing and scar, and it is remarkably similar to embryonic processes of vasculogenesis and dermatogenesis.

 

One of the most important characteristics of Integra, and one of the biggest distinctions between it and normal wound healing, concerns its physics or system level operational dynamics.  Unlike wound healing’s “overshoot then involute” process of open loop unregulated excessive formation of scar, Integra histogenesis is a process of steadily building up a mature tissue, beginning with nothing, and asymptotically approaching the final correct model.  Integra histogenesis has the same sort of feedbacks and closed loop controls that characterize all of embryology, without which an embryo could never develop properly.  These controls, in embryogenesis in general but also in Integra histogenesis, steadily build toward the reference anatomy.  Unlike wound healing which is rapid, a wound typically “healed” in 1-2 weeks, matrix histogenesis requires more time, typically 4 weeks for the Integra matrix to fill from base to ceiling.  However, once the domains consolidate and mature, typically within 2-3 months, often less time, the process is essentially complete, unlike the many months or years required for wound healing scar to subside and involute to tissue with normal properties.

 

Left, a long vertical image to remind of the overall appearance of a fully complete Integra reconstruction many months later.  Matrix persists as part of a primary reticular neodermis that looks and functions much like normal dermis.  Above that is a secondary papillary dermis forced into existence by the overlying skin graft as its lamina propria.  Above that is the mature epidermis.  Below it all is the original wound or native host.  Center, a reminder of the sequence of events, first pioneer and transitional cells, then syncytial fibroblast transformation and clusters (the embryonic dermatoblast), then angiogenesis and revascularization, then domain-filling second set fibrogenesis which rises through the matrix in synchrony with the rising neovasculature.  Once the matrix is filled and consolidated, it is much like normal dermis histologically and mechanically.  Right, two views showing the matrix at mid regeneration circa 2 1/2 weeks and mature at 10 weeks.  Zones of primary histogenesis (pioneer and syncytial cells), fibroplasia (early collagen deposition and domain filling), and consolidation (maturation) are marked.

 

Graph:  Just as we mapped it for inflammatory wound healing, this shows the status of Integra regeneration via a vague nondescript measure of quality and quantity of wound elements and organization versus time after injury.  The dotted line is a target level representing the quality and characteristics of normal skin or stromal tissues.  The graph shows the behavior of the histogenic process, beginning at the beginning with not much “stuff”.   What Integra and other regenerative matrices do is to execute their activities in a regulated measured way following the same closed-loop reference-based controls that govern embryonic angiogenesis.  Another key distinction between wound healing and matrix histogenesis is the spatial dynamics of the process.  Wound healing is a gradient field process.  The stimulus is in a broad plane in the ceiling above the process, and responder cells are garrisoned in the host in the basement, and the process is one of the responder army marching ever upward through the structure, resulting in the stratified and radiating anatomy that is so typical of granulation tissue.  In contrast, Integra histogenesis is distributed evenly throughout the matrix, just like normal embryogenesis.  Recall that when pioneer cells come, they occupy evenly the entire matrix from bottom to top.  Each becomes a locus of local histogenesis, and all loci are equivalent.  It is true that the second set histogenesis follows a rising wave from low to high, but that is just a time delay due to the rate at which new vessels can reach the farthest loci, but once vessels arrive, each locus behaves as any other, up, down, this side, that side, earlier, later – all domains are the same, and the regenerated material is homogeneous.  The process deposits cells and vessels and connective materials in relationships and densities that match those found in normal (embryonically generated) tissues.  That is why Integra regenerated tissues have characteristics so similar to native tissues and so different than scar.  Once the initial regeneration is complete, within just several weeks, there is no need to remodel the new tissue as it is already so similar to normal dermis.

 

 

64

Integra Regeneration

Correlation with Primary Developmental Histogenesis –

Variances from Ordinary Inflammatory-Fibrous Wound Healing -

Embryonic Tissue Formation.

 

The distinction between Integra histogenesis and inflammatory wound healing has been central in this discussion.  Furthermore, many of the panels and paragraphs already presented have discussed in greater or lesser detail the similarity of the Integra regeneration process to normal embryogenic processes.  This section will provide additional correlation of those hypotheses.

 

This is another illustration from Pietro da Cortona, Tabula XVII, a view of the back and spinal nerves.  It reminds that there is much to learn by looking under the surface of casual appearances and studying a subject with discrimination and detail.

 

 

65

These images were reviewed on prior panels.  The top image shows active wound healing and active Integra histogenesis side-by-side on the same specimen.  The bottom image shows old scar and old Integra likewise side-by-side.  The sheer visual contrast is enough to persuade that these processes are different, that although both invoke only angiocytes and fibroblasts, that they are orchestrating the response in entirely different ways.  In the music of mesenchymal histogenesis, understanding clearly why the same few notes, angiocytes and fibroblasts, vessels and connectives, can be scored so differently by different composers or conductors, injury-inflammation versus matrix-embryogenesis, is central to understanding how we can use these properties to clinical and therapeutic advantage.  To reiterate the metaphor of this presentation, wound healing is classic, traditional, the biological Old World, the underpinnings of our surgical civilization, whereas matrix regeneration is the recently discovered biological New World, a beacon to further explorations and technological developments to advance our surgical culture.

 

Healing wounds and growing tissues is comparable to any agricultural endeavor, and like successful crops, successful wound closures are of vital concern to individuals and the community as a whole.  Left, statue of Persephone.  In Greek mythology, Persephone (Περσεφόνη), was the daughter of Zeus and the harvest goddess Demeter.  Abducted by Hades to the underworld, her yearly return to the surface to visit her mother is the mythical reason for the spring growing season then the autumn and harvest before winter returns. This Roman statue is from the beginning of 1st century CE, from the Archaeological Museum of the Castle of Baia, Naples.  Right, a Hopi Kachina, specifically, the one-horned Rain Messenger.  The Kachinas (or Ketsinas) are the deities and spirits of the Hopi in what is now northeastern Arizona.  They are frequently represented by dolls carved from cottonwood root, given to children to teach them the ways of the tribe and Hopi culture.  In a desert environment with very little rain, the ability to sustain permanent settlements for many centuries through to the present day was contingent on the ability to grow corn and other crops with minimum water.  The prayers of the Rain Messenger were meant to bring lightening, thunder, and rain.  This doll is from the 1920’s or 1930’s.

 

 

66

This panel compares key elements and events between natural wound healing (Wound) and Integra histogenesis (Integra).

 

Arrival & recognition.  For any reactive biological process to be initiated, something has to recognize or be triggered by a variance or perturbation of the system.  Something has to first “see” the injury or wound to start the response that protects then repairs things.  Wound.  Blood borne platelets are first to recognize an injury or wound via recognition of certain extra-vascular chemicals and products of thrombosis.  Blood borne leukocytes are the first to populate the wound, for the sake of acute host defense and control of the injury, marshaled by platelets and thrombosis via a combination of diffusible chemotactic factors and in situ coagulum based chemistry.  Integra.  The injury is masked from recognition so the inflammation-defense system does not see the wound.  Matrix is recognized by pioneer cells that seem to be tissue stem cells.  They are presumably marrow derived cells.  While blood would have to be the means of transport for these cells, they are not plasma-resident cells the way platelets and leukocytes are.  They are probably cells that patrol tissues and find the matrix by happenstance.  Active recruitment or attraction to the matrix is highly unlikely since they arrive only days later after all vestiges of acute phase injury and response have lapsed, and because Integra does not appear to source any soluble or diffusible factors.  Recognition of the matrix is almost certainly a function of direct contact of the cells with the aminoglycans in the Integra sponge, since that is consistent with what is known about ordinary and embryonic histogenesis, and because such cells are not seen with collagen-only matrices.

 

Stimulus & activation.  Once the new event or condition has been recognized, then something needs to stimulate or activate the response.  Wound.  Activation in a wound is due to chemotaxis-chemotropism between the inflammatory cells that were called to the wound and latent histoprogenitor cells resident in the host tissues below the wound.  Platelet derived pdgf or similar transforming cytokines convert blood borne monocytes to tissue macrophages.  Among their several functions, they are the chemotaxis agents, issuing their own growth factors which signal the tissue histoprogenitor cells.  Activated progenitor cells first become angiocytes, chemotropic cells which follow the angiogenic signals and migrate toward the surface of the wound where the macrophages are.  Integra.  Activation with Integra is on the matrix, an interaction between the pioneer histoprogenitor cells which found the matrix and the matrix itself.  This process is initiated by direct surface-to-surface contact interaction between the two elements.  Once the recognition occurs, activation causes the cells to bind to the surface.  This is followed by accumulation of nucleoplasm and cytoplasm in order to become phenotypically differentiated, committed to a certain cell type, and functionally active.  Mitosis and species specific functions then begin.  In this case the cell type is the dermatoblast, and the function is the production of a connective protein mesh.

 

Organization.  Once the proliferative or histogenic process begins, cells that respond and the chemicals they make must organize into a functioning anatomy.  There is a level of biological organization that comes between “cell” and “tissue”, call it “cellular assemblies”.  The initial assemblies in wounds and Integra are different.  Wound.  The first structures in the wound are vascular cords.  These are the reassembly of migrating angiocytes as they stream from source vessels in the sub-wound toward chemotactic signals in the top layers.  These new vessels are long linear channels that are unlikely to branch along the way.  This morphology, typical of a gradient field, is unlike embryonic angiogenesis where vessel formation occurs in distributed fields and is highly meshed, branched, or collateralized.  Integra.  The first structures in the Integra matrix are syncytial clusters, assemblies of several embryonic dermatoblasts which are all mitotic daughters of the initial pioneer-transitional cells.  Unlike initial wound vessels which are a reassembly of migratory individuals, syncytial clusters arise from a one-cell anlage, comparable to tissue and structure formation during embryonic growth and development.

 

Early structure.  Early structure means the assemblage of assemblies, and the intermix of multiple elements into a defined tissue.  Wound.  Following the migration and assembly of vascular cells and vessels, fibroblasts then appear.  They begin to make connective matrix, and the vascular and fibrous elements become intermixed.  This new biomaterial will go through subsequent phases of consolidation then maturation, but at this point, all of the constituent elements are there.  Integra.  At this point, syncytial clusters have grown as large as the absence of blood supply permits, so they make angiogenic factors to attract vessels.  Vessels arise, and then second set histogenesis can begin.  That establishes foci of the new tissue, an intermix of new vessels with old and new fibroblasts (the original dermatoblasts then second set fibroblasts).  In wound healing, the events occur in sequential tangential strata but they occur simultaneously across the entire spatial surface.  In Integra, a fully organized tissue develops rather quickly within each individual small focus (site of a syncytial cluster or within a pore of the sponge), but the filling and coalescence of all domains takes time, a distributed model of histogenesis comparable to embryogenesis.

 

Advanced structure.  Early structure must coalesce or condense into a structure that is the nominal output or end point of the acute process and which serves the host for the sake of biological safety and functional adequacy.  After that, the resulting tissue can remodel if necessary back to a state comparable to original normal anatomy.  Wound.  The culmination of vascular and fibrous proliferation is a scar, a dense amalgamation of thick collagen bundles that pack all space.  The bundles are randomly oriented, and absent any clefts or spaces, the material is very inelastic and undeformable.  It is strong, meant to cement the body back together, but it is prone to contractures and impaired motion.  late maturation back to normal tissue takes many months or years.  Integra.  The culmination of the Integra process is that all of the minute histogenic foci eventually fill all pores in the matrix.  The tissue is not structurally strong since the individual “pearls” of new tissue do not have large interconnections, but the tissue has pores and spaces and septations from the Integra sponge which preserve the pliability and elasticity of a normal (embryonically developed) dermis.  Late maturation remodels the material to a histologic appearance comparable to native dermis, but the physical and biological properties of the material are not much changed during that late maturation since they were close to normal to begin with.

 

 

67

This panel further compares natural wound healing versus Integra histogenesis, specifically angiogenesis and blood vessel formation.  At its simplest, the angiogenesis of normal inflammatory wound healing is an open loop unregulated process that results in extraordinary overproduction of blood vessels and high vascular density in the active wound and the final scar.  Integra angiogenesis occurs under the same regulated controls as normal embryonic angiogenesis, resulting in a vascular density that is just what it should be for the cell count and metabolic needs of the tissue.

 

Left column, angiogenesis in normal inflammatory wound healing.  Under the microscope, angiogenesis is seen as dense, closely distributed large vessels carrying large volumes of blood.  High vessel count and density plus high vascular and blood volumes mean that volume-per-volume the wound and granulation tissue are dense with blood.  High blood density is seen grossly as the exuberant congestion and red color of granulation tissue.

Right column, Integra angiogenesis.  (Wound and Integra microscopic views are presented at same magnification.)  In Integra, the micro­scopic view shows that vessel density is low.  It is comparable to normal dermis and fascias.  Vessel caliber is small and more uniform, in the capillary and pre- and post-capillary sizes.  Grossly, the lower density of vessels and blood means that the regenerated tissue is pale.   It is like any other normal fibrous tissue such as dermis and muscular fascias, white or only marginally pink, because blood volume in these tissues is slight.  (The regenerated material  is sufficiently thin to be slightly translucent, so the gross color appears in part like whatever is behind the thin material, lumbar muscles in the center photo, achilles tendon in the lower photo.)

 

Inflammatory wound healing.  Granulation tissue is dense with excessive blood vessels.  The reason is that inflammatory angiogenesis is an unregulated open loop process forced by an agent extrinsic to the new tissue forming process.  The key dynamic is an interaction between stimulatory macrophages and responder angiocytes.  Macrophages make angiogenic factors to attract angiocytes.  However, blood borne macrophages are not part of the original tissue nor the final tissue (only angiocytes and fibroblasts are).  Thus they are extrinsic to the tissue-stroma-scar, and they will clear out as the final scar evolves.  The vessels they attract are not for themselves, and they have no way nor even a need to regulate the degree of angiocyte response.  If macrophage stimulated angiogenesis was a regulated or closed loop process, then arrival of angiocytes or vessels or blood flow would turn off the chemotaxis.  However, that is not the case.  The process is open loop and unregulated meaning that revascularization does not suppress the macrophages.  Regardless that vessels arrive, macrophages keep making chemotactic angiogenic factors, keep attracting new vessels, and vessels keep coming until acute inflammation winds down and macrophages and inflammatory cells disappear.  The proliferation of new blood vessels is thus very dense, an overabundance far in excess of what is needed by normal healthy dermis or fascias.  This is seen histologically as an excessive “unnatural” number of unusually large blood vessels.  Excess blood volume in the excessive network is seen grossly as bright red “granulation tissue”, the clinical signature of inflammatory wound healing.

 

Integra histogenesis.  In contrast, Integra histogenesis results in a controlled angiogenesis in which there is feedback between burgeoning histogenic cells and the vessels that they attract.  This system of closed loop control is exactly the same as the system that governs efficient embryonic vasculogenesis.  As seen in the images, blood vessels are present as in any living tissue, but their numbers and density are very low compared to what is seen in inflammatory granulation tissue.  Just like normal tissues, vascular density in the Integra is precisely what it should be for the cell and metabolic load of the tissue.  This is due to the dynamics of the process.  This is a regulated closed loop process.  Vessels do not respond until summoned, in this case by the new dermatoblasts.  As new vessels arrive, ischemia of the clusters is relieved, and they stop making vegf, so vascular stimulation and taxis ceases.  It means that vessel count and vascular density are precisely what they must be to supply the developmental and metabolic needs of the new tissue, neither more nor less.  This is identical to the process of embryonic angiogenesis and the regulation of vascular density in normal tissues.  Normal dermis and fascias appear white because they have relatively low metabolic requirements and thus a low vascular density.  However, they are living tissues, so they are getting the correct blood flow.  They have precisely the number of vessels that they need to function and be alive.  Regenerated Integra, which is structurally and functionally similar to these tissues, looks the same as them, which is quite distinct from densely vascularized wound granulation tissue.

 

Embryonic histogenesis.  Embryonic histogenesis is not explicitly illustrated, but the process is understood.  Embryonic angiogenesis must be understood as a system via the physics of non-linear dynamics.  The VT (Vascular neT) model of angiogenesis explains the process.  What happens in embryonic growth is that individual locales of proliferating tissue trigger tropic angiogenesis only as metabolic loads outstrip available supply.  Arrival of blood vessels suppresses further angiogenic stimulation, and vascular density ends up being only exactly what it should be to meet metabolic load.  Much of this system is understood, for instance that various angiogenic cytokines can be involved, but that vegf is the predominant one; that all proliferating or growing embryonic tissues make vegf during active tissue growth; that the vegf gene is directly turned on and off by oxygen or its absence;  that vascular morphology and density are highly organized and efficient, exhibiting the property of “locality” where vessel growth is governed independently by distributed locales of active growth of the host tissue.  These efficient dynamics leading to a closed-loop regulated non-excess vascular density are the same as vessel formation during Integra histogenesis.

 

 

68

This panel further compares natural wound healing versus Integra histogenesis, specifically fibrogenesis and connective matrix formation.  One process makes scar, the other makes dermis.  These two structures, although both made of only angiocytes and fibroblasts, vessels and connectives, have remarkably different histological structures, materials properties, and implications for health and function.  Just as for angiogenesis and vascularization, wound healing makes unregulated excess material, whereas Integra makes proper amounts and architecture comparable to normal dermis.

 

Top, wound healing.   The young scar is dense with cells and collagen.  Collagen is either amorphous or in large bundles.  Spatial orientation of the fibers and bundles is isotropic, uniformly or randomly distributed in all directions without a dominant axis.  Cells are not just abundant but vary in size and shape.  There is no interruption of the mass by clefts or spaces.  It is inelastic, non-distensible, non-deformable.

 

Bottom, Integra histogenesis.  The collagen matrix is more orderly.  It seems to flow concentrically following the contours of its local domain as defined by the Integra septae.  Cells are not dense, and they are uniformly flattened and mature.  Spaces and internal deformability are obligatory since the Integra septae prevent inter-domain adhesions.  This allows for degrees of elasticity or distensibility that more closely matches normal dermis.

 

Top, marble statue the Farnese Atlas, in the National Archaeological Museum of Naples, Italy (Atlante Farnese, Museo Archeologico Nazionale di Napoli).  It is a 2nd century CE Roman copy of a Hellenistic original.  It depicts Atlas, the Titan sentenced by Zeus to hold up the sky, bearing his burden by holding the celestial spheres.  At 7 feet (2.1 meters) tall, it is the oldest extant statue of a Titan, the oldest known art representing the celestial spheres, and the oldest surviving pictorial record of northern constellations.  Like many statues in Italy, “Farnese” refers to Cardinal Alessandro Farnese who acquired and exhibited many classical sculptures in the Villa Farnese in the early 16th century.  It reminds that scar, generated by normal wound healing, is strong and essential to healthy life, but it can also be an inexorable burden when it is ill behaved or in excess.  Bottom, another Hopi Kachina doll.  Housed in the Brooklyn Museum, New York, it was collected in the Hopi pueblos by a museum expedition in 1904, date of origin presumed late 19th century.  At 22 inches (56 cm) tall, the figure wearing the elaborate tablita is Pahlikmana (or Poliman, Butterfly Maiden).  This character is a springtime and planting character who may have other personas such as a Corn Maiden during certain dance ceremonies.  Her dances are prayers for rain and a good harvest.

 

 

69

In this panel, the comparison of natural wound healing and Integra histogenesis is not about specific events like vascularization or fibrogenesis, rather about the dynamics of the whole process.  Wound healing and scar overshoot-then-involute.  Integra histogenesis progressively builds a correct tissue model.  Given enough time, both processes gradually remodel to something comparable to normal dermis.  However, scar starts with many characteristics that are undesirable and counterproductive, then it takes many years if ever to return to acceptable mechanics and function.  In comparison, Integra is much like normal dermis from the beginning.  Its remodeling to a more normal architecture is of academic interest, but its practical and functional attributes are comparable to normal skin from the start.

 

Left, after inflammatory wound healing, there is gradual remodeling of scar to eliminate excess cells and materials until it eventually resembles normal dermis or fascia.  The kinetics of scar maturation are slow as the material revises itself from a thick, stiff, non-compliant, congested, hypertrophic material to nearly normal.  The photos show young scar (left) with dense cellular collagen and numerous enlarged vessels.  In a fully mature scar (right), vessels have all returned to normal size and density, and collagen bundles are wavy and more compliant.  The graph shows the overshoot-then-involute dynamics of quickly building too much material, then slowly thinning the scar back to the reference of normal dermis.  Rapid over-attraction, over-production, over-dense accumulation of cells and connective mesh occurs because acute proliferative repair is open loop and auto-amplifying without regulated controls.  The acute “overshoot” phase, which evolves in days to weeks, is the basis for scar’s undesirable properties.  Once the wound is epithelialized and closed, the acute process subsides, then the scar matures.  Maturation is a gradual asymptotic self-modification back to a structure similar to normal dermis or fascia, a process requiring months to years.

 

Right, Integra also goes through a nominal maturation, slowly looking more like normal dermis and fascia, likewise over months to years.  The difference between scar and Integra is that maturation and the approach to a normal tissue occur from opposite directions.  The photos show young Integra (left) with its domains recently regenerated, the original empty matrix now consolidated.  Years later (right), collagen is more mature, wavy and compliant, just like dermis and old scar.  However, with regard to porosity, collagen density, and cell count, it is no different now than at the beginning, or stated conversely, newly formed Integra has the properties of dermis to begin with.  The graph shows there is no overshoot, just a persistent regulated build to a relatively normal tissue.  The acute proliferative phase of building the new tissue occurs over weeks to months (unlike days to weeks for acute wound healing).  Like scar, the latter maturation to a more normal appearance continues for years, but the gross clinical features of healed Integra (appearance and compliance) are present within the first few months, and they change little after that.  Unlike wound healing which quickly and completely fills available space with material then whittles it away, Integra histogenesis is a process of steadily building a proper tissue of proper density, beginning with nothing then asymptotically approaching the final model.  Integra histogenesis has closed loop regulated controls that steadily build toward the reference anatomy without ever having an overshoot condition that must be remodeled.

 

 

70

This and the next panel go a step beyond the last one, comparing not just wound healing versus Integra, but having a third comparison to embryonic histogenesis.  There are no histology pictures of embryonic events for comparison, but the biology and developmental dynamics of embryogenesis as already well researched and understood can be used as the basis for comparison.  Left column = inflammatory repair.  Center column = Integra histogenesis.  Right column = embryonic histogenesis.

 

Top row compares the earliest cells in each process, the recognizers or first responders, and the triggers or regulators of later activities.  For wound healing, they are inflammatory leukocytes.  Neutrophils recognize and defend, monocyte-macrophages induce subsequent proliferation.  They are open loop triggers with no feedback control by the stimulated cells upon the stimulus.  Being only on the surface, they create a front of stimulus, and the underlying response forms sequential serial planar strata.  The inflammatory cells do not themselves become part of the final tissue, the scar.  For Integra histogenesis, pioneer stem cells recognize the matrix then initiate regeneration without any defensive component.  The process is distributed throughout the regenerative space as independent foci of activity operating in parallel.  The histogenic process is closed loop, the stimulus or controllers being inhibited by arrival and reorganization of stimulated cells.  The pioneer cell initiators of the process become part of the ultimate tissue.  For embryonic histogenesis, early cells act as blasts, focal anlagen for generative clusters of differentiated tissue.  Tissue and organ generation is thus highly distributed and parallel.  Correct tissue models such as the normal embryonic vasculature depend on highly regulated tightly controlled feedback loops.  There is nothing inflammatory or defensive.  Each embryonic anlage cell and its progeny become part of the ultimate tissue.

 

Second row compares the main induced histogenic cells in each process.  (Angiogenesis is essential to histogenesis, and vessels are mandatory to support the fibrogenic cells.  However, this panel does not compare angiogenesis between the processes.  In brief, in wound healing, open loop unregulated vessels proliferate first then fibroblasts follow.  In both Integra and embryonic histogenesis, primary histogenic fibroblasts appear first, then highly regulated proper-density angiogenesis follows.)  For wound healing, fibroplasia is via classic reactive fibroblasts.  These relatively small compact cells are the first and only type of fibrogenic cell in the process, and they come late, following behind new blood vessels.  They pack the space in high densities, and they make thick dense fibrous collagen.  For Integra histogenesis, the initial fibroplastic cells are the large syncytial ones.  These have a size and architecture entirely different than wound-reactive secondary fibroblasts.  They appear in  relatively sparse individual foci, and until they get vascularized, the clusters they make have just a few cells.  They make a very fine fibrillar or amorphous collagen.  For embryonic histogenesis, embryonic dermatoblasts have the same architectural  and collagen features of the Integra syncytial fibroblasts.

 

Third row compares the presence and role of glycosaminoglycans in each process..  For wound healing, the process starts with only an injured surface.  As the system proliferates, it occupies and defines a volume, but there is no pre-defined histogenic space.  No space means there is no medium in which histogenic cells can function.  The system must first create a medium in which angiocytes and fibroblasts can make the secondary fibrous mesh and organized stroma.  Glycosaminoglycans are the prime chemicals made in order to create a primitive “ground substance”, the medium for proliferative cells.  Aminoglycans are thus an output of the proliferative process.  For Integra histogenesis, the matrix defines an a priori space in which the process can evolve.  The process stays confined to that predefined volume.  The imposed architecture of the space regulates growth and self-assembly of new cells.  Glycosaminoglycans already engineered into the matrix have the pivotal role, providing the crucial recognition and regulation signals that activate pioneer cells to begin histogenesis  A secondary gel ground substance eventually forms, but it is not required to permit the migration and organization of new cells.  Aminoglycans are an input to the histogenic process.  For embryonic histogenesis, aminoglycans serve as a priori medium, post hoc medium, and histogenic process regulator.  They are recognized as having a central role in embryonic histogenesis.  Their role is best understood by observing what happens in a fetal wound.  Intrauterine fetal injury or wound does not trigger inflammation.  The injury simply repairs itself by the accumulation of new cells and GAGs and a resumption of tissue specific histogenesis.

 

Fourth row compares the collagen and connective mesh that develops in each process.  For wound healing, the earliest collagen has a fibrous architecture with thick longitudinal fibers.  That morphology persists throughout the process, leading to thick non-compliant scar bundles.  Collagen is dense and excessive, without free space or mechanical compliance of the final tissue.  The scar has myofibroblasts inducing contraction, and it is subject to Wolf’s law effects causing hypertrophy and tendinous metaplasia in response to extrinsic forces.  For Integra histogenesis, early collagen has a non-fibrous amorphous appearance.  If the hypothesis is true that this is comparable to the embryonic dermatoblast, then this early collagen has a fine fibrillar architecture.  Later “second set” collagen has larger thicker collagen fibers, but even then the architecture is not as dense, not excessive, maintaining porosity and mechanical compliance.  Fiber direction is governed by the host space, not by randomness nor mechanical loads.  Contraction is not observed, neither histologically nor grossly as contractures responding to mechanical loads.  As such it retains its original non-scar characteristics even across joints.  For embryonic histogenesis, collagen matrix is what it is for normal growth and histogenesis.  It makes normal dermis, fascias, tendons ligaments, etc., with fiber and bundle sizes, densities, and orientations that are “normal”.  Scar and scar collagen do not occur in embryogenesis, not even after intrauterine injury.  Fibrous contraction and contractures do not occur in embryogenesis.

 

Graph row compares the dynamics each process.  For wound healing, “overshoot-then-involute” first makes indiscriminate excess new tissue, after which the excess is remodeled back to a dermal or fascia analogue over many months or years.  For Integra histogenesis, the process remains regulated, asymptotically building up the elements of the proto-tissue until the final correct tissue is achieved without excesses.  The process consolidates to the reference anatomy.  For embryonic histogenesis, the process and its output are the “reference anatomy”.  Embryogenesis is normal, so by definition it creates the correct output.  It creates normal tissues by the regulated self-assembly of primitive elements in correct proportions and relationships, never in excess.  Even when the embryo is injured (“fetal wound repair”), the inflammatory overshoot-then-involute process never occurs, only the resumption of the normal evenly paced histogenesis that creates normal tissues.

 

 

71

This panel compares various other features of the three situations, to further support the hypothesis and observations that Integra is comparable to embryonic histogenesis, and both processes are unlike inflammatory wound healing.  The table recapitulates much of what has been already stated, so item by item commentary is not made.  Note that the comparisons involve different classes of parameters, some anatomical (e.g. cells, chemicals, architecture), some physiological (e.g. cell responses), and some dynamical (process regulation and control).

 

 

 

 

 

 

 

 

 

 

 


             CONDITION                               INFLAMMATORY REPAIR                    INTEGRA HISTOGENESIS            EMBRYONIC DERMATOGENESIS

                                                                                                                                                                                                and FETAL WOUND REPAIR

                                                                                                                                                                                                                                                                                                                                   

             inflammation                         inflammation triggers the process             inflammation is suppressed                           no  inflammation         

 

                                                                                                                                   

              control cells                               chemotactically summoned                  resident local mesenchyme               locally developing mesenchyme

                                                                       marrow-derived cells                     (marrow derived?) patrol cells                                      

                                                                                                                                                                                                                                                                                                                                   

       control cell initiation                                extrinsic direction                                  intrinsic direction                                   intrinsic direction

                                                                        by summoning cells                                  by arriving cells                                     by resident cells                                                                                                                                             

       type of cell response                                      defensive                                 non-defensive, histogenetic                   non-defensive, histogenetic

 

                                                                                                                                   

            type of healing                                       wound module                                           generative                                generative and regenerative                       

                                                                        inflammatory repair                           (embryonic) histogenesis                                 histogenesis             

                                                                                                                                                                                                                                                                                                                                   

   dynamical control system                                  open-loop                                              closed-loop                                             closed-loop

                                                                controllers extrinsic to tissue                 controllers intrinsic to tissue                 controllers intrinsic to tissue                       

                                                                                                                                                                                                                                                                                                                                   

       order of histogenesis                               angiogenesis leads                                   fibroblasts lead                                   dermatoblasts lead                                                                                  fibroblasts follow                                angiogenesis follows                              angiogenesis follows

                                                                                                                                                                                                                                                                                                                                   

     vasculogenic dynamics                   target or gradient angiogenesis             distributed field angiogenesis              distributed field angiogenesis

 

                                                                                                                                                                                                                                   

          vascular density                            hyperdensity angiogenesis                  correct density angiogenesis                correct density angiogenesis                       

 

                                                                                                                                   

    type of histogenetic cell                             classic fibroblasts                                syncytial fibroblasts                              syncytial fibroblasts

                                                                                                                                                                                                           (dermatoblasts)                                                                                                                                              

      collagen architecture                             dense, non-compliant                           percolated, distensible                          percolated, distensible

 

                                                                                                                                                                                                                       

           scar contraction                                          prominent                                                  absent                                                     absent                 

 

                                                                                                                                                                                                                                                                                                                                   

             star chemical                                              collagen                                        glycosaminoglycans                               glycosaminoglycans

                                                                               (structural)                                        (process regulator)                             (process and structure)

 

 

Concerning angiogenesis:  Angiocytes are stimulated by vegf and grow toward the stimulus.  In wound healing, the stimulus is the upper layer macrophages.  They are extrinsic to the tissue in two ways:  they are on the surface outside of the forming new tissue, and they will not be part of the new tissue.  Macrophage-angiocyte interaction is open loop since angiogenesis fails to suppress the macrophages so vessel growth continues unconstrained.  In both Integra and embryonic histogenesis, the dynamics are different.  Angiogenic stimulus is by cells intrinsic to and distributed internally within the developing tissue.  Interaction of angiocytes and stimulatory syncytial fibroblasts is closed loop because revascularization feeds back to suppress further angiogenic stimulus.  The result is a tightly controlled vascular density that precisely satisfies metabolic needs of the tissue.

 

To reiterate, embryonic histogenesis is not directly illustrated here, but attention is drawn to published sources that have studied this subject.  Of special interest is the research paper “Ultrastructural Aspects of Human Skin During the Embryonic, Fetal, Premature, Neonatal, and Adult Periods of Life”, Holbrook KA and Smith LT, Birth Defects, v.17-2: pp.9 -38, 1981.  In this paper, the histology of human dermal embryogenesis is described in detail, including this quote:  The dermis of the 1-2 month old embryo is a watery cellular network of mesenchyme that is joined, through long slender pseudopodia processes and specialized intercellular junctions, into a syncytium.  The undifferentiated mesenchymal cells at first secrete a matrix that is primarily ground substance . . . argyrophilic fibrils in the 20-30 nm range are visible at the light microscope level. . . In the 3rd month, cells separate as the dermis becomes richer in fibrous components.  Continued deposition of fibers and separation of cells have been referred to as a ripening of the connective tissue. . . in the fetal dermis of 14-21 weeks [4-5 months] fibroblasts have assumed a typical spindle shape and no longer retain cell-to-cell contacts.  This description parallels exactly what is seen in the early stages of Integra histogenesis.  The “. . . watery cellular network of mesenchyme . . .” refers to the embryonic dermatoblasts which, at least by light microscopy, share all of the features of the syncytial fibroblasts seen during “first set” histogenesis in Integra.  While the quoted paper establishes the individuality of those cells by using electron microscopy, light microscopy gives the appearance of a syncytium, thus the source of the term “syncytial” fibroblast.  Not only are the embryonic dermatoblast and the syncytial fibroblast the same cell, but never during normal inflammatory wound healing is such a cell seen.

 

 

72

The embryonic nature of Integra histogenesis as revealed by histologic features and system dynamics might not be strictly confined to the matrix itself.  Activity of an embryoid environment might be “broadcast” into the surrounding wound or host as seen in images such as these.

 

Left, a fibrous musculoskeletal fascia (sural fascia of the leg) subjacent to regenerating Integra.  A normal mature fibroblast trapped in its collagen matrix seems to have reverted back to a large regenerative blast form, as witnessed by a mitosis in metaphase, something not observed in normal wound healing.  Right (broad and closeup views), skeletal muscle fibers subjacent to regenerating Integra (from leg or thigh).  Note the “strings of beads”, columns of aligned cell nuclei without any apparent intercellular junctions or cytoplasmic separations.  These are myotubes, true multinucleate syncytial cells that form by the fusion of primitive myoblasts.  Myotubes are a distinctive feature of embryonic myogenesis, the method whereby long mature myocytes are created from multiple ordinary small progenitor cells.  As central as they are to embryonic muscle development, they are not seen in normal wound healing or common muscle pathologies and repair.

 

 

73

Integra histogenesis is characterized by some very distinctive cells and behaviors: pioneer cells, transitional cells, syncytial fibroblasts and clusters, and frequently observed mitoses.  All of these have morphologies and observed processes that are very suggestive of embryonic tissue growth and development.

 

Left, the distinctive cell types of Integra histogenesis are all seen here, small lymphoid pioneer cells, activated transitional cells that have bound onto the matrix, large reticulated syncytial cells, and perhaps a cluster or two.  Right, the next phase in the development of these special cells, the formation of larger clusters with up to perhaps a dozen cells, active mitoses which account for the enlarging clusters (not migration and adhesion of wandering cells from afar, 2 mitoses visible in this one small view), and the incipient production of collagen and connective proteins, seen as a pale pink blush around or near the cells.

 

Key to understand is that in normal inflammatory wound healing, these cells and structures are never seen.  Because wound healing is itself a proliferative process, it is easy enough to find incidental mitoses of vascular and perivascular cells, but they typically are seen at the source of the cells, not the destination.  Discounting mitoses, the other elements seen here are characteristic of embryogenesis and Integra, but they are absent in normal wounds.  It could be argued that pioneer stem cells could be in a normal wound, just overlooked on standard H&E staining, because they are so similar in appearance to lymphocytes or the individual nuclear lobes of polymorphonuclear leukocytes.  It could be argued that the spindly appearance of transitional cells could be overlooked in a normal wound because of the “noise” of so many spindle shaped migratory angiocytes.  Fair enough, but the syncytial fibroblast, the dermatoblast, and its clusters cannot be confused with anything that belongs in a normal wound.  It is embryonic, and it is not present in a normal wound, ever.

 

 

74

In Integra, the histogenic domain, originated by a single pioneer cell, is also unlike anything seen ever in a normal wound or inflammatory wound healing.  This structure, which clusters in a pore of the Integra sponge, has a defined histogenesis and anatomy that has no comparison in normal wound healing.  This is the basic unit of new tissue.  It is replicated in each pore of the sponge.  It is unlike scar which acts as though it was poured or molded into the entire wound space.  By analogy, think of a sack that is filled with glass marbles or metal ball bearings.  If when filled as thoroughly as possible, the sack should retain some gross malleability or deformability.  In comparison, pour molten glass or metal into that form then let it solidify.  That is the distinction between scar and Integra.

 

Left, a middle form of the histogenic domain, half way between initial pioneer cell and eventual mature connective mesh.  The original cluster has been vascularized, allowing second set histogenesis which is just beginning.  Syncytial fibroblasts are starting to lose their original identity, and cell density is increasing a s new more mature fibroblasts are active and producing young fibrillar collagen.  Right, that process has now advanced to the point of mature final collagen and connective structure.  This broader view shows many domains, each of which regenerated individually, the distributed model of histogenesis, comparable to embryogenesis and distinct from scar.

 

 

75

In normal subjects, injury begets inflammation begets inflammatory wound repair and its resulting scar.  In contrast is histogenesis within regenerative matrices, with Integra collagen-gag matrix being the focus of this presentation.  In Integra, the normal inflammatory response to injury is suppressed.  Without inflammation, there is no inflammatory repair and no scar.  Instead, the material heals by the gradual assembly of a nearly normal tissue.  It is a process which dynamically and histologically is comparable to normal embryonic histogenesis.  Normal wound healing and matrix induced embryonic histogenesis do share some features.  Their primitive elements are the same – angiocytes and the vessels they make, and fibroblasts and the connective mesh they make.  However, the commonality ends there.  These two processes fundamentally alter the appearance, ordering, and assembly of the primitive elements into two entirely different materials – scar (inflammatory wound healing) versus neodermis (Integra).  The properties and constituents of the Integra matrix are directly responsible for these differences, the key factor being the aminoglycans in the material.  The physical and biological characteristics of regenerated Integra are clinically superior to scar and customary skin grafts, approaching the qualities and mechanics of normal skin.  This is not unexpected given the similarities of Integra and embryonic histogenesis, and their distinction from inflammatory repair.

 

Matrix regeneration is a new paradigm of surgery.  Unlike simple repairs, grafts, and flaps, it is a fourth paradigm of the surgery of repair, a mode independent of normal wound healing.  Except for the few introductory cases at the beginning of this presentation for the sake of orientation, this presentation has not discussed clinical indications or cases or the technical use of the material.  It has focused on the anatomical and physiological process of Integra regeneration, to explain why it has its special biological and therapeutic properties.  Those properties, which abrogate or overcome problems inherent in normal wound healing, mean that Integra has many indications for surgical wound closure and reconstruction.  It is especially effective for conditions of persistent inflammation where skin grafts and repairs would lyse or fail, conditions where normal healing would cause problematic fibrosis and contractures, and conditions of coverage for tissue voids such as open joints or hardware because of its ability to conduct histogenesis tangentially through the matrix.  For certain types of problems, use of a regenerative matrix such as Integra should not be considered as a novel alternative but rather as the primary modality, the indicated option for cases where inflammation, scar and contractures, and problematic coverage put normal wound-healing-dependent surgery at risk.

 

 

76

The use of regenerative matrices in surgery is a form of tissue engineering that is conducted in situ on the host, on the target wound or reconstruction.  The process of histogenic new tissue formation has been elucidated histologically.  It  is an integrated sequence of interactions of certain cells and the substructures they make.  Since they are making a connective tissue, only four elements contribute to the final product, angiocytes, fibroblasts, blood vessels, connective mesh.  These same four elements make all of the connective structures, from scar to fascia to dermis, the differences between these tissues being in when these four elements and their subassemblies appear and how they arrange themselves.  The physics of these processes, the timewise and spatial dynamical interactions of these elements, govern the characteristics of the final structure.  For normal wound healing, it is scar.  For Integra collagen-gag matrix, it is a dermal analogue with entirely different mechanical properties.  The Integra process does this by suppressing normal inflammation and wound healing and inducing an embryonic form of regeneration.  This confers benefits that solve clinical problems when classical paradigms of surgery will not work.

 

Right, a view of Naples (Napoli), Italy from the lighthouse on the molo (pier), original art by Joseph Mallord William Turner (1775–1851), engraved by G. Cooke, 1820.  At the left edge is the Castel Nuovo (first built 1279), and in the back on the hill is the Castel Sant’Elmo (structure built incrementally 1275-1547).  It reminds that classical wound healing is a foundational function of multicellular life, robust, protective, the basis of our entire surgical civilization.  Left, a view of a covered wagon train traveling under Pilot Knob, 1872.  It is located in southern California near the Colorado River bordering Arizona.  Circa 1850-1880, before the railroads entered and crossed the Arizona Territory, access to Arizona was from the west via by then populous California, from the east by dangerous stage coach or wagon trains, or by ship across Panama or around Cape Horn to the Gulf of California to the mouth of the Colorado.  Pilot Knob, a volcanic form with its distinctive shape, was an important landmark in those years.  It was a guide for the overland stages and trains of the Southern Emigrant Trail during the California gold rush, and for the riverboat traffic that was so vital to Arizona in its early years.  It is a reminder that something can be built from bare landscape, whether on a continental scale or just within a small piece of regenerative biomatrix.

 

 

77

END - FINE

 

 

78