(NOT) ATYPICAL ULCERS

 

AUTOIMMUNOPATHY AND CONNECTIVE TISSUE DISORDERS:  THE TRUE INTRINSIC DISEASES OF WOUND HEALING

 

Marc E. Gottlieb, MD, FACS

 

Phoenix, AZ

 

Revision 10b,  November 5, 2009,  Copyright © 2009

 

Section 0 - Preamble

An introduction of concepts and orientation to chronic and pathological wounds, including the general meaning of “chronic and pathological wounds” and the importance of proper diagnosis as to the cause of the wound.

 

 

 

1

This specific presentation was first given on September 26, 2009, but it is a continuation of similar presentations given for the past few years.  The requested title for this presentation was “Atypical Wounds”.  One of the main goals of this presentation is to demonstrate that “atypical wounds” are not.  They are typical, and good care is contingent on understanding the spectrum of wound diseases and diagnoses.  This will not be a comprehensive survey of all wound causes and diagnoses.  Instead, it will focus on the autoimmunopathies and connective tissue disorders as the intrinsic diseases of wound healing.

 

 

 

2

This is an alternate title slide listing the major concepts to be conveyed, focused on the concept that the autoimmune connective tissue disorders are the diseases of wound healing, and they are one of the major categories of chronic problem wounds.

 

 

 

3

Throughout this or any discussion of chronic wounds, remember the distinction between chronic wounds and acute trauma wounds.  Acute wounds and normal wound healing are not relevant to these discussions.

 

There is a tendency for non-experts to perceive problem wounds as falling into 4 categories:  arterial, venous, pressure, and diabetes.  Non-experts can also easily recognize incidental other causes such as radiation or toxic chemical ulcers, because the history is obvious, but these are a minor fraction of all chronic wounds.  The 4 “classic” categories are indeed important, but there are other MAJOR categories of ulceration and chronic wounds.  Because these other categories are also large, they can hardly be considered atypical – just unaware to the naïve.

 

 

 

4

This slide shows ulcers of causes other than arterial-venous-pressure-diabetes.  They are TYPICAL, in fact paradigm ulcers of other major categories.  Left: rheumatoid and factor V Leiden.  Center: rheumatoid and probable hypercoagulable.  Right: Sjögren’s.

 

 

 

 

 

 

 

 

 

 

 

5

More TYPICAL ulcers non-arterial-venous-pressure-diabetes.  Left top: minor infection due to lack of any care after a simple injury with subdermal hematoma, in an otherwise normal person,  Left center: hypercoagulable, proteins C & S deficiency.  Left bottom: calciphylaxis and coagulopathy.  Right top: scleroderma & lupus, protein S deficiency.  Right center: acute panniculitis due to venous vasculitis (this actually is venous disease, its acute state of venous vasculitis and panniculitis that leads to the ulcers).  Right bottom: Sjögren’s.

 

 

 

6

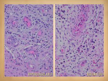
And yet some more non-arterial-venous-pressure-diabetes ulcers:  Left upper: Sjögren’s.  Center upper: pyoderma gangrenosum.  Center lower: hyperthyroidism-calciphylaxis.  Right upper: necrobiosis lipoidica.  Left lower: hypercoagulable.  Right lower: rheumatoid.

 

 

 

7

And some more again of non-arterial-venous-pressure-diabetes ulcers:  Left lower: This actually is a classic diabetic wound, the plantar malperforans ulcer.  It is included for the sake of comparison to the left upper case.  Left upper: lupus synovitis.  This lupus patient does coincidentally have diabetes, but that does not mean that any foot wound is a diabetic ulcer, no more than trying to claim that a diabetic patient ipso facto has diabetic appendicitis or diabetic vehicular trauma.  The diabetic foot and ulcer is a specific syndrome, and this foot, with inflammation along the tibialis anterior and adductor hallucis tendons is a manifestation of autoimmune synovitis  Right upper: rheumatoid synovitis.  Right center: rheumatoid synovitis.  Right lower: lupus synovitis.

 

 

 

8

This presentation is NOT a comprehensive review of all diagnostic categories of chronic wounds.  The focus is on the autoimmune and connective tissue disorders.  However, this slide is included to demonstrate that chronic ulcers are due to a variety of categorical problems and pathologies that have nothing to do with arterial-venous-pressure-diabetes.  The MECHANICAL ulcers are one of the major categories.  This is a huge important subject that cannot be fully covered here.  Simply put, the cells and tissues derived from the embryonic mesoderm sense and transduce mechanical force.  Normal loading (tangential, shear) and orthogonal loading (axial, tension-compression) all have predictable effects on wounds, connective tissues, and musculoskeletal structures.  The science behind this was first recognized by Julius Wolff, enunciated in 1870 & 1892 as his law of bone biology and bone healing.  Wolff’s Law can be generalized to two principles concerning mesenchymal tissue:  (1) tissues subjected to chronic or repetitive stress will adapt in such a way as to minimize the resulting strain;  and (2), tissues subjected to chronic or repetitive strain will adapt in such a way as to minimize the resulting stress.  This simple principle has a crucial role in normal embryonic development and in wound healing and repair, including positive effects (formation of moving parts such as tendons, joints, and serosal surfaces;  proper healing of bone, tendon, and ligament); and negative effects (e.g. joint contractures, heterotopic ossification, hypertrophic scars).  Many chronic wounds are due to these mechanical effects.  While these ulcers can be frustrating to treat, and they often require surgery, they are not genuinely pathological, i.e. not disease related.  The persistence of these wounds is often due to the embryological intent of these mechanical effects.  Shearing for instance is interpreted as the need for metaplasia to a gliding synovial surface, and it will simply turn off normal wound repair.  When open tendons and tendon sheaths do not heal, or when a large broad flap does not adhere to the structures underneath and a serosal bursa persists, the shearing is why.  Left upper: a popliteal ulcer, resolved by topical agents plus splinting to eliminate motion effects.  Left lower: a chronic venous ulcer, otherwise resolved by compression and skin grafts, with a persistent central wound due to shearing of the tibialis posterior tendon (the arrows and the blue dot on the tendon show the motion).  Center lower: polyarteritis nodosa, now under control, free of inflammation, and healing elsewhere.  This ulcer has shearing of the tibialis anterior tendon, and as expected, there are signs of a wound module in the most exposed areas, and teno-synovial metaplasia of the contact shearing surfaces.  This wound is trying to heal, but cannot close because of the mechanics of shear and the geometry and topology of the tendon bursa.   Right: rheumatoid ulceration along tendon sheaths in an advanced rheumatoid patient.  Acute synovitis and rheumatoid panniculitis have subsided, and a wound module is appearing, but as in the center-lower case, it can never close on its own without some sort of deliberate coverage (or excision of the tendon).

 

 

9

Here are two examples of common mechanical ulcers with no pathology, just adverse mechanics.  Upper: a young boy with a simple trauma laceration of the ankle which became a chronic ulcer after a period of non-specific care.  Perforation of the skin into the malleolar bursa is one of the mechanical factors affecting the problem, and perforation into the tibialis posterior tendon sheath, with gliding of the tendon is the other problem.  Conventional principles of plastic surgery dictate that a flap is needed to restore the overlying tissue, but modern strategies and technologies give us opportunities to close this without autogenous flaps.  Tissue restoration with regenerative matrices is one good approach.  Another approach is to try using wound stimulatory therapies, successful here using PDGF.  For all of these methods, especially the non-operative ones, concurrent immobilization is mandatory to control the contrary motion and mechanics that are inhibiting the wound.  Lower: an adult spina bifida patient with a chronic pseudarthrosis in the lower thoracic spine, at the site of an old fusion.  Open joints, real or false, are bursas or spaces that need surgery and immobilization.  The initial wound (left) was excised, including removal of the arthrosis enough to avoid bone-on-bone contact.  A catheter was left in this restricted space for the sake of good preparatory care prior to closure (irrigation with silver sulfadiazine, center).  When ready for closure, the void was filled with a regenerative matrix, and the skin was also reconstructed with the same matrix, in lieu of conventional flaps (Integra collagen-gag matrix).  A TLSO (thoraco-lumbo-sacral orthosis, i.e. splint) was crucial for immobilization, and the wound healed completely.

 

 

10

Preceding slides show wounds where the correct diagnosis might be overlooked.  The misdiagnosis of wounds also has a flip side – making up bogus diagnoses that ignore reality.  If a doctor misses a rheumatoid wound and calls it a venous wound, that is a reasonable and fair mistake due to an understandable lack of expert knowledge.  When a doctor attributes the wound to “spider bite”, that is ignorant in the pejorative sense – it’s just plain stupid.  “Spider bite”, usually implying envenomation by Loxosceles reclusa, the brown recluse spider, is a “romantic diagnosis”, something you heard about in medical school, never bothered to actually read about, never actually saw a case, thought it was just way too cool to forget, and so you romanticize the whole concept into something melodramatic rather than academic and clinical.  “Necrotizing arachnidism” is in fact real, and it occurs due to two species with specific geographic ranges.  The brown recluse spider has a range that covers the southeast and central United States, its western extent ending more or less at the Rio Grande.  The genus Loxosceles has over a dozen species worldwide, including 5 in Arizona.  They all envenomate, but other than L. reclusa, they do not cause serious problems.  Only the brown recluse spider, Loxosceles reclusa, in its designated geographic range causes the bad problems.  The other bad spider is the hobo spider, Tegenaria agrestis, native to Europe, and now introduced in the Americas, causing necrotizing arachnidism cases in the Pacific Northwest areas of the United States and Canada.  Another real problem are arthropod bites that cause problems not by envenomation, but by inoculation with pathogenic microorganisms.  I live in Arizona.  We occasionally see infectious ulcers due to bacteria, mycetes, and mycobacteria, vectored by an arthropod bite that was directly witnessed, but that is different than the toxic chemical necrosis of the recluse-hobo bites.  However, “spider bite” diagnoses are handed out like Halloween candy by emergency room and primary physicians for any skin problem, and they are essentially 100% bogus.  The patients of course have no idea.  They are told “spider bite” by a clueless doctor, and that is what they believe.  Remember – not knowing much about spider bites is okay if you take the time to get educated when a case and potential diagnosis presents itself.  To just tell that to a patient though, “spider bite”, having zero knowledge of the subject, betrays the professional obligations and trust of the physician to be knowledgeable and accurate and get relevant information when needed.  When a person living in an endemic area gets a recluse or hobo spider bite (and even assume for a moment that their range was unlimited), the injury generally has been observed by the patient, and the resulting lesion is recognizable as such to a knowledgeable physician.  This problem can be quite severe for those who get the real thing, but nonetheless, this is a “novelty diagnosis”, quite infrequent in the big picture of chronic wounds.  The referenced article is by Dr. Vetter, a non-physician biologist and expert on recluse spiders, who wrote an article decrying the ridiculous use of the “spider bite” diagnosis by dumb doctors.  Don’t be one of them.  This problem extends beyond spider bites, to every time you make an uninformed, uneducated, disingenuous lazy and erroneous diagnosis.  Those who profess to be expert in wounds must master the full spectrum of wound pathologies and proper diagnosis, and then educate others.  Making up bogus diagnoses born of utter ignorance simply leads to expensive bad care with bad outcomes.

 

 

11

This slide simply sums up what is being said about proper diagnosis.  Diagnoses must be accurate for care to be informed and successful.  Attributing every wound naively to “arterial-venous-pressure-diabetes”, or stupidly to “spider bite” serves no one.  Those who profess or aspire to be expert in wounds must stop putting square pegs of diverse diseases and diagnoses into the 5 round holes just named.  Make the correct diagnosis.

 

The illustration is a woodblock engraving.  It first appeared in Harper’s Monthly in 1864, as part of J. Ross Browne’s reports on the Arizona Territory (A Tour Through Arizona (Second Paper), Harper's New Monthly Magazine, Vol. 29, No. 174, November 1864, pp 689-711.)  It was republished in 1869 in his book “Adventures in the Apache Country: A Tour Through Arizona and Sonora, with Notes on the Silver Regions of Nevada”,  J. Ross Browne, 1869.  This was when Arizona was still largely terra incognito to the United States, which had acquired this area in the Gadsden Purchase of 1853, and had to suspend exploration of the area during the War of the Rebellion (the Civil War as we now know it).  You can see the article at Cornell University’s fabulous website, MOA (Making of America) at http://digital.library.cornell.edu/m/moa/.  Go to Browse, then follow the links to the above issue of Harper’s Monthly.  The text from that article quotes:

 

“. . . A few miles beyond the Maricopa Village, on a rocky hill to the right of the road, our attention was attracted by a spectacle at once startling and characteristic of the country through which we were traveling.  Looming up on the side of the hill, in bold outline against the sky, stood a rude cross upon which hung the dried body of an Apache, crucified about two years ago by the Maricopas. The legs and arms were fastened with cords, and the head hung forward, showing a few tufts of long hair still swinging bout the face. It was a strange and ghastly sight. The Maricopas do not profess the Christian faith, but this much they had learned from the missionaries who had attempted their conversion, that crucifixion was a species of torture practiced by the whites. As it was a novel mode of punishment to them, the probability is they adopted it as a warning to their enemies not to come in that neighborhood again. . . “

 

If only we could do the same to the spider bite scare mongers . . .

 

 

12

This slide editorializes further on this subject, the importance of proper knowledge and diagnosis of wounds, and on professional obligations for physicians and experts.  (1) Chronic and pathological wounds (CAP wounds) are a distinctive class of disease and clinical activity.  (2) There is a non-expert legacy misunderstanding of wounds that focuses only on trauma and a few standard categories of CAP wounds - arterial, venous, pressure, diabetes.  (3) Legitimate purveyors, professors, and practitioners of this specialty must have the professional level of knowledge required to master these diseases.  Like all specialties, this starts with an understanding of the full spectrum of relevant pathologies.  (4) What are often dismissed as "atypical wounds" are not atypical at all.  In fact, they are the core of chronic and pathological wounds, and they are far more abundant and significant than naives and non-experts perceive.

 

 

 

13

CAP wounds:  Chronic and Pathological Wounds.  This is the subject of modern wound care, not the simple trauma and surgical wounds in healthy people that will heal anyway, but rather the sick wounds that cannot heal.  CAP wounds result from 2 general problems:  (1) wounds that are caused and maintained by some sort of chronic illness or pathology;  (2) wounds, from whatever cause, that fail (fail to heal, are wound healing incompetent) due to diseases of the wound healing process.

 

 

 

14

There are many causes of CAP wounds (including the infrequent genuine spider bite).  Arterial-venous-pressure-diabetes are indeed prominent causes, but they are far from being the only major diagnostic categories.  Major diagnostic categories, concepts, and groups include:  arterial, micro-occlusive, micro-angiopathies, hemopathologies, hypercoagulable, venous, immunopathies & collagen vascular / connective tissue disorders (cvd-ctd), panniculopathies, dermatoses, diabetes, neuropathy, pressure, mechanical, metabolic, toxic & chemical, physical & energy, cancer, infectious, genetic, factitious & iatrogenic, mixed diagnoses, unknown.  These various diseases cause the wounds or else inhibit the wounds from healing.  Consider arterial disease.  It affects wound healing, but it is not a disease of wound healing.  Patients with athero-occlusive ischemia of the feet can heal wounds just fine anywhere else, and they heal their foot wounds as soon as revascularization restores blood flow.  Pressure ulcers are trauma, and such patients heal any wound other than those subject to the repetitive injury of prolonged positional ischemia.  Neuropathic wounds occur because of altered skeletal biomechanics leading to pressure without the protective sensation and mobility needed to avoid injury.  Diabetic ulcers are a multifactorial mix of arterial, pressure, neuropathic, and biomechanical factors, and if you do a thyroidectomy or fix a broken wrist, things heal properly because the risks for diabetic ulceration are not global affects on the machinery of wound healing.  Radiation ulcers are notoriously problematic, because radiation does kill the machinery of wound healing, but this is a local trauma, not a system-wide deficiency of wound healing biology.  Do you see the trend here?  All of these chronic wounds are attributable to some disease or injury extrinsic to the innate wound healing system.  It begs the question then:  What then are the intrinsic diseases of wound healing?  Given that every other cell, tissue, organ, and system in the body is subject to some greater or lesser affliction, why then do we not recognize or acknowledge those diseases of the wound healing system?  Surely they must exist.  The main purpose of this whole presentation is precisely that, to illuminate these diseases for you.  It will show why “atypical wounds” are not atypical at all, and why the typical and common diseases of wound healing are naively overlooked and pigeon-holed into the few categories that non-experts are aware of, such as arterial and venous.

 

 

15

“Necrosis” and “ulceration” are the two main words that describe the active onset and evolution of a pathological wound.  In trying to understand the intrinsic diseases of healing and the persistence of CAP wounds, the first major concept to understand is that there are two patterns and final pathways to necrosis and ulceration – the thrombo-infarctive pattern and the inflammatory-lytic pattern. 

 

(1) Thrombo-infarctive necrosis and ulceration is a consequence of primary obstruction of micro-vessels, causing ischemia and infarction.  This results from the various micro-occlusive disorders, including micro-angiopathies, formed element hematopathologies, and hypercoagulopathies and dysproteinemias.  Clinically, the pattern is one of dry gangrenous infarction, including dry eschar, cyanotic vascular stasis or else pallor, and absence of edema and gross inflammatory changes. 

 

(2) Inflammatory-lytic necrosis and ulceration is due to active inflammatory states, including primary neutrophilic inflammation, atopic-allergic inflammation, and immune-lymphocytic inflammation, all resulting from various underlying diseases including the autoimmunopathies, collagen-vascular connective tissue disorders, and lymphoreticular diseases.  Immunoglobulins, complement, and matrix proteases are abundant along with other acute inflammatory chemistry.  Clinically, these are ulcers which have overt acute inflammation, including edema and scarlet red erythema.  Rather than having dry infarcts and eschar, these ulcers simply erode, getting larger by the literal dissolution of the tissue by complement killing and protease effects.  Because of the intimate and intricate inter-dependence of inflammation and thrombosis, many ulcers will have features of both patterns, but many can be easily discriminated by simple physical exam as to which underlying pathology predominates.

 

There is a third major pattern of ulceration, trauma, which includes simple mechanical or surgical injury along with pressure, radiation, burns, toxic chemicals, etc.  What discriminates trauma as a cause of a wound is that trauma is incidental and self-limited, whereas thrombo-infarctive and inflammatory-lytic ulceration are generally persistent and long-lasting due to active ongoing disease.  As will be explained further in later slides, angiocytes and fibroblasts, the two constituent cells of the generic stroma and wound healing process, are robust, with extraordinarily few intrinsic diseases and pathologies.  They can be obliterated by trauma, by critical deprivation of blood supply, and by killers such as antibodies and targeted lymphocytes.  Aside from the trauma causes of wounds, thrombo-infarctive and inflammatory-lytic ulceration and necrosis are the two – and the only two – common pathophysiological mechanisms by which the basic stroma of the body can be killed and degenerated.

 

 

 

 

Section 1 – Reviews of essential subjects

Reviews of three basic subjects relevant to understanding CAP wounds and the intrinsic diseases of wound healing:  the hypercoagulable disorders and ulcers, the autoimmune connective tissue diseases and ulcers, and the basic anatomy and cellular biology of wound healing.

 

 

 

16

 

Section 1-A

 

This is a review of the hypercoagulable disorders and the CAP wounds that they make.  Hypercoagulability is one of the major categories of chronic and pathological ulceration.  This subject started to appear in published journals in the early to mid 1990’s, so it can hardly be considered new.  However, it is still arcane in the sense that most practitioners remain largely unaware of it.  So, to reiterate, hypercoagulable wounds are a MAJOR category of CAP wounds.  As will be shown later, these are one of the major groups of primary disorders which can then lead to secondary auto-immune wound failure.  This short introduction will cover the essentials.  Much more information on this subject can be found on the website arimedica.com, under the category “Coagulopathies”.  [The trade card illustrated is typical of the patent medicines sold in the latter 19th century.  This one has no relevance to wounds – it just looked good on the page.]

 

 

 

17

There are many diseases that cause thrombosis, and many sequelae and syndromes that result from thrombosis.  Large vessel thrombotic and embolic events are “old hat” medicine, recognized and understood by all.  Our interest is in micro-thrombosis and micro-occlusion.  However, all thrombotic disorders can be grouped by major pathophysiological mechanisms.

 

1 – Hemodynamic disorders:  Blood vessels, blood, and coagulation are all intrinsically normal.  Thrombosis occurs from blood stasis due to hemodynamic alterations related to gross cardiovascular anatomy and function (e.g. atrial fibrillation, vascular compression).

 

2 – Endovasculopathies:  Intrinsic and luminal vasculopathies in which blood vessels are abnormal.  Blood is normal, and coagulation is intrinsically normal.  Thrombosis occurs in response to blood stasis or thrombotic activation created by endoluminal and endothelial alterations in the vessels (e.g. atherosclerosis, hyperparathyroidism).

 

3 – Exovasculopathies:  Extrinsic and mural vasculopathies in which blood vessels are abnormal.  Blood is normal, and coagulation is intrinsically normal.  Unlike the endovasculopathies in which thrombosis is triggered by thrombogenic surfaces and flow turbulence or stasis, the exovasculopathies tend to be inflammatory or immune in origin, with inflammatory mediators triggering thrombosis in passing blood (e.g. venous vasculitis, the connective tissue disorders, and classic arteritides such as polyarteritis nodosa and thromboangiitis obliterans).

 

4 – Non-hypercoagulable hemopathologies:  Micro-occlusive disorders in which vessels are normal and the plasma protein coagulation system is intrinsically normal, but other elements of the blood are abnormal.  The clotting system responds “correctly” to abnormal conditions of stasis or thrombotic activation (1 - hemoglobinopathies, e.g. sickle, thalassemia, hemolytic anemias;  2 - dys- and cryoproteinemias, e.g. cryoglobulins, cryofibrinogen, macroglobulins, gammopathies & myeloma;  3 - red cell & platelet abnormalities, e.g. spherocytosis, myeloproliferative disorders, polycythemias, leukemias).

 

5 – Hypercoagulable hemopathologies:  Vessels are normal.  Blood is normal (formed elements and serum).  What is abnormal is the plasma protein clotting system.  In the above categories, the clotting system is behaving properly in response to abnormal conditions.  In the hypercoagulopathies, abnormal inappropriate thrombosis is the primary event.  Blood stasis and vascular occlusion are consequences, not causes.  The hypercoagulable disorders can be intrinsic (the “pre-thrombotic” primary disorders of the coagulation system) or extrinsic due to metabolic or auto-immune alterations.  See the following slides for specifics.

 

The hypercoagulable states can cause both large vessel thrombosis and micro-thrombosis.  “Old medicine syndromes” due to macro-thrombosis, such a coronary or cerebrovascular occlusion, femoro-popliteal embolism, pulmonary embolism, and Budd-Chiari hepatic thrombosis are overt, dramatic, and easy to recognize.  Micro-thrombosis tends to be subtle, ongoing, frustrating, and easy to overlook, misinterpret, or misdiagnosis.  One point worth remembering is the clinical syndrome of occult hypercoagulopathy.  It is a dependable tetrad or pentad of features, and if on history alone your wound patient has these things (not all of them need to be present), then they have a hypercoagulable disorder:  1 - history of thrombotic or embolic events;  2- history of miscarriages;  3 – history of wound pathergy (unexpected wound complications following trauma or surgery) or soft tissue problems including chronic ulceration;  4 – an auto-immune or connective tissue disorder;  & 5 (what makes it the pentad) – a family history of the main 4 counts equally as a positive personal history.

 

 

18

The slide lists relevant basic pathological features of the hypercoagulopathies.  These lists are not comprehensive.  The hypercoagulable disorders can be intrinsic (“pre-thrombotic”) primary disorders of the coagulation system) or extrinsic due to metabolic and auto-immune alterations.  They have important associations with other diseases and clinical syndromes.  They can cause commonly recognized large vessel thrombotic and embolic events, or poorly recognized micro-thrombotic events.

 

Common intrinsic causes are gene mutations (e.g., factor 5 Leiden, prothrombin 20210G), coagulation protein alterations (e.g., proteins C & S, anti-thrombin-3, plasminogen, fibrinogen), and various other pathologies with a tie-in to the formation and metabolism of these factors (e.g. liver disease, estrogens and pregnancy, paroxysmal nocturnal hemoglobinuria, dicoumarol-derivative complications).  The extrinsic causes include miscellaneous metabolic and pathological states (e.g. homocysteinemia and cancer-Trousseau), but they are dominated by the antiphospholipid antibody syndromes and other immune thrombogens and auto-immune states.  Virtually all of the classic connective tissue or collagen-vascular diseases have a high incidence of hypercoagulopathy, and vice versa.  The importance of the gene mutations must be emphasized.  You cannot cheat on a gene test, so when a patient has an altered gene and then a bunch of other syndromic clinical problems, it is a good bet that the genetic mutation is the root cause.  These last two points, concerning prethrombotic gene mutations and the connective tissue disorders will be discussed in much greater detail in later slides.   To emphasize how this knowledge must change traditional practices, consider venous disease.  The hemodynamics of venous reflux and hypertension have been understood for well over 200 years, yet altered hemodynamics alone do not explain the whole picture of chronic venous ulceration.  Why do these people get thrombosis and damaged valves in the first place?  Why are their wounds hard to heal?  Because many of them have factor V Leiden, prothrombin 20210G, or another of the hypercoagulable entities as the primary underlying cause.

 

Hypercoagulable states can cause large and small vessel thrombi.  The items on the list of large vessel vascular events have one thing in common – they are acute, overt, and life-and-limb threatening events.  In comparison, microthrombotic events are slow, subtle, persistent, recurring, frustrating, refractory.  They are non-obvious in origin unless you are familiar with their spectrum of disease.  So, remember the tetrad:  1 – thrombosis or embolism;  2 – miscarriage;  3 – wound pathergy (including chronic ulcers);  4 – auto-immune disorder;  (& 5 – personal or family history).

 

 

19

Like anything else in medicine, proper diagnosis of a wound or underlying disease starts with a history and physical exam, formulation of a differential diagnosis if the exact diagnosis is not yet evident, then resolution of the diagnosis by further testing.  History was covered on the preceding slide.  This slide concerns what is apt to be found on examination, both the initial physical plus subsequent observations as treatment is managed.

 

Hypercoagulable ulcers have features predominantly attributable to ischemia and arterial insufficiency.  To the extent that they might have an associated immune component, there may be inflammatory changes along with ischemic changes.  However, for prototypical coagulopathic ulceration, the pattern is one of thrombo-infarction rather than inflammation-lysis.  This means that they have no unique nor pathognomonic features, but they do have an eminently distinctive appearance.

 

Features of gross appearance include:  ischemic infarction (black desiccated eschar), periwound vascular stasis (cyanotic plethora as opposed to the scarlet hyperemia of inflammation), active ulceration (observable at the margins where skin is dying, until the cause of ischemia has been corrected), absence of edema, absence of gross inflammation, and a weak or absent wound module.  Unlike with classic arterial diseases, patients will have these signs of arterial ischemia while still having good pulses.  If a patient has a related condition, such as secondary venous disease caused by the chronic hypercoagulopathy, then exam can be mixed with signs of the multiple problems.  However, for paradigm hypercoagulable ulceration, the picture is one of localized arterial ischemia in the face of good pulses.

 

Observations over time and care, until definitive treatment is rendered, can be summed up simply as “impaired wound behavior characteristic of severe ischemia “.  Wound behavior is continuously pathological, with persistent active necrosis, pathergy, and active ulceration.  The wounds are recalcitrant, with impaired dynamics and failure to make meaningful progress until ischemic conditions are relieved.  Repetitive occult micro-thrombotic events result in rapid evolution and slow resolution of the ulcers.  If wrong therapies are attempted based on wrong diagnosis, if no precautions are taken to prevent or mitigate thrombosis and ischemia, then no results or contrary results will happen.  This is especially problematic for attempted surgery which will fail due to pathergy, necrosis, and dehiscence.

 

Left upper:  multifocal ankle infarcts in a patient with protein C and anticardiolipin abnormalities.  Note the black eschar, absence of lytic ulceration and tissue dissolution, and absence of generalized edema and panniculitis beyond the immediate zone of the skin infarcts.   Left center:  distal leg ulcers in a patient with good ankle pulses and anti-thrombin-3 deficiency.  Note dry black skin infarcts and eschar, vascular stasis and cyanosis, absence of edema, in fact with wrinkles due to desiccation, all consistent with severe micro-occlusive ischemia.  Left lower:  wound infarcts with acute black eschar, in a forearm wound, in a patient with rheumatoid and proteins C & S abnormalities.  Right:  ulceration of the ankle after biopsy of a small lesion, in a patient with protein C deficiency and positive cryoglobulins.  Note absence of generalized edema and inflammation, a caput medusa or venous “spider” consistent with prior thrombosis and valvular reflux, and the histologic findings of thrombosis and vascular necrosis.

 

 

20

Once a diagnosis of a hypercoagulable ulcer or hypercoagulable state is suspected, the diagnosis can be refined or confirmed by laboratory evaluation.  There is a caveat here though.  We only have clinical tests for perhaps a dozen or two chemical species involved in this problem, whereas the problem can involve many dozens or hundreds of items.  A positive diagnosis is not contingent on a positive laboratory test.  This is akin to the evaluation of connective tissue disorders.  Many such patients are sero-negative.  If a patient comes in with crippling wrist, hand, ankle, knee, and spine arthritis, characteristic deformities of ruptured wrist extensors, MP severe ulnar deviation, tibio-talar dislocation, painful effusions of the knee joints, severe morning stiffness, rheumatoid nodules, and characteristic erosive changes on x-ray, but their rheumatoid factor is negative, which are you going to believe?  That patient has rheumatoid arthritis.  The lab tests are not the answer.

 

The same is true for the hypercoagulopathies.  When they have it they have it.  When a laboratory test is positive, then your diagnosis and treatment are all the more certain, especially if the clinical syndromic features were not conclusive by themselves.  Knowing the specific faulty chemical can also help guide therapy depending on which class of chemical is involved (e.g. prethrombotic gene mutation versus antiphospholipid antibodies).  Sometimes the lab confirmation comes not by way of identifying the culprit, but by identifying the fallout, such as degradation products of the hyperthrombotic state or else compensatory changes in other chemicals reflecting up- or down-regulation in response to that state.  What is crucial to appreciate is that hypercoagulable ulcers are NOT diagnoses of exclusion.  These diagnoses can be made on specific criteria.  When lab tests are positive, that always helps, but history and physical exam are more important than the lab.  Remember the essentially pathognomonic tetrad which is the core of diagnosis for many of these patients:  1 – thrombosis or embolism;  2 – miscarriage;  3 – wound pathergy and ulcers;  4 – auto-immune disorder;  (& 5 – personal or family history).

 

It is worthwhile to have standard laboratory panels to order for suspect situations.  These should include tests for thrombotic species and markers of closely allied or trigger diseases:  factor V Leiden, prothrombin 20210G, antithrombin III, protein C, protein S, APC resistance, fibrinogen, D-dimer or fibrin degradation products, plasminogen, homocysteine, lupus anticoagulant, anticardiolipin, cryoglobulins, cryofibrinogen, serum protein electrophoresis, a screen for connective tissue disorders (ANA and related, rheumatoid factor).  This list is not exhaustive and is a bit dated.  Consult you own clinical lab for the tests that are available to you.

 

Other useful tests include measures of micro-vascular flow, including tcpO2, laser doppler, and multispectral surface imaging.  Vascular tests of large vessel flow, such as pvr, ppg, and doppler & duplex are apt to be normal, unless the patient coincidentally has atherosclerotic arterial disease, or not so coincidentally has lupus angiopathy of the acral extremities.  Histologic exam can be a gold mine of revelatory changes and positive diagnosis, including findings of:  microthrombi and aggregates, minimum acute inflammation, microvasculopathies, concentric laminations of media due to repetitive events, vascular fibrosis, vascular stenosis, acute vasculitis or peri-vasculitis, and chronic peri-vasculitis with lymphocytes, eosinophils, and plasma cells.

 

Center:  chronic thrombosis, vascular occlusion, and re-organization, in a patient with rheumatoid and proteins C & S abnormalities (same patient as left-lower on preceding slide).  Right:  chronic failed wounds and multiple operations, and persistent skin ulcers following achilles tendon rupture, in a patient with high fibrinogen, high anticardiolipins, and blind in one eye due to retinal artery thrombosis.  The ankle is shown left with chronic skin dysplasia and ulceration before treatment, and right with healed restored skin after diagnosis-specific treatment.

 

 

21

When hypercoagulable patients present with chronic ulcers, some of their histories can be otherwise quite benign.  The wounds and their treatment can be slow, subtle, persistent, recurring, frustrating, refractory, but a patient’s general health and well-being are not in any immediate jeopardy – or are they?  Some such patients have histories of serious prior events, such as blindness due to retinal artery occlusion, strokes, limb loss from trauma, recurrent pulmonary “emboli”, and other macro-vascular events.  All hypercoagulable patients have these potential risks.  With the appropriate trigger or generalized inflammatory or hyper-thrombotic state, even the micro-vascular events can become extensive and life-threatening.  This slide shows three patients who died from these conditions.  Left upper:  this patient had heart surgery, and a week or two after starting warfarin, he developed multiple non-embolic skin and extremity infarcts.  Peripheral arteries were normal.  Lab studies confirmed low APC resistance and probable factor V abnormality.  The events were non-survivable.  Lower:  this patient had sigmoid resection for a diverticular colo-vesical fistula.  Bowel necrosis resulted in progressive enterectomy, and with each procedure, more of the abdominal wall died.  This view shows a necrotic ileostomy and abdominal fascia infarcts.  Lab studies confirmed APC deficiency.  Histology confirmed diffuse primary micro-thrombosis (i.e. not post-mortem changes, and absence of significant inflammation pins the thrombosis as the primary event).  The events were non-survivable.  Right upper:  This patient had refractory leg ulcers with active progressive infarcts during the period of observation.  Lab evaluation confirmed primary low proteins C & S.  She died from a stroke shortly after making the diagnosis and planning treatment.  These are non-trivial diagnoses, and their management must include comprehensive and long term planning including the role of anti-coagulation.

 

 

22

To brighten the mood, let us now look at some of the many successes that accrue to proper diagnosis and treatment.  Always keep in mind the key syndromic features of hypercoagulability:

 

            1 – thrombosis or embolism

            2– miscarriage

            3 – wound pathergy and ulcers

            4 – auto-immune or connective tissue disorder

            5 – personal or family history

 

Imagine you have seen a patient with a suspicious wound and a strong history.  You try to confirm your diagnosis with support from the lab.  Next you start the patient on anticoagulants, and then you implement your plan to close the wound, be it surgery, biologics, wound pharmaceuticals, or whatever.  Problem wounds of rapid progression or eons duration now heal.  This slide shows three such stories.  Left:  a 29 year old man with long duration refractory leg ulcers.  History and profile were suggestive, and the lab confirmed high anticardiolipins – an antiphospholipid antibody syndrome – and the patient healed just by starting warfarin.  Right upper:  a 43 year old woman, otherwise healthy, but with many years of refractory leg ulcers, and a history of multiple venous thrombosis and pulmonary embolism or thrombosis.  The lab confirmed low proteins C&S and low tcpO2’s around the wounds.  She healed with warfarin therapy and skin reconstruction with a regenerative matrix.  She re-ulcerated after she stopped taking warfarin, but then rehealed after resuming anticoagulation.  Right lower:  ulceration after skin biopsy in a patient with cryoglobulins and low protein C (the same patient as “right” on slide 19).  She healed with warfarin anticoagulation and skin restoration with a regenerative matrix.

 

 

23

Summary of section 1-A

 

The hypercoagulable disorders and ulcers are a major category of chronic wounds and wound pathology.  They are under appreciated, but overly important.

 

You will not recognize them until you start to incorporate them into your differential diagnosis and start to ask the correct questions.  Once you break out of the “classic 4” mindset and start looking for these NON-atypical diagnoses, you just might be surprised how many of these wounds are out there.

 

More information on this subject is at the Arimedica website:

 

http://www.arimedica.com/content/arimedica_hypercoagulable_annotated_(pages)_2005-1027.pdf

 

http://www.arimedica.com/content/arimedica_hypercoagulable_(poster)_2006-0516.pdf

 

 

24

 

Section 1-B

 

This section is a review of immune ulcers and classic immune disorders.  This section is probably what most people might have expected in a talk advertised as “atypical wounds”.  As with the hypercoagulopathies, this subject is not new, but it is still largely unknown or under-appreciated by most practitioners.  This section will not be a comprehensive discussion of the subject, and therapeutics will not be addressed.  The focus will be on issues of anatomical pathology, pathophysiology, and clinical findings, enough to appreciate sections to follow concerning the mechanisms of immunopathic ulceration.  To reiterate though, these are a MAJOR category of CAP wounds, and one of extraordinary importance.  As will be developed in subsequent sections, these are the true diseases of wound healing.

 

[The trade card illustrated is another from the latter 19th century.  If you read its list of particulars, it should have been good for many of these diseases.  Featured is Lillie Langtry, 1853 - 1929, stage actress and celebrity superstar of her day, lest you think that celebrity endorsements and name-dropping salesmanship are something new.]

 

 

25

Illustrated are patients with wounds and ulcers in association with classic connective tissue and collagen vascular diseases.  All of these patients were sick to a greater or lesser degree.  Some have since lived and done well for years.  Some died after prolonged chronic disease activity.  Some died acutely from major flare-ups.  Some had a concomitant hypercoagulopathy.  None of them were trivial or easy to manage nor heal.  These are bad diseases, hard enough to manage under any circumstances, but harder yet when complicated by necrosis and ulcers.  Left upper:  Sjögren’s with chronic panniculitis and leg ulcers.  Left middle:  arteritis with skin ulcers and necrosis.  Left lower:  chronic lupus with multiple wound complications of trauma and surgery.  Center upper:  acute lupus with extensive skin necrosis.  Center lower:  Behçet’s with multiple vasculitis, pathergy, thrombosis, and necrosis  Right upper:  scleroderma-crest with lupus angiopathy and multiple skin infarcts and ulcers.  Right lower:  rheumatoid arthritis with a hypercoagulopathy and extensive necrosis following back surgery.

 

 

 

26

Here are more examples of immunopathic patients and ulcers.  All four patients are shown before and after treatment of the disease and then skin reconstruction.  Left upper:  lupus-rheumatoid-mixed (mctd) with ulceration due to synovitis and panniculitis.  Left lower:  rheumatoid arthritis, with prototypical rheumatoid ulceration due to synovitis.  Right upper:  another prototypical rheumatoid ulceration due to synovitis.  Right lower:  Sjögren’s with chronic panniculitis and leg ulcers.

 

 

27

The auto-immunopathies are a spectrum of disease with protean manifestations.  They can affect almost any chemical, cell, tissue, organ, or system.  Their effects can be parochial and directed against very selective targets (e.g. Hashimoto’s thyroiditis), or they can be nearly global in expression (e.g. lupus).  There are various ways to categorize the auto-immune diseases, and this slide gives several non-exhaustive lists of them:  connective tissue disorders, e.g. rheumatoid, lupus, sjögren’s, scleroderma, polymyositis, ankylosing spondylitis, behçet’s, wegener’s, sarcoidosis, familial mediterranean fever;  vasculitides, e.g. polyarteritis nodosa, giant cell, thromboangiitis;  panniculitis, e.g. weber-christian, nodular & eosinophilic fasciitis, erythema nodosum, necrobiosis lipoidica;  inflammatory dermatoses, e.g. eczema, pyoderma gangrenosum, pemphigus, bullous pemphigoid;  miscellaneous, e.g. crohn’s, ulcerative colitis, autoimmune hepatitis, multiple sclerosis. 

 

Once you learn to recognize these diseases and take a thorough history, you will appreciate that many patients with any of the nominal primary diagnoses will have a variety of crossover symptoms.  Many patients likewise cannot be readily categorized into any one of the classic named diseases, yet they have strong features of several of them.  In a certain sense, it is as though auto-immunopathy is a single disease in which, based on which auto-immunizations and auto-antibodies you get dealt, that governs the spectrum of signs, symptoms, and complications that you are apt to have.  To account for these crossover and mix-and-match profiles, patients can be assigned bread basket diagnoses:  mctd (mixed connective tissue disorder), uctd (undifferentiated connective tissue disorder), nctd (non-specific connective tissue disorder).

 

How many of these patients and diseases have wound problems?  Remember, as a wound practitioner, you will see patients primarily because of their wounds, and you WILL see all of these primary diagnoses come through your door.  Conclusions anyone? 

 

Images, from left to right:  achilles (Wegener’s granulomatosis);  leg (leukocytoclastic arteritis);  abdomen (Weber-Christian);  leg (Crohn’s);  finger (pyoderma gangrenosum).

 

 

28

To reiterate, as a wound practitioner, you will see patients primarily because of their wounds.  When you suspect an immunopathic ulcer or patient, your history and exam will be directed towards these diseases.  Do this enough times, and it becomes second nature, but until then, you need a way to think about the multitude and multiplicity of signs, symptoms, and sequelae that appertain.  Here are a few categorizations:  general and common findings, e.g. malaise, arthralgias and arthropathies, rashes, sicca, ulcers, neurological, abnormal serologies;  findings by system, e.g. musculoskeletal, renal, pulmonary, cardiac & vascular, blood & lymphoreticular, cns & eye;  distinctive and unique findings, e.g. crst, sicca, pathergy, necrotizing synovitis, necrotizing vasculitis;  findings by disease, e.g. rheumatoid, lupus, scleroderma, Sjögren’s, polymyositis;  disease associations, e.g. hypercoagulability, venous, arterial disease, neuro-psych, many misdiagnoses;  other tip-offs, common and unusual things, e.g. multiple allergies, drug hypersensitivity, photosensitivity, malar rash, tendon rupture, nasal septal perforation.

 

Left upper:  rheumatoid arthritis, with acute panniculitis and multifocal ulceration.  Note the inflammatory-lytic pattern of ulceration, skin dissolution without infarcted eschar.  Left middle:  rheumatoid, with multifocal inflammatory-lytic ulcers.  Left lower:  lupus or mixed ctd, with atrophie blanche, dermal scarring from repetitive episodes of connective inflammation.  Right upper:  lupus, with suppurative synovitis.  Right middle:  scleroderma-crst, with typical features of fingertip ulcers and necrosis, telangiectasias and sclerodactyly.  Right lower:  lupus, with atopic reaction to common dressing materials.

 

 

29

When it comes to examining the skin lesions and wounds due to these disorders, keep in mind that appearances and features will change as the injuries and ulcers evolve.  First, you will see a variety of features that occur during the early pre-ulcerative phases of these lesions, when inflammation and infarction are starting, the preludes to ulceration.  Second, you will see features characteristic of acute and early ulceration, as the acute infarctive and inflammatory lesions progress to skin destruction.  Third, you will see features of chronic and late ulceration, as the primary events wind down (or not), and the ulcers develop gross, histologic, biochemical, and behavioral features of wound chronicity.  This slide shows the pre-ulcerative changes and features.

 

Inflammatory signs:  Remember, ulceration is caused by thrombosis-infarction and inflammation-lysis, so what you will see in advance of actual necrosis and ulceration are the telltale signs of these states.  Because these diseases are immune and inflammatory in nature, signs of inflammation are usually obvious, either as dermatitis, panniculitis, cicatritis, inflammatory infiltrates in the skin, edema, the classic and extended signs of local inflammation, and systemic inflammatory signs and symptoms.  Vascular stasis signs:  Immunopathic inflammation is more apt to cause primary inflammatory signs, but as will be discussed in detail in subsequent sections, inflammation triggers thrombosis, the auto-immune disorders frequently accompany hypercoagulable states, and vessels and vasculitis are specific targets of auto-immunopathy.  This means that thrombosis, vascular infarction, and stasis are integral parts of the whole picture.  You are apt to signs of thrombosis and blood stasis, including congestion and plethora, hemorrhage and skin staining (focal ecchymosis), cyanotic erythema of these lesions (as opposed to the scarlet erythema of inflammation), skin infarcts within these zones, ischemic pain in the lesions.  Systemic signs and symptoms:  These are indicative of the primary disease flaring up, and are due to a generalized inflammatory state.  These include non-specific general symptoms such as malaise, pain, and other “flu-like” complaints, along with more focal or tissue specific items such as arthralgias and stiffness, neurolepsy, and the worsening of other disease- or person-specific symptoms.  Distribution of the pre-ulcerative lesions and other features that would figure in the assessment of any dermatosis are also important, such as whether they are single or multiple, focal or multifocal, blistered or pemphigoid, macular, papular, suppurative, eczematous, acneform, desquamative, sclerosing, etc.

 

Left upper:  Sweet’s neutrophilic dermatitis with acute immunopathic neutrophilic abscesses affecting areas of old scar and prior ulceration.  These little abscesses are the prelude to further focal skin destruction and ulceration.  Left lower:  leukocytoclastic vasculitis (2 patients) in acute phases of thrombosis, vascular stasis, and acute inflammation, i.e. the beginnings of infarction and lysis with the risk of ulceration within days.  Right upper:  lupus-crst, with sclerodactyly, telangiectasias, Raynaud’s and angiopathy, prior amputations, contractures, and eczema.  This hand obviously has high risk based on the primary disease, but the eczema is an acute inflammatory condition which will trigger the cascade to greater inflammation and ulceration.  Right lower - right:  Sjögren’s, with acute panniculitis affecting the adipose fascias, a common early phase indicator of disease flare up and potential progression to ulceration.  Right lower - left:  In this ankle close-up of a similar patient, note the ring of desquamation, a common indicator of recent acute skin inflammation, now subsided with treatment, potential ulceration averted.

 

 

30

This slide shows the features of acute and early ulcers.  Since this is the phase of active ulceration, you are witnessing the destruction as it happens, as the disease causes thrombosis-infarction or immunity-inflammation-lysis.  You are catching the culprit in the act, so you are likely to see signs specific to the particular disease, along with the generic signs of active inflammation and thrombosis, and of active infarction, tissue lysis, and ulceration.

 

Local findings:  These are the features of the necrosis and active ulceration, in the wounds themselves and in their immediate surroundings.  They may be focal or multifocal, but when multiple or multifocal, this is usually a dependable sign of autoimmune ulceration.  There may be inflammatory lysis and dissolution of tissue versus microthrombotic infarction, which can give insights as to which diagnosis or mechanism of disease predominates.  Whether the periwound is inflamed versus bland also tends to discriminate thrombo-occlusive lesions from immune-inflammatory ones.  Signs of vasculitis, synovitis, panniculitis, dermatitis, cicatritis, and even arthritis and serositis can reveal the autoimmune nature of the problem and imply which specific disease or syndrome is active.  General and systemic findings:  generalized inflammation, edema, dermatitis, panniculitis, vascular stasis, systemic and disease-specific symptoms, pain, malaise.  Remember, during these acute phases of ulceration the primary disease is active, so patients will often have a multitude of symptoms.

 

In the cases shown of early and developing wounds, note the changes in the ulcers and surrounding tissues.  They predominantly show an inflammatory-lytic pattern of ulceration as opposed to thrombo-infarctive necrosis.  Top left:  crst-mctd, dissolution of wound margins, vascular stasis and cyanosis, acute dermatitis.  Top right:  rheumatoid, multifocal ulceration, periwound inflammation, dissolution of skin without dry eschar, panniculopathy.  Bottom left:  rheumatoid, progressive dissolution of skin and fascias, no eschar, involvement of old scar, ulceration along tendon sheath and exposure of peroneus tendon.  Bottom center:  rheumatoid, multifocal ulceration, multifocal stasis and cyanosis in advance of infarcts and ulcers, generalized panniculitis and edema, active necrosis and erosion at skin margins, no eschar.  Bottom right:  Sjögren’s, loss of adipose panniculus, active necrosis and ulceration at margins, exposure of peroneus muscle (synovitis).  This last example has black necrosis and little inflammation in the periwound (no erythema nor edema), making this mainly a thrombo-infarctive pattern of ulceration, implying some type of micro-occlusive pathology.  The patient has classic Sjögren’s, but she also had a very high fibrinogen and low protein C, a good hypercoagulable explanation for the thrombo-infarctive pattern of the wound.  This is the same patient in the same position (lower right) on the previous slide.  That was her opposite leg, with acute diffuse erythema-nodosum-like panniculitis, along with generalized signs and symptoms of active inflammation, immunity, and disease flare up.  As will be shown later, this duality of pathologies – inflammatory and thrombotic – is common, and many patients will have mixed findings and features in their wounds, both inflammation-lysis and thrombosis-infarction.

 

 

31

This slide shows the features of chronic and late ulceration.  In chronic ulcers, the original cause of the disease has subsided, and what is left is just the anatomical defect.  To the extent that the disease is still active, there may be ongoing slow progression of the wound or persistence of related findings and general symptoms.  To the extent that the disease is affecting wound repair, or that the ulcer has entered a physiological and pathological state of chronicity, then healing may be retarded or absent.  When looking at the wounds during these latter chronic phases, what you will mainly see is just a generic chronic wound.  Specific common features to observe include the following.  Persistent inflammation:  If primary disease is quiet, then inflammation may subside, but most such wounds are in a state of chronic inflammation until treatment brings it under control.  Some of it is likely to be a persistent acute inflammation due to lack of care.  However, acute inflammation is a good stimulus to maintain the pathological chronic inflammation of the disease, and these wounds rarely break out of their pathological attractor until both the wound and the general disease are explicitly treated.  Progressive ulceration:  As chronic wounds, most of these ulcers persist as is, often indefinitely.  However, after prolonged periods of stability they can also get better or get worse.  Many patients describe prior ulcers which healed spontaneously, typically taking months, and healing with treatment is the goal of all of this.  To the extent that primary disease or chronic inflammation in the wound is sustained, there may be slow progressive necrosis or ulceration.    Sudden rapid progressive ulceration and enlargement is a good indicator of resurgence of the primary disease.  Retarded wound module, mixed wound module, and chaotic behavior:  The immunopathic ulcers have a duality of wound effects.  Their afferent effect on the wound is to make the ulcer.  Their efferent effect is to keep it from healing.  There are very few types of pathology that can arrest the wound module, and active auto-immunopathy is one of them.  For most patients, wound healing is mixed, both in space over the surface of the wound, and in time from one observation to another.  There may be qualitatively normal proliferation in some areas.  There may be areas of appropriate suppression of wound healing by acute inflammation.  There can be zones where the wound module is very weak or inactive due to the primary effects of the auto-immunopathy, the effects of persistent allied disease states such as hypercoagulability, and the effects of wound chronicity.  There can be intermittent areas of new ulceration due to persistent chronic disease activity.  Even when the wounds look normal at first glance, it is rare that such wounds are quantitatively normal with normal kinetics.  One of the hallmark features of wound chronicity is chaotic behavior (as explained in subsequent slides) in which the wound may wax and wane but never makes any real progress.  Pain & symptoms:  There are only a handful of generic causes of pain (mechanical, neuropathic, ischemia, cancer, etc.), and inflammation is one of them.  Because these ulcers represent an inflammatory pathology, pain is a common feature.  For those who have a concomitant thrombotic or micro-occlusive disorder, the pains are even worse.  Other symptoms of the primary disease, and secondary symptoms or disabilities related to what is ulcerated are also part of the picture of the chronic stages of auto-immune ulceration.

 

In these cases, all wounds are chronic, of long duration, and getting some basic topical wound care and treatment for their disease.  Left top:  lupus with anticardiolipin hypercoagulability, zones of granulation tissue, zones without, small active infarcts at wound edges, persistent inflammation.  Left bottom:  rheumatoid, active wound module of deeper musculoskeletal structures, but no wound healing in subcutaneous panniculus, active persistent erosions at wound margins, but periwound inflammation is controlled.  Left inner top:  rheumatoid with coincidental atherosclerosis, stable areas mixed with erosive areas, wound healing in musculoskeletal structures but none in the adipose.  Left inner bottom:  lupus-rheumatoid-mctd, stable wounds, no periwound inflammation, healing of musculoskeletal structures but not of adipose.  Center lower:   polyarteritis, failed wound module, recurrent acute necrosis.  Right inner:  lupus with anticardiolipins, failed epithelialization, stalled edges, limited contraction, weak angiogenesis/granulation.  Right top:  rheumatoid and hypercoagulable, wound module present at musculoskeletal base but not in subcutaneous fascias, no contraction nor epithelialization, small surface infarcts even absent periwound inflammation.  Right bottom:  rheumatoid, persistent unchanged wound over a few weeks of observation and care, weak expression of wound module elements, failed epithelialization and stalled edges.

 

 

32

Whether looking at the prodrome, acute, or chronic phases, many of the wound features are generic findings of any inflammation, thrombosis, or ulceration.  However, immunopathic ulcers can have some very distinctive features unlike wounds from other primary diagnoses.  Many of these reflect specific effects of the given primary disease, such as necrotizing synovitis from rheumatoid and lupus, and skin sclerosis and calcification from scleroderma.  These features include:  ulceration along tendons, due to synovitis;  inflammation, lysis, ulceration of old scars;  ulceration over small joints, due to synovitis;  inflammation, lysis, necrosis along recent incisions;  ulceration of the upper leg outside of the gaiter area, and ulceration in a variety of other areas;  skin atrophy in affected areas, due to persistent inflammation and proteolysis;  skin sclerosis in affected areas due to scarring after inflammation;  vascular changes in skin and extremity;  wound pathergy, necrosis, and ulceration after injury and surgery;  calcification and ossification in the ulcers or surrounding panniculus.

 

Left upper:  rheumatoid, ulceration over and into small joints.  Left center:  rheumatoid, ulceration along old scar.  Left lower:  scleroderma, livedo reticularis, ulceration along tendons (this ulcer is not under the metatarsal heads).  Left inner:  rheumatoid, ulceration along old scar and tendon.  Right inner upper:  rheumatoid, ulceration in unusual area along tendons (thigh, hamstrings).  Right inner lower:  lupus-mctd, atrophie blanche dermal scarring.  Right upper:  rheumatoid, wound failure of unlikely location (abdomen).  Right lower:  rheumatoid and hypercoagulable, wound failure of unlikely location (forearm), ulceration along muscle and tendon, necrosis around staples. 

 

 

33

In examining and diagnosing immunopathic ulcers, or indeed ulcers of any cause, it is crucial to observe what is not there.  For instance, absence of pulses is a crucial indicator of macro-arterial disease.  A wound patient without pulses does not necessarily have an arterial ulcer — their atherosclerosis could be coincidental to their rheumatoid or tibial abscess or open tendon or whatever they have, and proper evaluation and diagnosis are required.  However, if good pulses are present, then macro-arterial disease is ruled out.  If a suspect rheumatoid or lupus wound has good pulses, then arterial disease is NOT there.  What else is not there in immunopathic ulceration?  No arterial:  no signs of vascular disease, no claudication, no change in pulses or pressures or dopplers.  No venous:  no signs of venous disease, no dermato-liposclerosis, no hemosiderin pigment changes, no venous varicosities nor reflux, no chronic edema nor phlegmasia.  No eschar:  immunopathic ulceration is more apt to be inflammatory-lytic in nature, not thrombo-infarctive, so dry eschar is not apt to appear.  No wound

module:  as will be explained in later slides, the immunopathic disorders are the diseases of wound healing, and therefore the proliferative wound module which does the healing is apt to be flawed or even absent.  Seeing wounds in which underlying anatomical structures remain pristine visible for months, devoid of angiogenesis and fibroplasia, is not an everyday occurrence, but nor is it rare, usually occurring in severe metabolic wrecks or with the auto-immune disorders.  Age & risks:  Various ages and diseases are apt to cause certain types of wounds.  Diabetes for instance causes very characteristic syndromic wounds, such as malperforans ulcers.  It is important to observe that a patient or wound does not have those pathognomonic features of other disorders, nor that there is a discrepancy between actual findings and demographic expectations, all of which tend to rule out competing diagnoses.

 

There are of course, in examining individual patients and wounds, many exceptions to these generalities.  The net of all observations is what is most important, not just any single parameter.  In these cases, observe what is absent:  Left upper:  rheumatoid, no edema, no pigment changes, no liposclerosis, no chronic dermatitis.  Left middle:  rheumatoid, no edema, no pigment changes, no liposclerosis, no chronic dermatitis.  Left lower:  rheumatoid, no edema, no pigment changes, no liposclerosis, no chronic dermatitis, no subcutaneous fascias (exposed muscle and tendon indicative of tenosynovitis).  Center:  rheumatoid, no edema, no pigment changes, no liposclerosis, no chronic dermatitis, no subcutaneous fascias (exposed ligaments and tendons consistent with synovitis).  Right upper:  severe acute lupus, no peri-wound inflammation, no edema, no wound module (i.e. no healing).  Right middle:  ulcerative colitis and pyoderma, no generalized panniculitis or dermatitis, no involvement near ankle, no pigment changes.  Right lower:  Sjögren’s, no pigment changes, no generalized dermatitis, no generalized liposclerosis, no signs of arterial disease, no venous varicosities.

 

 

34

In examining and diagnosing any ulcer or patient, it is crucial to assess the entire person, their history, review of systems, and general exam.  Oftentimes the diagnosis will flow directly from the history or spectrum of symptoms.  It is important for wound practitioners to become versed in the signs and symptoms of all of the relevant primary diseases that underlie chronic and pathological ulcers, be it arterial , diabetes, hematological disorders, rheumatological diseases, and everything else.  The more you ask about these relevant histories, the more you run an inventory of signs and symptoms, the more automatic it becomes.

 

Patient intake must include history and examination for all facets of these diseases, but the following are key components or interesting issues that will be frequent findings in a wound practice and are often key features that establish the diagnosis on first encounter.  History & system review:  disease history, family history, treatment history, complications of trauma or surgery.  General physical exam:  common signs of immunopathy, signs of a general inflammatory state, arthropathies, sicca, neurolepsy & other neurological changes, rashes, malaise & systemic symptoms.  Disease associations:  vasculopathies, hypercoagulopathy and hematological, neurological, renal, pulmonary, miscarriage, venous disease, dermatoses, inflammatory bowel disease and other organ-specific auto-immunopathies.  Laboratory:  serologies, hypercoagulation studies, vascular assessments, wound histology.

 

New patients with these diseases often have some extremely common or else distinctive profiles on initial wound exams.  The following few examples immediately give away the auto-immunopathic cause of the ulcer, whether or not they had a prior diagnosis.  These profiles are important to recognize and hard to overlook, unless the history is sloppy, inexpert, or just ignored.  Notice that these profiles are based on general history and exam alone, not on anything about the ulcers themselves.  [1] – One very common profile is the patient with rheumatoid or whatever who has had a recent adjustment in his drugs.  This is often someone doing extremely well, enough that his chronic daily prednisone dose was lowered, typically form 10 mg to 7 mg, or from 7 mg to 5 mg.  Arthralgias, stiffness, and malaise flare up, with leg panniculitis or synovitis causing skin ulceration.  [2] – Another common profile is the patient who comes with a typical leg ulcer.  His hands have advanced rheumatoid degeneration.  He has complaints of symmetrical polyarthralgias and morning stiffness.  Are you smarter than a fifth grader?  How could anyone have missed this?  However, the patient has been explicitly told that he does not have rheumatoid, and he has been denied treatment because his rheumatoid factor and other serologies were negative.  [3] – Another profile, not so common but of immediate importance, is the patient who comes in for a leg ulcer or whatever wound.  Examination is hampered by a state of neurolepsy, being apathetic, disoriented or disengaged, psychomotor retarded, and just not “being there” or “out of it”.  The patient might also have some history of “seizures” or “MS” or other central neuropathy refractory to treatment.  He is plethoric, has malar rashes, and signs of arthritis, synovitis, panniculitis, or sicca.  This patient has lupus (or Sjögren’s or rheumatoid or Behçet’s or mixed-ctd or whatever), and he needs steroids and other treatment right now. 

 

It is most important to realize that the wound practitioner is frequently going to be the first to make the diagnosis of the underlying problem, or to correct a misdiagnosis that the patient has been given.  If a rheumatoid patient goes to an orthopedic surgeon’s office for an arthritis problem, odds are the patient already has an established diagnosis, and if not, the orthopedist is likely to recognize it.  If a patient with lupus nephritis is referred to a nephrologist for renal failure, odds are the diagnosis is already known, or else the nephrologist will make it.  For wounds, patients are referred to somebody because there is a hole in the skin that is freaking somebody out.  Patients rarely come with any insight as to the diagnosis.  Even if they have well established diagnoses of rheumatoid, polymyositis, or whatever, their other doctors have rarely drawn the connection to the wound.  Sadly, when these patients show up to many self-designated “wound specialists” who really are not, the ulcers and the overt history of rheumatoid are never connected.  However, there are also many patients with wounds due to autoimmune and connective tissue disorders where the primary diagnosis has never been made.  Sometimes the patients have subtle signs and symptoms of the disease.  Sometimes they have gotten so used to chronic symptoms of malaise and arthralgias that they hardly recognize that they are systemically ill.  Sometimes new patients are seriously sick with underlying disease out of control.  The patients may know that they feel lousy, but they often have no other clue that there is a systemic problem, even in the face of serious symptoms.  To get the wounds better, the disease has to be diagnosed and treated, and that means you!

 

Left upper:  lupus-mctd, symptoms of neurolepsy, arthralgias, stiffness, sicca, malaise.  Left lower:  rheumatoid, typical hand changes, typical histologic changes of chronic vasculitis.  Right upper & lower:  two patients with rheumatoid and hypercoagulable states, demonstrating the types of serious trauma and surgery complications that can happen with these diseases.

 

 

35

Finally, the intake history for people with immunopathic wounds must include a treatment history.  Even if the patient is not understanding of their own history and disease, their medication list may betray that they are already being treated for connective tissue disorders.  Treatment history may reveal that disease flared up and ulcers appeared when certain therapies were started, stopped, or adjusted.  Failed and favorable responses to prior therapies are valuable in confirming diagnosis and planning further treatment.  The responses to treatment may be considered as follows.  Correct responses:  steroids, anti-immune, or anti-inflammatory drugs were given to treat disease;  the patient or wound had a positive response to such drugs.  No responses:  failed or ineffective therapies for the wound or disease;  multiple failed therapies with different agents or at different times;  wound surgery failures such as skin grafts which did not take.  Adverse responses:  disease or wound flare-ups due to treatment, such lowering steroid doses;  wound pathergy and wound complications of surgery;  atopic dermatitis or atopic vasculitis or other allergic responses to treatments (common in many auto-immune patients who have multiple drug allergies).  Contrary responses:  inflammation, wound infarction, and progressive ulceration from treatments meant to improve the wound.  Contrary wound responses can occur with cytokines (e.g. pdgf, anti-tnf-α), living cell therapies (engineered living skin equivalents), and immune competent chemicals (e.g. monoclonal antibodies).

 

Left upper:  rheumatoid, 52 failed skin grafts (yes, he counted them).  Left lower:  lupus-mctd, resurgent ulceration after pdgf therapy.  Left inner:  rheumatoid, healing induced after systemic steroids and anti-rheumatoid drugs (plus typical topical wound care).  Right upper:  rheumatoid and hypercoagulable, inflammation arrested by steroids and warfarin, but wound healing not induced.  Right lower:  Crohn’s disease of skin, ulcers healed after intralesional steroids, new lesions prevented from ulcerating by prompt steroid injection.

 

 

36

Summary of section 1-B

 

The “rheumatoid” and immunopathic ulcers are a major category of

chronic wounds and wound pathology, under appreciated, but overly important.

 

They are common, generally easy to recognize and diagnose, but only if you are aware of them and conduct the proper patient interview.  The wound practitioner will often be the first one to make the diagnosis of a systemic connective tissue disorder.  Successful treatment of the ulcers is contingent on proper diagnosis and treatment of the primary disease.

 

 

37

 

Section 1-C

 

Section 1-B explained immunopathic wounds with the implication that the classic connective tissue or rheumatological diseases are behind all of this. However, auto-immunopathy comes in a variety of flavors, and practitioners from different specialties will have a different taste of the problem.  This section will explain the generalities and commonalities of these conditions.

 

 

38

Rheumatology practice will see the auto-immunopathies from the point of view of the collagen vascular diseases and connective tissue disorders.  This is a diverse point of view, but there are other auto-immune diseases that may not be so likely to show up in a rheumatologist’s office, such as inflammatory bowel disease, auto-immune thyroiditis, pemphigus, and multiple sclerosis.  They will all show up in a wound practice.

 

 

39

The immune mediated dermatoses and panniculopathies are a large category of illness, must likely to be seen by a dermatologist . . . and in a wound practice. 

 

Dermatoses are common and are the face value stuff of dermatology and dermatology textbooks.  Many skin problems will show up in a wound practice, and having some familiarity with dermatology is important.  There are a few generic categories of dermatological disease that you will see commonly, such as the eczemas, pemphigoid, atopic, and other inflammatory dermatoses.

 

Panniculitis and the panniculopathies are crucial to  understand.  The “panniculus” refers to the subcutaneous adipose fascias.  There are two subcutaneous layers, Camper’s and Scarpa’s fascias, plus areas or layers of areolar adipose scattered throughout the body.  These fascias are just generic stroma of fibroblasts and angiocytes playing host to adipocytes.

 

The adipose panniculus is the prime target of a lot of autoimmune attack.  Many of the leg ulcers you see start as inflammation in the panniculus, and ulceration occurs as the overlying skin dies due to thrombosis of its supply vessels underneath, or due to lysis from contiguous inflammation.  While auto-immunopathy can result in primary dermatitis, primary synovitis, primary fasciitis and ligamentitis, and just about primary anything else, it is important to realize the crucial role that the adipose fascias have in being the prime target and wellspring of many of the skin ulcers that occur with immune and inflammatory diseases.

 

As for so many of the dermatoses and related conditions, there is a gargantuan nomenclature of the inflammatory dermatoses and likewise for the panniculopathies.  If you read a dermatology textbook on the subject, the list of names and diagnoses will take many columns.  However, it is easy to see that many are duplicates, or “blind-men-and-the-elephant” differing perspectives on the same thing, or descriptive names based on physical features rather than pathology (cf. “atrophie blanche” for dermal scarring), or old names from bygone eras when the relevant physiology or pathology was not understood.  Some of the more common or relevant disorders will be listed on slide 41.  Regardless of all of the descriptive names and legacy nomenclature, we are talking about a central pathology in which immune, allergic, and inflammatory events are turned on against the host and are causing damage and then impairing the ability of the body to repair that damage.

 

Left:  simple postural stasis leading to secondary panniculitis and an eczematous dermatitis,  Center:  pyoderma gangrenosum in a patient with subtle lupus-like symptoms.  Right:  necrotizing panniculitis of the thighs in a patient with undifferentiated or mixed connective tissue disease.

 

The subject of postural stasis needs some comment, since this is one of the most common and commonly misunderstood and misdiagnosed entities that a wound practice has to deal with.  This occurs due to the accumulation of dependent edema.  It is common in people who sit and do nothing all day with their legs down (typically obese sedentary older people), in people with heart or lung disease who must sit up at all times and sleep that way, and in the dependent part of the obese overhanging panniculus of abdomen and thigh.  Edema and fluid stasis leads to leukocyte stasis which then triggers acute inflammation.  Panniculitis is the primary event, with secondary eczema of the skin.  These people simply need good compression or other edema control, very short term anti-inflammatory therapy, and non-specific wound and skin care.  (This care is extraordinarily simple in principle, and 100% effective, but admittedly hard to implement or maintain in many of these people.)  These are the patients who are often mislabeled as “cellulitis” (an essentially meaningless term to begin with) and treated with antibiotics and other irrelevant things while never getting any of the correct care, turning a simple benign easy-to-fix problem into chaos and complications.

 

 

40

Here are examples of inflammatory dermatoses and panniculopathies causing skin ulcers.  Expect to see any and all of this in a wound practice.

 

Left upper:  pyoderma gangrenosum in an otherwise healthy young woman (primary inflammation at dermal-hypodermal boundary).  Left middle:  pyoderma gangrenosum in a patient with ulcerative colitis (primary inflammation at dermal-hypodermal boundary).  Left lower:  Crohn’s disease, primary lesion in the skin (primary inflammation at dermal-hypodermal boundary).  Center upper:  necrobiosis lipoidica in an otherwise healthy woman (primary inflammation in the subcutaneous panniculus).  Center lower:  postural stasis (primary inflammation in the panniculus with secondary dermatitis).  Right upper:  simple eczema and atopic dermatitis (primary dermatitis).  Right lower:  bullous pemphigoid or eosinophilic dermatitis (primary dermatitis).

 

 

41

Dermatology is a vast subject, and only a small part of it involves wound related issues.  Likewise, wounds are a vast subject, and not all wounds involve the skin, and only a portion are due to primary dermatoses and panniculopathies.  Yet dermatology and wound practice have a very important area of overlap.  These are the ulcerative dermatoses and panniculopathies, and they are almost exclusively of immune-allergic-inflammatory origin.

 

There are many ways to mix, match, and rearrange them in a table of nomenclatures,  A few major categorizations are given below.  What is common to all is that they represent a state of auto-sensitization or auto-immunization.  They affect all ages.  They have a spectrum of extent and severity.  They may or may not be associated with some other major syndromic disorder (e.g. lupus or inflammatory bowel disease).  They are all responsive to anti-inflammatory, anti-allergic, or anti-immune therapies, and their steroid responsiveness is the cornerstone of acute and chronic treatment.

 

This list is far from complete – it is just a sampling of common diagnoses that will be seen regularly in a wound practice, all within the realm of the ulcerative and inflammatory dermatoses and panniculopathies.  Dermatoses:  eczema, pyoderma, pemphigus, pemphigoid, Sweet’s (neutrophilic dermatosis).  Panniculopathies:  Weber-Christian (and other lobular panniculopathies), erythema nodosum (and other septal panniculopathies), lipomembraneous panniculitis, necrobiosis lipoidica, nodular fasciitis, eosinophilic fasciitis.  Collagen-vascular and connective tissue disorders:  lupus-rheumatoid-Sjögren’s, poly-dermatomyositis, scleroderma-crst, Behçet’s, inflammatory bowel disease.  Vasculitis:  leukocytoclastic, polyarteritis nodosa, venous vasculitis.  Miscellaneous:  uncategorized, drug eruptions, contact eruptions, intertriginous dermatitis.

 

 

42

The rheumatologists see one aspect of autoimmune disorders.  Dermatologists see another.  In fact, doctors from almost any specialty are going to see their own facet of autoimmune and inflammatory diseases.  The following is a list of confirmed or putative auto-immune disorders.  If you were a primary physician making referrals, they would go to many different specialties (e.g. rheumatology, dermatology, allergy & immunology, hematology

gastroenterology, neurology, nephrology, endocrinology, cardiology, pulmonary).  As a wound practitioner, you are in the one specialty that will see them all.

 

Here is a sampling of these disorders, constrained by what would fit on the slide, in no particular order:  classic connective tissue disorders, synovitis & arthropathies, dermatoses & panniculopathies,

inflammatory bowel disease, bowel associated dermatosis-arthritis syndrome (badas), autoimmune hepatitis & cholangitis, autoimmune thyroiditis, autoimmune aspects of diabetes, rheumatic carditis and rheumatic fever, autoimmune neuropathies, autoimmune myopathies, myasthenia gravis, multiple sclerosis, sarcoidosis, granulomatous disorders, autoimmune arteritides, venous vasculitis, autoimmune sialoadenitis, autoimmune nephritis, polyserositis, mixed connective tissue disorders (mctd-nctd-uctd).

 

Keep in mind that many of these patients and disorders will have a mix-and-match set of signs and symptoms, and these crossover profiles have necessitated the use of generic terms like mixed and undifferentiated connective tissue disorder.  The more thorough you are in taking a history and inventory of symptoms, the more you will find.  In a sense, it is as though auto-immunopathy is just as single generic disease, presenting different profiles, symptoms, and sequelae based on which specific antibodies appear and which specific cells or tissues get targeted.

 

 

43

Summary of section 1-C

 

The autoimmune disorders are a broad class of disease that will be seen, in one form or another, by physicians from almost all specialties.  Autoimmune disorders are often manifest in a variety of common and distinctive syndromic patterns, and they are thus classified by an accepted nosological nomenclature (e.g. major names like lupus or rheumatoid or eczema).  However, these nomenclatures are artifice and an alias for the real pathologies that underlie a state of auto-sensitization or auto-immunization..

 

They all tend to have a variety of crossover features or symptoms, and in a sense they are conceptually all a single disease.  All carry some risk of wound problems, and all such diagnoses will be seen in a busy wound practice.

 

 

44

 

Section 1-D

 

The main goal of this presentation is to discuss the auto-immune connective tissue disorders as the true intrinsic diseases of wound healing.  To do so though, some prefatory topics need to be reviewed.  In the past few sections, we have discussed the generalities of chronic and pathological wounds, the subject of hypercoagulability and hematological ulcers, and the subject of the auto-immune disorders.  The focus so far has been on basic clinical knowledge, and we have not yet drawn the connections of how these diseases cause ulcers and disrupt wound healing.  Before doing so, one last prefatory subject must be reviewed – normal wound healing and the wound module.

 

 

45

In the photographs, a normal healthy wound goes through the natural process of healing until it is closed, i.e. epithelialized.  Histologically, all of the reparative events taking place in the wound have a well organized and recognizable anatomy, and each of the features seen microscopically correlates with something that is happening or can be observed grossly.  What is that anatomy and organization?  What is the sequence, and how do we recognize these events?

 

The basic biology of wound healing can be epitomized in one concept, the Wound Module of post-inflammatory proliferative repair.  This term was coined by Dr. Thomas K. Hunt, San Francisco surgeon-scientist and pre-eminent wound researcher of the latter 20th century.  It is the core anatomy and physiology of wound healing, the same as bronchi and alveoli to the lung doctor, the same as the myocardium and valves to the heart doctor.  What you observe on physical examination of the wound correlates with some distinctive event or element in the cellular physiology of wound healing.  It is the orderly appearance, interaction, and assembly of these elements that constitutes the wound module.  While the whole process has bazillions of individual chemicals and interactions (the stuff of everyday laboratory wound research across the globe), the process is conceptually quite streamlined and easy to abstract.  In this short discussion, the process will be reduced to 7 key items, 7 physiological events with 7 clinically observable correlates, the quintessential “seven clinical signs of wound healing”.

 

0 – Injury and inflammation:  Wound healing is a reserve physiology, the wound module an ad hoc organ.  They appear when injury disrupts the integrity of the body.  The body’s response to any injury is inflammation.  Inflammation is the protective and destructive response that defends the body during injury, then cleans up the debris, then initiates the healing process.  Without an initial injury and then inflammation, wound healing is not there.  However, the process is a bit complex, because while inflammation triggers the healing process, it also suppresses healing.  This is a way to ensure that resources are not wasted, delaying repair and not permitting it to run fully until the field is sufficiently stabilized and cleaned up.  Recrudescence of injury and acute neutrophilic inflammation will put wound healing down again.  Injury and inflammation are the predicates to healing.  They get the process going, but only as they themselves are leaving.  If significant inflammation is present, grossly or histologically, the wound remains in acute phases, and healing does not appear. 

 

1 – Inflammation subsides:  The first sign of wound healing is that inflammation subsides.  As an inhibitor of the wound module, high levels of inflammation must wane before the wound module will accelerate.  Clinically, there will be subsidence of erythema, edema, warmth and hyperemia, pain and tenderness, drainage, necrosis, and other markers of injury and acute response.  If this does not happen, the wound module will not progress.  If these changes do subside, that is the harbinger of proliferative repair events.

 

2 – Macrophages, eschar separation, and cytokines:  Macrophages arrive in the wound as blood borne monocytes.  Inflammatory mediators such as pdgf transform these cells into the macrophage.  As acute inflammation and other leukocytes clear out of the wound, these cells remain to do the keystone job in the integrated inflammation-repair process.  Macrophages actually have two major roles in the wound.  Their afferent task is as phagocytic cells to remove debris.  Whatever is dead or damaged and needs to be cleared, they do it.  (An ancillary role in this regard is to present antigen to lymphocytes as part of immune recognition and defense against xeno-pathogens, stuff that they find as they mop up.  This function is tangential or irrelevant to the wound module and normal wound healing per se.  However, in chronic pathological wounds, this becomes the basis of the auto-immunization which perpetuates wound chronicity, which will be discussed at length in later sections.)  Clinically, the afferent function of the macrophage is recognized by eschar separation – dead stuff is cleaved from the living stuff, and the dead stuff bit by bit falls off and disappears.  Their efferent task is to initiate the repair process.  The local repair cells need something to flip the switch to “on”, and it is the transformative and stimulatory cytokines and growth factors made by the macrophages which do this.  They include bfgf, pdgf, vegf, igf, and others, all of which act to stimulate local vascular and fibrous cells.  Clinically, the efferent effect of macrophage wound stimulation is recognized because all of the subsequent items on this list begin to appear.

 

3 – Ground substance and mucus:  The purpose of wound healing and the wound module is to reconstitute a basic stroma that holds the body together and provides a foundation for epithelial growth.  Native stroma and repaired stroma have collagen and other connective proteins as the structural matrix.  However, early cells in the wound need a place to live and do their thing as they make the new connective matrix.  Architects and builders must create some form of staging on which construction workers can stand, so that they can lay the bricks and mortar, the stones and steel of some new building.  Plasma proteins constitute the topmost layer of the wound, where acute inflammatory cells do their work.  Below that is a zone of glycosaminoglycans (gag’s), ground substance, where the early repair cells, angiocytes and fibroblasts, can live and do their job.  The aminoglycan layer is the construction staging.  The gag’s are created by inflammatory and arriving mesenchymal cells.  One of the earliest signs that the wound is entering the proliferative phase, clinically it is recognized by mucus and light reflex on the wound.

 

4 – “Granulation tissue” and angiogenesis:  This is the most obvious positive wound finding to naïve observers, the red pebbly carpet of new blood vessels that appears, eventually covering the entire surface in any wound that is properly healing.  This tissue is new blood vessels forming in the aminoglycan matrix.  The angiocytes that make the new vessels are being attracted from old vessels below by angiogenic cytokines made by macrophages above.  Vascular density is much higher than in normal tissues, hence why it is so red.  Once these new vessels are established, they create the favorable environment in which fibroplasia can then occur.

 

5 – Histioblasts, fibroblasts, and fibroplasia:  Once angiocytes have formed vessels within the aminoglycan layer, there is now an environment hospitable to other cells.  The other cell which has a restorative function is the histioblast-fibroblast.  In this presentation, “histioblasts” will refer to the earlier incarnation of these cells, the uncommitted pluripotent stem or reserve cell line that will spawn new fibroblasts when needed.  The “fibroblast” is the more mature version, making and embedding itself into the new connective protein matrix.  The matrix starts as amorphous fibrillar collagen, and as it becomes denser and more mature, it becomes more fibrous with its characteristic mechanical properties.  Clinically, thus us observed as stiffness in the wound, less mechanical compliance.

 

6 – Myofibroblasts and contraction:  Wound closure ultimately is defined by the restoration of an epithelial boundary which sequesters the mesenchyme from the ambient world.  However, to lighten the load on the epithelium, nature has another trick, wound contraction, which reduces the size of the wound.  To do this, some fibroblasts develop muscle proteins and become contractile.  The function of these myofibroblasts is to ratchet the wound together: tug with the muscle proteins, then cement with the connective proteins, then tug with the muscle proteins, then cement with the connective proteins . . .  Clinically, this is recognized by in-curling of the wound edges, smoothing of the wound contours, and progressive reduction in wound width and size.

 

7 – Epithelialization:  Epithelialization that separates insides from outsides is the final step.  For epithelium to grow across the wound, all other components of the wound module must be in place.  Epithelium will only start to grow where “granulation tissue” is in contact with the wound edges.  Once the process starts, thin new epidermis (or any epithelium) outgrows across the surface until the whole thing has been “painted”, a process very easy to observe clinically.

 

8 – Maturation:  The seven events and clinical signs of wound healing and the wound module have now been witnessed:  inflammation subsides  >>  macrophages & eschar separation  >>  ground substance & mucus  >>  angiogenesis & granulation tissue  >>  fibroblasts & fibroplasia  >>  myofibroblasts & contraction  >>  epithelialization.  The wound is now nominally closed.  However, wound healing is not over.  The newly restored stroma is excessively dense with new connective proteins and vessels, and the mechanics of the tissue and functions of the epithelium are far from mature.  Over a period of months or years, the new scar will be reworked and remodeled back to something akin to natural dermis or fascia.  Those slow changes also have their clinical observations, mainly improved color and compliance.

 

This slide presented the general functions of the wound module and what you will see clinically that correlates with these events.  The next seven slides will focus on wound anatomy, what you will see under the microscope, which likewise directly correlates with wound module events and the 7 clinical signs of active wound healing.  These following slides are an abbreviated version of a larger presentation on normal wound healing.  You can read more and get the thorough story on the Arimedica website:

http://www.arimedica.com/content/integra%20histogenesis_gottlieb-me_v2003.htm

http://www.arimedica.com/content/arimedica_integra%20histogenesis_gottlieb-me_v2003.pdf

 

 

46

The wound module has several distinct generic events or dynamics, and these have clinical signs and correlations.  Wound anatomy, which must be observed histologically, also has its own distinctive features, and these too correlate nicely with the physiologic and clinical features of the wound module.  This slide looks at that wound anatomy.  Just like the dynamical wound module has certain well defined events, wound anatomy has certain well-defined strata.  On the left of this slide is a completely healthy wound which is healing properly, seen here with basic hematoxylin and eosin stain.  It is sliced into 6 strata.

 

Zone 1Inflammatory or plasma protein layer:  This is constituted of plasma proteins, leaked from vessels underneath, serving as the substance and environment in which acute leukocytic inflammatory cells muster to defend the host.  This zone varies with the degree to which topical care and hygiene have controlled desiccation, injury, bioburden, etc.  With scrupulously good care it can become rather negligible (and the opposite with no care).  There is also platelet aggregation here, and this is the zone in which platelet-derived and other transformative cytokines convert blood-borne monocytes into tissue macrophages.

 

Zone 2GAG and angio-attraction layer:  This is the upper part of the aminoglycan layer, at the boundary of the topmost plasma protein layer.  Cell density is relatively sparse, and there are no connective proteins here whatsoever.  There are still neutrophils here (acute inflammation), but not nearly in the numbers as above.  There are three distinctive key elements at this level.  (1) The “space” is all glycosaminoglycans, made by inflammatory and stromal cells, serving as the “ether” in which the other cells operate until they can make an actual fibrous matrix.  (2) Large mononuclear cells can be found here, monocytes and macrophages, making the proliferative cytokines which induce the local repair cells.  (3) “Planktonic” or migratory angiocytes, generally individualized and spindle shaped as they stream from established vessels below toward the source of chemotactic stimulation above.  They can also be seen starting to reorganize, becoming ovoid again as they start to reassemble with others of their kind.

 

Zone 3GAG and angio-organization layer:  This is the deeper part of the aminoglycan layer.  Neutrophils can still be found here, but mostly in scant numbers, representing inflammatory chemoattraction and migration rather than any type of injury or assault.  Connective proteins are still missing.  The distinctive feature of this level are the angiogenic cords, reflecting angio-organization and the reformation of tubular blood vessels.  The angioid cells and their cohesion are still a bit loose and immature, the cells still big and unsettled, but they have found their positions, conducting channels are open, and erythrocytes are present in the lumens.  The new vessels have a distinctive look of long radial or vertical cords traversing the gag layer.  This establishes the environment in which other cells can appear and do their functions.

 

Zone 4 – GAG-connective histio-attraction layer:  This is the layer where collagen and matrigenesis begin.  Aminoglycans are still present, but they are being displaced by young fibrillar collagen.  Neutrophils are completely absent. Vessels are better organized, some mature, and some are of greater diameter, indicating that they are now supplying a downstream angiosome of vessels organizing in the upper layers.  There are two distinctive key elements at this level.  (1) Histioblasts have been stimulated into activity from mature vessels underneath, and therefore young fibroblasts have appeared and are proliferating.  They appear like small round uniform cells scattered between the nurturing angiogenic cords and young vessels.  They are migratory, and they have little or no organization, yet to be trapped in the collagen they are making . . . (2) but they are making collagen.  The young collagen is amorphous, relatively pasty or homogeneous, and presumably still fibrillar.

 

Zone 5 – Amorphous collagen layer:  In this layer, collagen is getting denser.  There are no neutrophils.  Vessels are mature, some of greater diameter and mural thickness reflecting a mature hemo-conducting network.  Fibroblasts have become very numerous and dense.  They are no longer migratory, and some are becoming trapped, but they are still more young and round rather than mature and flattened.  Young collagen fills most of the space, the aminoglycans having been almost completely displaced.  The collagen matrix is starting to look more fibrous, but it is still immature.  This can be considered young scar, but the overall architecture is still more wound than scar.

 

Zone 6 – Fibrous collagen layer:  Collagen has become not only dense, but highly fibrous and well organized into lamellae or sheaf-like bundles.  Fibroblasts are mature, trapped and flattened, settling in for a lifetime of collagen turnover and remodeling.  Arteries, veins, and lymphatics can all be discriminated.  This layer can be considered real scar, and the end of the mesenchymal component of wound healing. 

 

All of this has taken place within a depth of 1 – 2 mm (the depth will vary, greater or lesser, with location and the circumstances of each wound).  Now, look at the two vertical images on the right.  These are also prototypical healthy wounds properly healing.

 

[1]  The light blue stain is Alcian blue.  H&E histology allows the location of the glycosaminoglycans to be inferred, but it does not directly stain the gag’s.  Alcian blue is the opposite, staining only the tissue gag’s (it stains the carboxylated and sulfated aminoglycans of the “ground substance” such as chondroitin, hyaluronan, dermatan).  The dense blue stain is present in the sub-inflammatory angio-attraction and angio-organization layers, the zones of angiocyte streaming and vascular reassembly.  This beautifully reveals the vertical architecture of the angiogenic cords and young vessels.  The plasma protein layer above and the collagen layers below do not stain, and cell populations and densities can be easily discerned by the red counter stain.

 

[2]  The H&E stain on the right is of a wound that has been well cared for, regular daily bathing and dressings with silver sulfadiazine.  It is devoid of inflammatory cells – almost zero neutrophils.  That is why proper wound care is so important.  If environmental injury and challenges can be subdued, then nothing but pure wound healing is happening.  Look at what is present.  The plasma protein layer is there.  Even without inflammation, this layer exists by default, a consequence of leaky vessels underneath where angiocytes are reorganizing – this is normal.  It is easy to observe the pink plasma, coming from the dis- or loosely organized vessels, intermixing with the pale purple aminoglycans at the boundary of these layers.  Note that there are cells in the upper plasma layer, all large and migratory, all mononuclear cells, macrophages, and possibly arriving angioid cells.  Below that are the other layers, angio-attraction and angio-organization, shown down to the boundary with the histio-attraction layer where fibroblasts and faint collagen are just appearing.

 

 

47

 

0  -  injury, inflammation

1  -  inflammation, subsides

2  -  macrophages, eschar separation, cytokines

3  -  ground substance, mucus

 

The seven events (and corresponding clinical signs) of the wound module will be looked at more closely in these next few slides.  The first three events – subsidence of inflammation, macrophages, and ground substance – will be ganged together as the preparatory or pre-matrix phase, when things are cleaned up and readied for the formation of new stroma.  Macrophages, derived from blood borne monocytes, initiate the repair process by making cytokines which stimulate the local repair cells.  Two cell lines must be triggered, angiogenic cells and fibroblasts.

 

Left:  This view shows the upper inflammatory and plasma protein layer, and the subjacent gag and angio-attraction layer.  There are typical plasma exudates at the top hosting acute inflammatory cells and large mononuclear cells.  In the subjacent gag layer, neutrophils are sparse, but streaming angiocytes are abundant,  Reorganized vessels are deeper, just appearing near the bottom.  Right:  A close up view near the top of the wound.  There are mononuclear cells (monocyte-macrophage) and angioid cells.  The organized cluster of cells is an angiogenic cord, reassembling a vessel from individual angiocytes.  These angiocytes have zoomed up from vessels below, aiming directly at the source of chemotactic stimulation, the angiogenic cytokines made by the macrophages.  There is no normal fibrous stroma to give structure to all of this (that is the job of these cells, to remake the stroma), so a medium is needed for these cells to work in, and that is the aminoglycan ground substance.

 

 

48

 

4  -  “granulation”, angiogenesis

 

“Granulation tissue” is the one sign of a healing wound that the average physician can recognize or label.  It is recognizable because of its pink color, due to blood in proliferative new vessels.  The vessels form from angiocytes derived from other angiocytes or angiopericytes in vessels deeper down.  This proliferation and reassembly of blood vessels establishes the crucial supply network that then permits histioblasts-fibroblasts to flourish and make connective proteins.

 

Right:  Streaming angioblasts are highly organized, forming vessels reaching nearly to the plasma protein inflammatory layer.  The vessels here all show a directional orientation, reaching through the aminoglycan layer toward the macrophages that are stimulating them, coming originally from old established vessels at the base of the wound (and later on from newer more superficial vessels established more recently in the life of the wound).  Pink staining erythrocytes amongst these cords attest that these vessels are still immature and quite leaky.  In the lower third of the image, the vessels are getting thicker and more mature, but the angiocytes are still large and “unwound”, not yet tightly assembled into a solid luminal cylinders.  In the bottom right corner is a perfectly mature tight-junctioned vessel made of flattened angiocytes.  Left:  An example of granulation tissue that is densely packed with vessels.  This specimen was harvested from within a hollow wound chamber implanted explicitly for the sake of raising a crop of wound activated cells.  At two weeks after chamber implantation, this tissue has almost exclusively angiocytes and erythrocytes, with no inflammatory cells and only a few young fibroblasts or histioblasts.  Fibroblasts and fibroplasia will follow, but without the vessels there first, nothing else can grow and be productive.

 

 

49

 

5  -  histioblasts, fibroblasts, fibroplasia

 

Angiocytes make vessels and establish an environment in which other cells can proliferate.  After that, many new cells appear which will mature into the fibroblasts and myofibroblasts which deposit proteins to make the connective matrix and then contract the wound.  As with angiocytes, these cells are sourced from vascular pericytes or other pluripotent angioid cells in the vascular loci below.  Clinically, fibroplasia is generally evidenced by changes in wound mechanics, compliance and stiffness,

 

Left photo:  Fibroplasia can be seen visually as the final skin scar, but it is usually not visible in open wounds, since the fibroblastic layers are deep to the granulation tissue and other superficial layers.  However, in this photo (an abdominal wound after trauma), angiogenic granulation tissue is very thin, allowing the deeper layer of fibrosis to be seen.  Left histo:  At the top is the macrophage transformation zone, and below this the angiocyte streaming zone.  Just above the middle are some organized vessels, and between them are small cells with round nuclei.  These cells are the young fibroblasts, becoming denser and more numerous going toward the bottom.  Layers and events deeper to this are shown in the three images on the right.

 

Right upper:  This image corresponds to the bottom of the long image on the left.  The fibroblasts are interspersed among organized vessels.  They are numerous and small, but they are starting to elongate into the spindle shape of the more familiar mature fibrocyte.  While the matrix is still largely aminoglycans (non-staining areas and pale purple reticulum), thin strands of eosinophilic young collagen are starting to appear.

Right middle:  This view is a bit deeper.  There are vessels at bottom and upper right, and between them histioblasts and young spindled fibroblasts are quite dense.  More of the space is occupied by pale pink collagen.

Right lower:  This is deeper yet.  Young fibroblasts remain dense.  the space is almost completely filled by young disorganized collagen.  The cells are, in general, less round, more spindled, and starting to take on some organization in the form of stratification or lamellations.

 

 

50

 

6  -  myofibroblasts, contraction

 

The previous slide focused on the histio-fibroblasts.  This one focuses on their end product, the fibrous scar.  Throughout this discussion, collagen alone is referenced for convenience, but the process involves all of the connective proteins, such as elastin and fibronectins, which have greater or lesser roles in this process depending on various circumstances.

 

Right middle:  Just below the zones shown on the last slide, the randomly arranged young fibroblasts are starting to become flatter and layered.  They are stratified between maturing bundles of wavy pink collagen.

Right lower:  At yet a deeper layer, the stratification, organization, and packing of the scar is obvious.  The scar bundles are thick, and different bundles criss-cross in different directions.

Right upper:  This image is from the wound margin subjacent to an infolding skin edge.  It shows a zone of fibroblast and collagen condensation which is denser, straighter, and more lamellar than other areas of fibroplasia around it.  This is the “rubber band” of myofibroblast activity and wound and scar contraction.

 

Left:  Scar is the glue that cements the wound together.  While it is crucial to restore the mechanical integrity of the injured part, the dense pack of collagen as seen on the right leads to undesirable properties.  here are photos of scar complications.  [1] - an anterior ankle burn scar, hypertrophied due to tensile loads (Wolff’s Law), resulting in a non-compliant leash that fractures with plantar flexion, triggering more inflammation and scar.  [2] - circumferential scars cause stenosis and non-compliance of tubular structures, in this case of the esophagus after lye ingestion.  [3] - scar contractures across joints result in flexion deformities that cannot be corrected except by surgery.

 

 

51

 

7  -  epithelialization

 

Closure of the wound means sequestration of the mesenchymal elements underneath from the ambient world by a layer of epithelium.  Complete epithelialization is the nominal endpoint of wound healing for the sake of practical everyday wound management.

 

Top:  On the right, active epithelial ingrowth is occurring from all wound margins, covering granulation tissue that has already formed.  This process will continue until its growth is inhibited by contact with itself, and the wound is then closed.  At left and center is a small wound that has healed exclusively by epithelialization rather than contraction.  The margins of the ulcerated dermis are clearly seen, even after it is healed, due to epithelial growth over the edges and down into the crater.

 

Bottom:  This is epidermis at the edge of an open wound.  What were normal basal cells and acanthocytes have become primitive and migratory, streaming outward toward a wound margin that has a suitable wound module underneath, especially close capillaries.  Migrating epithelium bears little resemblance to its mature form, but the cells maintain contact with each other as they spread superficially and tangentially in an elongated flattened form.

 

 

52

 

8  -  maturation

 

Wound and scar maturation is what happens after the wound is fully epithelialized.  This is the long term involution of the scar.  As seen in the preceding slides, the early healed wound has a dense excess of collagen, fibroblasts, and new blood vessels, over abundant compared to normal dermis, fascias, and other connective tissues.  As the healed wound ages, the excess materials are removed, and gradually the scar takes on characteristics closer to normal skin and fascias.

 

Left:  The photo shows a set of scars from an area having had multiple operations.  Some of the scars are old and mature, being pale and flat, soft and compliant.  Some of the scars are young, being thick and stiff from excess collagen and connective matrix, and discolored from excess vascularity and hyperemia.

 

 

Right upper:  Fibroblasts, collagen, and new blood vessels are seen at the peak of proliferative repair.

Right second:  This is a skin scar after it is fully epithelialized and acute reparative activities have settled down.  Vascular density seems to be less, and cellularity in the collagen also seems less, compared to their peak density in the top image.  The timeframe for this is within weeks of full epithelialization.

Right third:  As a scar becomes progressively mature, collagen bundles become wavy and springy, with tangential spaces or planes opening between bundles.  Fibrocyte density is much decreased.  Vessel morphology returns to normal, and the number of vessels diminishes back to normal vascular density, meaning that clinically the red color fades.  The timeframe for this is within months of full epithelialization.

Right lower:  In the fully matured scar, herringbone patterns attest to a final collagen configuration that is once again compliant and mobile.  Vessels are sparse, and fibrocyte density is at a minimum.  While not looking exactly like normal dermis or musculotendinous fascias, it looks very similar.  The timeframe for this is within years of full epithelialization.

 

 

53

Summary of 1-D

 

This was an overview of normal wound healing biology.  The anatomy of this process is the proliferative wound module of post-inflammatory repair.  There are 4 specific cells required to heal the wound:  monocyte-macrophages to initiate repair, histio-fibroblasts & vascular angiocytes to make the stroma, and keratinocytes or other epithelium to complete the process.  The key point to understand, for the purposes of this presentation about CAP wounds, is that the mesenchymal component of this process depends on just 2 cells, the fibroblasts and angiocytes.  These are the only 2 cells which create, constitute, and repair the generic stroma of the whole body.  After injury, they get called into action to create new stromal tissue to replace what is injured or missing.

 

 

 

 

 

Section 2  – The connections between autoimmunopathy and connective tissue disorders

Sections 2 and 3 will make the connections between autoimmunopathy, connective tissue disorders, and wound healing.  When we think about the “connective tissue diseases”, it is all about the autoimmune disorders that are typically within the purview of the specialty of rheumatology.  Why are the “connective tissue disorders” related or due to autoimmune states?  Why are they not related to some other general class of pathology?  Why are there no common diseases of the fascias, connective tissues, and general stroma related to metabolic alterations or genetic deficiencies?  Section 2 will explain the connection between autoimmune states and the resulting connective tissue disorders, first (2-A) how it is that the autoimmune diseases affect the connective tissues, and second (2-B) how it is that autoimmunopathy arises and is directed against the connective tissues.

 

 

 

54

 

Section 2-A

 

This section will show the effects and tissue pathology that result from the autoimmune collagen-vascular & connective-tissue disorders.  It will show why these diseases have those names, because of their effects on connective and stromal tissues.

 

 

 

55

Why are these called “collagen-vascular diseases” and “connective tissue disorders”?  First, let us clarify some basic terminology about the soft and connective tissues.  The connective tissues are the general stroma or support structure of the body.  They are all basically a structural matrix of collagen fibers.  The chemical composition is of course more complex than just collagen, but the collagen structural matrix is the basic fabric of all connective tissues.  Of course, the matrix has to be made by some sort of cell, and that is the fibroblast.  However, nothing lives without substrate supply, and this depends on a vascular distribution system – blood vessels – created by angiocytes.  These are the two constituent cells of the general connective stroma of the body – fibroblasts and angiocytes – period.  These structures can play host to other cells, such as adipocytes, but the fibrous stroma of the body depends on just fibroblasts and angiocytes.  The term “histioblast” will also be used here to denote tissue forming progenitor cells that spawn the fibroblasts.  Recall that all of these cells are part of the mesenchyme, the tissues derived from the embryonic mesoderm.  Illustrated are two prototypical examples of basic stromal or connective tissue.  On the left is scar from a healthy trauma wound in early phases of maturation.  On the right is normal muscular fascia.  Depending on the specific tissue and circumstances, the collagen architecture may differ in expected and predictable ways, but aside from that, there are only two structures, blood vessels in collagen matrix, and two cells, angiocytes and fibroblasts.

 

 

 

56

The stromal tissues, engineered by the mesenchymal cells of the mesoderm, predominantly histioblasts-fibroblasts and angiocytes, are composed of collagen and connective proteins, traversed by blood vessels and vascular structures.  Diseases which affect the mesenchymal stroma therefore affect these cells and structures.  It is predominantly the autoimmune disorders which do this.  Why are these cells and structures the target of auto-immunopathy?  To begin the answer, this slide shows what that targeted pathology looks like.  Bottom left:  acute leukocytoclastic vasculitis.  This is arteritis in its acute phases, with intense neutrophil infiltration with necrosis and myxoid degeneration of the vessel wall.  Vessels are clearly an explicit target of this event.  Bottom right:  rheumatoid synovitis, likewise with neutrophilic acute inflammation and myxoid changes in a tissue that is nothing but loose fibrous stroma with fibroblasts.  Top left:  chronic vasculitis or peri-arteritis (from a patient with long-standing ulcers and infarcts due to a combined coagulopathic and auto-immune disorder mainly consistent with polyarteritis nodosa).  Neutrophils have disappeared, and instead, chronic inflammation has ensued, consisting of lymphocytes, plasma cells, and eosinophils.  Note how the pathology is confined to the vascular locus, without inflammation in the surrounding connective matrix.  Note also the chronic thrombosis in the damaged vessels.  In anticipation of explanations soon to come, ask yourself this crucial question:  what came first, the thrombosis or the inflammation?

 

 

 

57

The consequence of auto-immune attack is to kill cells and trigger inflammation.  Inflammation is a destructive process by intent, so when triggered, there is progressive damage to the affected tissues.  Inflammation also begets wound repair, so fibrosis and related consequences of the wound module also appear.  The net effect is acute and chronic damage to mesenchymal, musculoskeletal, and stromal structures.  This slide shows the anatomical and clinical effects that result form auto-immunopathy and inflammation of the collagen-vascular connective tissue stroma.  Top left:  fibrosis develops in blood vessels after vasculitis, leading to stenosis and obstruction; these angiogram shows paradigm “lupus angiopathy” which occurs most commonly in lupus and scleroderma.  Bottom left:  a cross-section view of a dermal artery from a scleroderma patient showing the mural fibrosis and stenosis; this patient’s skin was also highly fibrotic from repetitive inflammation and scarring of the dermis, confirming both “collagen” and “vascular” targets of his disease.  Bottom middle:  prototypical late stage rheumatoid hands; these deformities are the biomechanical consequences of destruction of tendons and joint ligaments, destroyed by chronic active inflammation triggered by autoimmunity targeted against synovium.  Top middle:  earlier stage rheumatoid synovitis during a flare up; the leg has become ulcerated because of global anti-connective tissue effects affecting more than just synovium.  Top right:  atrophie blanche, a classic morphological feature of skin in some of these disorders, representing areas of residual normal skin interspersed with dermal scarring due to repetitive dermatitis-fibrositis.  Bottom-right:  “string-of-beads” ulceration characteristic of autoimmune synovitis; in the hand, rheumatoid synovitis is apt to cause tendon rupture, whereas in the lower extremity, it is apt to lyse skin; the upper photo is a lupus patient during acute phases of synovial suppuration and skin ulceration; the lower photo is a rheumatoid with chronic ulceration after the synovitis flared and has now subsided.

 

 

 

58

The autoimmune disorders can affect nearly any cell or tissue in the body – e.g. immune thyroiditis, hepato-biliary disease, inflammatory bowel disease, hidradenitis, etc.  However, when the mesodermal/mesenchymal connective and vascular stroma of the body is the target of auto-immunopathy, then the tissues affected are those of the fascias and musculoskeletal system, as seen on the last slide.  Depending on which antibodies or cells and tissues are predominantly targeted, the patient may have a syndromic set of signs and symptoms that fit into standard nosological categories.  Synovitis dominant disease is likely to fit diagnostic criteria for rheumatoid arthritis.  Dominant involvement of the adipose fascias is apt to be recognized as Weber-Christian, erythema nodosum, and related panniculopathies.  Muscle involvement may prompt a diagnosis of polymyositis.  Serositis dominant disease might be called lupus or Weber-Christian.  Complications of fresh wounds and old scars are apt to fit with lupus.  Other distinctive events, such as uveitis, spondylitis, secretory adenitis, urethritis, cerebritis, central vasculitis, mediastinitis, etc. will all betray certain syndromic diseases and classifications, such as Reiter’s, ankylosing spondylitis, Sjögren’s, Behçet’s, Wegener’s, Takayasu’s, etc.  Many patients of course will have mix and match findings necessitating the use of “mixed”, “undifferentiated”, and “non-specific” to describe the connective tissue disorder.  One thing that is common to all is that because connective and vascular tissues are involved or targeted, therefore skin ulcers, wound pathergy, and similar soft tissue events are common

 

 

 

59

Summary of 2-A

 

This section has shown the effects and tissue pathology that result from the autoimmune collagen-vascular & connective-tissue disorders.  We can now answer why these are called “collagen-vascular diseases” and “connective tissue disorders”.  They are so called because the immune events and their targets affect the mesenchymal cells which constitute the stroma of all tissues, the connective tissues and blood vessels, composed predominantly of fibroblasts & angiocytes.  The gross anatomical pathology and the clinical sequelae of these diseases are due to (1) active inflammation damaging connective and other tissues, such as acute synovitis and panniculitis, (2) anatomical changes resulting from that destruction, such as tendon and ligament rupture, joint deformity, and skin ulcers, and (3) the effects of scar, such as vascular stenosis.

 

 

 

60

 

Section 2-B

 

So far, you have been asked to accept on faith and common basic knowledge that auto-immunity is the cause of the connective tissue disorders.  We have just shown the anatomical pathology that results from the auto-immune state and thus why they are called collagen-vascular diseases.  The next big question – a two-parter – is  (1) what are the origins of autoimmunity in the first place, and (2) why does autoimmunity target these tissues?  This is what will be answered in Section 2-B.

 

 

 

61

The origins of rheumatoid, lupus, and auto-immunopathy have had various theories and debates.  Infections, repetitive trauma, and other inflammatory states have all been implicated.  None of these is explicitly correct, but what they all share is a state of chronic inflammation.  What you will see here is how a chronic inflammatory state of any primary cause can lead to auto-immunization.  Start by considering two other auto-immunopathies where the origins of the auto-immunity is understood.  (1) Rheumatic fever and rheumatic heart disease occur because strep throat, scarlet fever, or other streptococcal disease induces immunity to streptococcal antigens.  Key to this is the streptococcal PARF antigen (“peptide associated with rheumatic fever”), which binds to human collagen.  When immune cells become sensitized to the bacterial antigen, they also develop immunity to the conjoined collagen, and now you have an auto-immune connective tissue disorder.  (2) Spina bifida and myelomeningocele have a high incidence of allergy to latex.  Now how odd is that?  A meningocele exposes neuroectodermal tissues to the general circulation and mesenchyme, where inflammatory cells can meet them.  The CNS is rich in a variety of phospholipids, so some type of low level sensitization to these chemicals occurs.  Latex, raw rubber, is a micellular suspension of isoprene monomer globules suspended in phospholipid membranes – phospholipids, the same stuff as in the CNS.  Exposure to latex probably acts as a secondary sensitizer, a booster shot if you will for auto-immunity which is already present to some degree.  Latex then further acts as a trigger for acute responses.  The response is more allergic than immune, but it is nonetheless an example of sensitization developing to auto-antigens.  In the rheumatic fever case, auto-immunization occurs because human collagen is in the way, at the wrong place at the wrong time, caught up in the melee as immunity develops to an exogenous immunogen.  In the spina bifida case, auto-immunization occurs because non-mesenchymal antigens normally hidden from the immune system become exposed.  How does this relate to the common connective tissue disorders and the problems that frequent a wound practice?

 

The clinical lab has various tools to assess auto-immunity, such as antibody assays.  Anti-nuclear antibodies are the most prevalent, and serve as a basic screen.  If positive, further testing can reveal others.  The table on the right shows some tests and panels available from a large commercial lab.  The antibodies and assays that are tested for include those against nuclear chromatin and DNA, nucleoli, centromeres, endoplasmic reticulum, ribosomes, golgi complex, and mitochondria.  Do you see a pattern?  These are all directed against intra-cellular structures.  Consider another disease, hidradenitis suppurativa.  A type of acne affecting apocrine glands, the disease includes a lymphocyte mediated inflammation with antibody fixation.  Everybody gets overly focused on the suppurative abscesses in the obstructed glands, but the real problem that obstructs the glands is the autoimmunity.  How does this develop?  When the cysts themselves inflame and rupture, epithelial endocellular debris and sebaceous chemicals that should NEVER be present on the underside of the basement membrane get exposed to the mesenchyme, allowing immune sensitization to occur.  Similar events presumably explain the uveitis that occurs in the eye (as with Behçet’s and Reiter’s), and perhaps as well antigens in the secretory lacrimal and salivary glands (Sjögren’s), and so on.  So, how is it that the body develops immunity to these chemicals?  Is it that they are caught up in the fracas of some acute inflammatory event, as occurs with streptococcus-induced rheumatic fever?  Or is that they were never meant to meet a lymphocyte in real life, but the ramparts tumbled or they were shanghaied to a tough neighborhood as occurs with spins bifida and latex cross-over allergy?  For the diseases that are apt to show up in a wound practice, we can find strong compelling evidence of both mechanisms.

 

 

 

62

This slide will show you the some of basis whereby nuclear auto-immunization occurs.  Left lower:  a normal specimen from a “healthy” chronic wound.  The angiocytes of the blood vessels are all hyperplastic and disorganized, a normal effect of angiogenic cytokines in the proliferating wound, i.e. normal and healthy.  There is stasis and migration of polymorphonuclear leukocytes – completely normal behavior after any injury or thrombosis – completely proper reactive inflammation.  In addition to well-formed poly’s, you will also see dark spots that look like the size and shape of individual lobes of a neutrophil’s nucleus – because they are.  This is “nuclear debris”, aka “poly dust”.  As neutrophils conclude their business and do the apoptosis thing, nuclear remnants are left, waiting to be cleaned up by macrophages or other degenerative mechanisms.  The more intense the inflammation, the more concentrated the nuclear or cytoplasmic material becomes.  In specimens with intense necrosis and suppuration, there is always a generalized purple basophilia reflecting the high load of loose endocellular material.  Right upper:  a specimen from an unhealthy wound, a patient with polyarteritis nodosa.  There is vascular disorganization with fibrin exudates, heavily infiltrated with poly’s, and a substantial amount of poly dust.  The vessels are the target of acute inflammation, but unlike a short term inflammatory state after trauma, this inflammation is repetitive and sustained.  The increased load of nuclear debris and increased time of exposure increases the chances of antigenic recognition.  Right lower:  a specimen from long standing pressure ulcer.  This type of wound is presumably non-pathological, just a matter of pressure and trauma, but nonetheless chronic.  The vessels and stroma high in the wound are normal, and there are poly’s and poly dust as you would expect, but there is also immunogenic inflammation – eosinophils and plasma cells.  Why would the body be acting as though it is immunized and making immunoglobulins against itself in this chronic seemingly benign wound?  You can start to see how auto-immunization occurs.  All of that nuclear debris is freely exposed in the tissue.  What should be protected antigens sequestered inside cells are being exposed where immune processing cells can pick them up.  The more the material, the longer it is exposed, the greater the chance of recognition and sensitization.  And not only are the sequestered antigens at risk (like happens with spina bifida and latex), but even chemicals normally exposed in the area risk being picked up and carried along on the immunization ride (like for rheumatic fever).  And what normal chemicals or structures risk being carried along?  Those associated with the matrix or its resident cells and structures – fibroblasts, angiocytes, vascular structures, and connective structures.

 

 

 

63

This starts a series of slides that demonstrate a fascinating and crucial connection in this story – the relationship of hypercoagulable disorders to auto-immune disorders.  Recall in our basic review of hypercoagulable states and ulcers that there is a recognizable, nearly pathognomonic tetrad / pentad that nails the diagnosis of a hypercoagulable disorder:  (1) thrombotic or embolic event, (2) miscarriage, (3) wound pathergy event, and (4) a connective tissue disorder, with (5) either a personal or family history.  Why the connection between these two major disease categories?  Left: a woman with scleroderma-crest.  History and wound behavior suggested a hypercoagulable state, confirmed by laboratory, and she ultimately died from pulmonary embolism or thrombosis.  Note the significant multifactorial markers of both autoimmunopathy and hypercoagulability.  Right: a man with clinically active lupus with multiple wounds and wound complications due to minor trauma and surgery.  Wound specimens confirmed thrombi, the lab confirmed antiphospholipid antibodies, and he healed promptly with warfarin.  Why did both patients have unequivocal evidence of both disorders?

 

 

 

64

You might think that the two patients on the preceding slide just had an unhappy coincidence of dual diseases.  You might, until you see this and the next few slides.  On this slide are three patients presenting with obvious pathological ulcers, including active necrosis, inflammation, and progressive ulceration.  One of them had no prior documented history, and the other two had confirmed histories of polycythemia or other blood cell disorders.  Laboratory evaluation using customary panels for autoimmune and hypercoagulable disorders showed evidence of both in all three of these patients.  None of them had a clinical history of autoimmunopathy or connective tissue disease, but on symptom inventory and review of systems they had a variety of typical complaints such as arthralgias or sicca syndrome.  The profile of the 54 year old man is especially noteworthy.  In addition to autoimmune markers, he has a dual type of coagulopathy: factor V Leiden indicates an intrinsic pre-thrombotic hypercoagulopathy, and he also has a strong antiphospholipid antibody elevation, both lupus anticoagulant and anticardiolipin.  You cannot cheat on a gene test - factor V Leiden is an inborn error, a built in hypercoagulable disorder.  So isn’t one coagulation defect enough for one person?  Well, not for him, but why - why would he then also get auto-immune procoagulant antibodies?  No, it’s not coincidence.

 

 

 

65

More of the same, three more examples of mixed laboratory findings in patients with clinical profiles that likewise indicate dual disease, both coagulopathic and immunopathic.  On the left, 2 patients with a priori clinical diagnoses of a connective tissue disorder, where the ulcers behaved equally coagulopathic, confirmed in the lab.  Both healed with a customary program of anticoagulation and skin reconstruction with a regenerative matrix.  On the right, a patient with no antecedent diagnosis, but presenting with a prototypical acute pathological wound.  The features are more thrombo-infarctive than inflammatory-lytic, but there are elements of both, both grossly and by laboratory assay.

 

 

 

66

And another one . . .  These three patients had clinical histories of active immunopathy plus acute ulcers behaving more thrombo-infarctive rather than inflammatory-lytic.  The duality of the problem was confirmed on laboratory profiles.  Note that the rheumatoid patient has markers that cannot be mistaken – clinical and pathological rheumatoid for which she just had her back operated on, and genetically inborn factor V Leiden.  (Notice that plasminogen, a natural thrombolysin, and protein C, a natural anticoagulant, are both elevated, a typical reflex up-regulation of these compounds in response to a continuing state of thrombosis.)  I could keep showing you more of the same thing, lots more . . .  Are you convinced now that these are not coincidences?  I have yet to do a formal retrospective (nor prospective) data analysis of our experience with these patients and profiles.  However, having paid attention to these issues for the past 14 years, and having observed them in hundreds of patients, I have a general sense about the incidence of these correlations.  Remember, all of these patients come to our practice because of the wounds, not because of a characteristic rheumatological or hematological complaint.  (1)  For patients presenting with a primary hypercoagulopathy, i.e. where the wounds and history and laboratory profile are strongly “hematological”, more thrombo-infarctive in nature, then the incidence of laboratory cross-over with positive auto-immune markers seems to be well over 50%, perhaps as high as 85%.  (2) For patients whose clinical profiles are strongly “rheumatological”, with overt history or symptoms, and with inflammatory-lytic ulcers, the presence of hypercoagulable markers seems to be in the range of about 25% to 50%.  For a long time, we have been drawing both sets of blood panels on our primary coagulopathic patients, so the “data” and experience are more thorough for those patients.  Only recently have we started drawing “hypercoag” panels on our primary “rheumatoid” patients, and as we do more, the real values for this set should become clearer.  There are also plenty of patients who come with ulcer profiles and clinical histories that make both sets of disease obvious from the outset, and it is not surprising that their lab workups have mixed markers.

 

 

 

67

Why?  Why do so many of these patients have markers of two major categories of disease?  The findings may be occult or overt, subtle or dramatic, but they are there when you look for them.  The explanation is not so mysterious, and it relates to the basic mutual interaction of thrombosis and inflammation.  Recall the quintessential roles and functions of inflammation and thrombosis.  How is an injury recognized?  How is it cleaned up?  How is the repair process started?  There are several pathways of injury recognition, and one of them is platelet activation and thrombosis.  Once these events occur, they then initiate inflammation, so the body can handle the defenses, do damage control, and then clean up.  Thrombosis triggers inflammation.  However, inflammation also creates a milieu that promotes thrombosis via prothrombotic chemicals, leukocyte and platelet trapping, changes in vessels and blood viscosity, etc.  Inflammation triggers thrombosis.  They trigger each other.  This complex non-linear system is self-amplifying.  In the case of a one-shot incidental injury, such as trauma, this thrombosis-inflammation coupling ensures a swift ramp up of defensive changes, but then the process subsides and settles, paving the way for repair.  However, when there is some sort of repetitive or sustained injury, then new thrombosis and inflammation keep getting triggered, keeping the process alive.  For the technically savvy, it is very much analogous to an oscillatory system in mechanics or electricity.  A one-shot trigger in a spring or vibrator circuit may oscillate briefly as it falls back to zero, but if you keep kicking in a bit of energy at the resonant frequency, enough to replenish internal energy losses, then you can sustain the oscillation and make cool things work, like a radio or a clock.  Trauma induced thrombosis-inflammation is a one-shot.  Thrombosis-inflammation triggered by chronic sustained thrombotic or immune disorders and activities keeps the system running – to the detriment of the host.

 

What triggers abnormal or sustained thrombosis and inflammation?  Immunopathies and coagulopathies do, i.e. intrinsic disorders of these primary events.  Also, angiopathies and panniculopathies, diseases of the host structures which can trigger thrombosis and inflammation.  They have complex interactions, but when these chronic alterations or disorders are present, then the thrombosis-inflammation cycle can become sustained.  And what is caught in the middle?  The health of the host tissue – necrosis and ulceration.  If the thrombotic events predominate, then thrombo-infarctive necrosis is more apt to be seen.  If the inflammatory events predominate, then lysis and ulceration are more apt to be seen.  It should be no surprise though that many wounds and patients will have features of both events, both grossly and in the laboratory.

 

In the world of wound pathology, there are several highly interconnected events and responses of paramount importance to health and disease, the connections between:  injury-thrombosis-inflammation;  pathergy-necrosis-ulceration;  inflammation-immunity;  coagulopathy-immunopathy-angiopathy-panniculopathy.  Patients with pathological wounds have aberrations of these chains, and because they are highly inter-dependent there are frequently multiple such abnormalities, e.g. auto-immunopathy generally accompanies hypercoagulable disorders.  The common pathways all come down to thrombosis and inflammation, with infarction and lysis, affecting stromal tissues made of vessels and collagen, angiocytes and fibroblasts.  The final step in this section is now to show why there is such a strong association of autoimmunopathy with the hypercoagulable states.

 

 

 

68

Here are two slides from two patients with hypercoagulable disorders.  The specimens came from wound debridements, meaning that there was already established ulceration (the views are of nearby zones, not directly in the ulcers themselves).  What do you see?  Both show a vascular locus, a zone of vessels and angioid tissue within a dermal or connective matrix.  Within the vascular locus, vessels have chronic thrombi and reorganization.  The specimen on the left shows migratory spindle shaped disorganization of the angiocytes consistent with a state of chronic inflammation and wound healing.  Both specimens have diffuse infiltration of the vascular locus with chronic inflammatory cells.  Recall that whereas acute inflammation is neutrophilic, chronic inflammation shows predominantly lymphocytes, plasma cells, and eosinophils.  The left specimen is infiltrated with almost pure lymphocytes.  The right specimen is infiltrated with mostly all plasma cells and eosinophils.  There are few neutrophils, and the surrounding collagen matrix shows normal fibroblasts without inflammatory changes.  Why are these vessels in a state of chronic immunogenic inflammation?

 

On slide 56 we asked what came first, thrombosis or inflammation?  The answer is that the thrombosis came first.  These patients have a chronic coagulopathic state, always making microthrombi.  This triggers chronic repetitive micro-inflammation.  As the thrombo-inflammatory state persists and becomes prolonged, there will be an ever increasing load of cellular debris and endocellular antigens, intermingled with an ever increasing parade of inflammatory cells.  Just like for spina bifida and for hidradenitis, sequestered or endocellular material that should remain hidden from lymphoid cells is getting exposed.  Because these events are happening amongst angiocytes and fibroblasts, it is not just acute inflammatory cells that are being exposed, but also these stromal cells.  And because these events are taking place within the stromal tissue, supporting chemicals of the vascular structures and connective matrix are also present, many of which are being digested by the matrix proteases that are part of the acute inflammation.  To the extent that these normal exposed proteins, their sub-fragments, and other chemicals are caught up in the war zone, to the extent that sequestered antigens or other opsonins or inverse-haptens might bind to these matrix chemicals and take them for a ride, they too might become the target of auto-immunization, just like for rheumatic fever.

 

In normal incidental one-shot inflammation, macrophages in the wound clean up debris.  They have a vital role to present antigen to lymphocytes, in the event that they find viruses or fungi or other xeno-pathogens, thereby leading to immunity against the invaders.  But lymphocytes are not prominent players in one shot incidental inflammation. They and macrophages have only a limited amount of shared time on the stage or at the party.  But what happens when inflammation becomes more chronic, and more lymphocytes show up while macrophages are cleaning up ever more endocellular debris and opsonized-haptenized matrix proteins?  The chances go up that sooner or later a macrophage and a lymphocyte get confused, that one of your own chemicals gets fingered, that the activated lymphocyte then returns to the hive, and your own “stuff” is now on the most wanted list.  What stuff?  The stuff that’s there in that zone of chronic inflammation.  The chronicity of the inflammation is being maintained or renewed because of the primary pathology, the repetitive micro-thrombosis due to a hypercoagulopathy.  The stuff that is being damaged, degraded, exposed, and processed is nothing more than the materials of the general stroma: vessels, matrix, angiocytes, fibroblasts.  As time goes by, you are becoming immunized to your own stromal cells and matrix.  The thrombotic condition comes first, and the auto-immune state is an induced reaction.  That is why so many hypercoagulable patients have auto-immune disorders, be it an overt classifiable clinical syndrome, or else a mixed set of autoimmune symptoms, or else just positive laboratory serologies.  When patients with factor V Leiden or prothrombin 20210G genetic mutations have rip-roaring rheumatoid or lupus, the cause-and-effect connection is real.

 

 

 

69

With the hypercoagulable states, low level continuous thrombosis leads to continuous or repetitive inflammation (with or without micro-infarcts due to the ischemia;  the inflammation in turn helps maintain a thrombotic state).  This all causes continuing exposure of sequestered antigens as cells degrade.  Also occurring is the degradation of normally non-antigenic matrix chemicals into antigenic fragments (either directly antigenic or else after opsonization or inverse haptenization with normally hidden antigens).  This debris is all derived from acute inflammatory leukocytes and from the host stroma itself, i.e. vessels and connective matrix, angiocytes and fibroblasts.  The debris must be cleaned up, a function of macrophages (transformed from mononuclear leukocytes).  Another normal part of macrophage function is the presentation of antigen to immune competent lymphocytes.  This creates the risk that normal extracellular matrix chemicals and normally sequestered intracellular chemicals will become the subject of antigenic recognition and auto-immunization.  This risk increases as the chronicity of the inflammation puts more lymphoid cells into the picture, increasing the mutual exposure of macrophages and lymphocytes.  The connective tissue disorders are due to autoimmunity against generic stroma, vessels and matrix, and it is easy to see why this occurs when the locus of primary inflammation is the vessels themselves.

 

The causes of auto-immunization can now be generalized.  Primary hypercoagulability creates conditions of chronic inflammation directly around blood vessels, and thus vessels and surrounding matrix are not only the prime casualties, the prime targets of necrosis and ulceration, but also the prime targets of erroneous immune recognition and sensitization.  However, any primary condition causing chronic inflammation could do the same, especially if sequestered and novel chemicals are being unmasked.  The chronic inflammation may be reactive, a normal response to a primary injury, such as trauma or infection.  It may be induced inflammation, such as that triggered by primary thrombosis.  The inflammation may represent several types of host defense, including suppurative states (neutrophilic), allergic or atopic states (granular leukocytes), and immune states (lymphoid).  The problem may be amplified or sensitized by ancillary genetic or metabolic factors, such as the association of autoimmune disorders with HLA-B27 (ankylosing spondylitis) and HLS-B51 (Behçet’s).  The system is very complex, but at it’s heart, any chronic inflammatory state induced by some primary non-autoimmune pathology risks sensitizing the body to itself.  It can easily be appreciated how it is over many years that various authors have implicated chronic infections, allergies, injuries as the cause of auto-immune connective tissue disorders.  It is not the primary injury which is specific to the process, but rather a state of chronic primary non-immune inflammation which leads to auto-immunization.

 

These concepts can be illustrated via hidradenitis suppurativa.  The auto-immune component of that disease is long recognized as it relates to the pathology of the apocrinitis itself.  It is not surprising that auto-immunity might occur, since these micro-abscesses will expose sebaceous and other epithelial antigens repetitively and chronically.  This is just like hypercoagulability in that it creates the perfect chronic mix of debris, antigens, acute inflammation and macrophages, and chronic inflammation and lymphocytes.  For hypercoagulable states, sensitization occurs against vessels, leading to further arteritis.  For hidradenitis, sensitization is against the glandular epithelium, leading to chronic apocrinitis and persistence of the acneform state.  What is interesting though is that once auto-immunization occurs, it can have global effects.  The patient shown had active untreated disease for over thirty years.  Excision of the affected areas cured the problem.  In so doing, many other symptoms that she had lived with for years suddenly resolved.  Along with general malaise, she had symmetrical large joint polyarthralgias, sore wrists and hands, morning stiffness, and sicca syndrome.  All of this evaporated as the post-excisional wounds healed.  This story is not unique, neither among hidradenitis patients nor among any patient with a chronic inflammatory state.

 

In summary, a chronic repetitive sustained state of primary inflammation will lead to sensitization and auto-immunization against those structures that are the target of primary inflammation.  In a sense it is just the whole immune system behaving the way it is meant to, but it gets confused about who the enemy is when primary acute inflammation is sustained rather than being a one-shot.  Once auto-immunized, whatever structure was once the locus of acute reactive leukocytic inflammation now becomes the target of chronic immune lymphoid inflammation.  When vessels and connective matrix are the targets, then patients will have disorders of the generalized stroma, meaning the classic connective tissue disorders, but also, as we are now about to see, disorders of the wound healing process.

 

 

70

Summary of 2-B

 

Autoimmunity occurs when the immune system “sees” antigens that it should never have seen, either endo-cellular or other sequestered antigens, or else open matrix chemicals that are altered or presented by the occult antigens.  Angiocyte and fibroblast, vessel and matrix antigens are prominent in this sensitization, immunizing the patient to the connective tissue and vascular cells which constitute the stroma of all tissues.  This pathology results from any number of underlying primary disorders which result in a chronic inflammatory state which leads to the unmasking and presentation of the occult antigens.  Once someone is auto-immunized, protean clinical sequelae ensue.

 

 

 

Epilogue to Section 2  

At the beginning of Section 2 we asked why the connective tissue disorders are due to autoimmune states as opposed to some other general class of pathology.  Throughout this section we have established the connection between autoimmunity and the diseases of the general stroma.  However, we have yet to answer the other side of that question: why are there no common diseases of the fascias, connective tissues, and general stroma related to metabolic alterations or genetic deficiencies?  The full annotated answer is beyond the scope of this presentation, but a few basics can be explained, partly here, and partly in the epilogue to section 3-A after slide 76.

 

The stromal cells, fibroblasts and angiocytes, represent evolutionary and phylogenetically ancient cells.  Multicellular life appeared about 1 billion years ago, as single celled life learned that there is strength and survival advantage in cooperative association and the division and specialization of labor.  There are two quintessential constructs needed to permit multicellular association and function: some system for holding everything together in a stable functional anatomical form, and some sort of distribution system to permit the interchange of nutrients, metabolites, and information.  In animals, the system that evolved for holding things together is based on connective proteins, the most abundant of which is collagen.  Collagen structures and anatomy became increasingly complex as life advanced, but collagen is present even in the most primitive of multicellular organisms, the Porifera, the sponges.  Evidence of a bulk transport system – a vascular system – is also seen in some sponges, and it is permanently established by the Cnidaria, the hydras and jellyfish.  Primitive invertebrates do not have a blood circulatory system.  Instead, their gut has extensions into all parts of the organism to directly deliver food, a gastrovascular cavity that handles both digestion and distribution.  Nonetheless, this is a vascular distribution network, and our blood circulatory vascular system is a direct evolutionary descendant of the gastrovascular cavities of the Cnidaria.  Only one gene and its product are required to govern the formation and morphology of this vascular distribution system, and that gene is VEGF (vascular endothelial growth factor; well, actually 2 genes, VEGF and VEGFR, its receptor).  Genetic sequencing allows us to recognize the specific nucleotide “spelling” of each gene, and jellyfish and human VEGF and VEGFR are highly homologous, spelled almost exactly the same.  Also, the observable functions of VEGF on vascular cells and structures are identical for jellyfish and humans.  As life evolved, many new genes appeared, old ones disappeared, and many morphed and changed.  But, over eons of multicellular evolution, VEGF and its functions are unchanged.  Why?

 

Why has VEGF remained unchanged?  Because multicellular life is wholly contingent on a bulk transport vascular distribution system.  Without it, complex multicellular life is categorically impossible.  Once this core infrastructure element of life had been written, it needed no revision, because it worked so well.  What this means is that for the few quintessential genes that permit multicellular life, there is little room for mutation.  VEGF is so crucially essential for life that without it, an embryo unconditionally cannot develop – period - exclamation.  (In some experiments, VEGF knockout is categorically lethal; in other experiments, other angiogenic factors can keep a conceptus alive, but with significant developmental defects.)  Whatever VEGF mutation might occur in a gamete, it cannot be propagated, because a conceptus simply cannot develop beyond just a few cells (the gastrula stage).  The basic stromal structure of multicellular life – connective matrix and vascular distribution system – was worked out from the beginning, 1 billion years ago.  The formation and function of these structures and cells has been thoroughly tested and debugged, meaning they are essentially error free.  These core infrastructure functions of multicellular life are so consistently conserved and dependable, so thoroughly robust, that there are no major genetic or metabolic disorders of the stroma, and consequently none of the mesenchymal component of wound healing.  Because these cells and structures have extraordinarily few intrinsic disorders, when wound healing goes bad it reflects some sort of exogenous disorder or damage, some sort of deprivation or attack affecting these cells and structures.  That includes non-specific non-targeted conditions such as trauma, ischemia, toxicities, and severe metabolic-nutritional inadequacy.  It also includes targeted damage directed against these cells and structures, and as we have seen in this section, that means the auto-immune disorders.

 

 

 

 

Section 3  – The connections between autoimmunopathy, connective tissue disorders, and altered wound healing

Sections 2 made the connection between autoimmunopathy and connective tissue disorders.  Section 3 will now tie them to impaired wound healing.  Section 3-A will look at how wound healing is altered in the presence of the autoimmune connective diseases.  Section 3-B will put these premises together to show why wound healing is altered and impaired in these disorders.

 

 

 

71

 

Section 3-A

 

In the last section, it was shown why the autoimmune disorders are directed against the basic stroma.  Wound healing is just the process of the stroma putting itself back together after disruption.  Therefore, if the autoimmune disorders affect the connective and vascular stroma, then they should likewise be affecting wound healing.  We have already seen that this is true, but in this section the connection between connective tissue pathology and wound healing will be more explicitly developed.  Section 3-A will begin with a look at how wound healing is altered in the presence of these diseases.

 

 

 

72

This and the next few slides are a brief gallery showing CAP and immunopathic wounds and their histological variances from a normal wound module.  (What is listed are features that were obvious for each patient, but since space limitations preclude putting up dozens of images, you might not be able to discern some of the items mentioned.)

 

This first slide is of an 85 year old woman with polyarteritis nodosa.  The specimens are from the edges of the ulcers.  Features to observe include:  neutrophilic arteritis and peri-arteritis, acute and chronic thrombosis, arterial stenosis, vascular necrosis or fibrinoid degeneration, vascular disruption and disorganization, diffuse plasma exudates, chronic peri-arterial inflammation with plasma cells and eosinophils, dense poly dust and other basophilic cellular debris, an absent or impoverished aminoglycan layer, abortive neo-angiogenesis.

 

One of the problems in looking at the histology of CAP wounds is that it can be hard to discriminate between active disease and impaired wound healing.  During active acute inflammation-thrombosis-necrosis-lysis everything looks bad, and reparative processes are appropriately suppressed.  Ideally, one should look at acute phase specimens when trying to establish a causative disease, because that is when the primary disease is active.  One should then look at late phase specimens, after acute inflammation and necrosis are subsided, because that is when chronic wound healing impairments will be more manifest.  Note in the image on this slide that the multiple ulcers are largely free from peri-wound inflammation, and edema is gone.  This is a latter phase image where basic care has controlled acute changes, and wound healing should be active but is weak.

 

That is one of the core issues of CAP and immunopathic wounds, that latter phase impaired wound healing cannot be separated from acute phase active injury.  The ongoing active injury is the chronic inflammation, triggered by autoimmunity against cellular components (which was first created by prolonged inflammation and necrosis due to a primary inflammation-inducing disease).  The inflammation and immunity are targeted against the stromal elements, meaning ipso facto that they are targeted against the wound healing machinery.  Thus, in the autoimmune wounds, impaired wound healing and chronic inflammation are conjoined, with or without some acute inflammation, and with varying degrees of chronic inflammation and varying levels of expression of the reparative wound module and its elements.

 

 

73

This 35 year old woman had years of intermittent slowly healing leg ulcers, recurrent lower extremity panniculitis, and finally a popliteal ulcer.  Immunopathic ulceration was suspected, but could not be confirmed by serologies or other tests.  Popliteal ulcers can be hard to resolve in the healthiest of people due to mechanical effects, but in this case, it persisted over three years before healing, in spite of various approaches to care with splints, surgery, and various physical, topical, and wound stimulatory modalities.  Histology shows features of many CAP and immunopathic wounds:  neutrophilic per-arteritis (in a grossly bland uninflamed wound), plasma cell and eosinophil infiltrates, vascular disorganization, narrow or thin zones of aminoglycans and angio-organization, insignificant or disorganized fibroplasia, dense nuclear debris.

 

What is especially interesting are the mitoses, visible near the centers of the two lower images.  In this specimen, there were mitoses in most high power fields, sometimes 2 or 3, almost what you could expect to see with anaplastic cancers.  These are angioid cells, proliferating as they would in any healthy wound, but with bizarrely excessive turnover.  This was a wound where the “granulation tissue” was grossly thin and “anemic”, and where it was largely absent histologically.  In cancers, new cells appear and accumulate.  Here, they were rapidly generating then wholly disappearing.  Perhaps they were disappearing by apoptosis, perhaps by immune mediated lysis (antibody-complement), perhaps by some other mechanism.  It is bizarre, but immunopathic and other CAP wounds can have bizarre pathological wound histology.  The mitotic rate aside, the presence of chronic inflammatory cells, peri-vasculitis, altered behaviors of angioid and fibrous cells, and corruption of normal wound strata makes this a typical pathological wound, almost certainly of auto-immunopathic origin.

 

 

74

These images are from an 31 year old woman with a primary hypercoagulable disorder and ankle ulcer, along with miscellaneous immunopathic symptoms.  Laboratory evaluation confirmed low protein C and low APC resistance (likely the primary problems), a positive lupus anticoagulant (probably secondary due to induced auto-immunity) and low factor IX (indirect evidence of a thrombotic state, due to compensatory down-regulation of a prothrombotic element).  The specimens are from the base and edge of the ulcer.  Features that can be observed include:  acute and chronic inflammation, acute and chronic thrombosis, vascular necrosis or fibrinoid degeneration, vascular disruption and disorganization, dense peri-vascular plasma cell infiltration, cellular debris and basophilia deeper than expected for healthy wounds, cellular debris and basophilia along angiogenic cords, scant or disorganized fibroplasia.

 

As seen in the gross picture, there is active inflammation and necrosis in spite of  treatment, representing persistence of the pathological state.  Histologically, the overall architecture of the wound module is relatively correct, but numerous features are altered from normality.  In this case, the primary hypercoagulable state is responsible for the persistent state of active infarctive and inflammatory pathology, which will in turn inhibit and delay wound healing.  Recognizing an auto-immune component of delayed or disrupted healing becomes easier only after non-immune acute events have been controlled.  However, in this case, the active pathological state was not controlled by anticoagulants and topical care alone, and persistent auto-immune inflammation may have been the persistent promoter of continued micro-thrombosis.  As discussed in the first of these three cases, untangling the interconnections of acute inflammation, chronic inflammation, thrombosis, and their effects on subsequent wound healing  becomes difficult, because this whole mess IS the disease of wound healing.

 

 

75

Nearly every other organ and tissue has a systematized set of histopathological findings that pathologists recognize as disease states.  Chronic and pathological wounds also have alterations from normal histology.  The problem is that “wound pathology”, as a discipline of organized academic histopathology, does not exist.  If you work closely with pathologists you will appreciate that they tend to view wounds as a normal reaction to injury, inflammation, and many other primary pathologies.  The idea that inflammation and wound healing themselves go wrong is missing.  There are endless chapters and textbooks on the nuanced differences of breast disease and thyroid disease and placental disease.  But just like in surgery textbooks, these subjects, which are the biological foundations of everything else that goes on, get only cursory and perfunctory treatment, on the assumption that, although they are a vital reaction to things that go wrong, that they themselves do not go wrong.  This assumption is forgivable to a degree because of the issues discussed in the Section 2 epilogue a few slides back concerning the evolution of these cells.  These infrastructure functions of repair and stromal restoration are indeed robust, and intrinsic diseases are infrequent or non-existent.  So, pathologists tend to see “a wound is a wound”, and there is never anything discriminating or diagnostic contained in a wound histology report.  However, as wound doctors, we recognize wound pathologies all of the time, and there are indeed histologic changes that occur in problem wounds.  Features that are frequently seen that vary from a normal wound include:  acute inflammation, chronic inflammation, plasma cell and lymphoid infiltrates, acute leukocytoclastic vasculitis, chronic vasculitis, acute and chronic peri-vasculitis, acute and chronic and organizing microthrombi, vascular necrosis, vascular hyalinization or fibrinoid degeneration, vascular disorganization, fibrous disorganization, excessive mitosis, epithelial arrest, variations in anatomical depth of wound, variations in physical depth of wound, and missing or corrupted wound strata (proliferative zones).  And this list is only what can be seen using classic colored stains such as hematoxylin and eosin or trichrome.  Immuno-staining techniques open up a vast world of even greater peculiarities, perversions, and pathologies of the wound healing system.

 

 

76

Summary of 3-A

  

Wound healing is impaired inpatients with immunopathic ulcers.  Histologic examination of immunopathic and other pathological wounds reveals variances from normal wound healing in which chronic and acute inflammation are associated with chronic vasculitis, fasciitis-fibrositis, and panniculitis, with abnormal angiogenesis and fibroplasia, and abnormal organization and integration of these elements.  In these wounds, the wound healing process itself is altered and impaired.

 

 

 

Epilogue to Section 3-A

Let us reiterate the statement at the end of slide 74, “Recognizing an auto-immune component of delayed or disrupted healing becomes easier only after non-immune acute events have been controlled.  However, . . . untangling the interconnections of acute inflammation, chronic inflammation, thrombosis, and their effects on subsequent wound healing  becomes difficult, because this whole mess IS the disease of wound healing.”  Wounds are intrinsically pathological when these core events in stromal biology and pathology get entangled to the point that the normal wound module cannot function properly.  Wound chronicity occurs because this entanglement gets locked into a pathological attractor, a clinically undesirable but dynamically stable state from which it cannot escape without deliberate therapies.

 

Compare this to a benign wound, a simple trauma or surgical wound.  The response to one-time injury is a one-shot response.  Inflammation (defense and cleanup) explodes, then decays and extinguishes as the tissues stabilize.  Wound healing (repair) then ramps up and does it thing.  These two general events are crucially contingent, wound healing being triggered by the inflammation, one rising as the other settles.  However, in a simple wound, each general event has its own focus of activity and its own locus in time.  This is not the case in CAP wounds.  In the chronic intrinsically pathological wound, injury and inflammation never subside, and healing never fully rises, because they feedback and sustain or suppress each other.  The agents of acute inflammation provoke repair, but the induced agents of wound healing (and their debris) can provoke auto-sensitization and thus more inflammation.  In turn, this continued inflammation suppresses wound healing as sensitized inflammatory-defensive agents turn and attack the repair elements.  When a wound becomes intrinsically pathological and wound healing is disrupted, we are really dealing with three general events:  acute inflammation, the wound module, and chronic inflammation.  Acute inflammation and repair are meant to be sequential and self-limited, and lymphoid cells (chronic inflammation) and stromal cells (wound module) are hardly meant to mingle, yet under pathological circumstances they become perpetually intermixed, and the orderly progression of a healthy one-shot wound module can never develop and run its course.

 

The interplay or tension between reparative events and inflammatory events is crucial to understand.  Do any of these events ever get the upper hand?  Do they go back and forth?  Do the wounds ever heal?  If you take care of these wounds, then you already know the answers – anything goes.  The wounds can suddenly get better, suddenly get worse, hold the line for prolonged periods, or wax and wane from visit to visit.  Are these dynamics predictable or controllable?  Day-to-day dynamics are not predictable, but the overall principles of these systems are completely understandable.  This little discussion is meant to give some casual insight and understanding of this situation, the dynamics of what happens when inflammatory and repair elements become mutually unbalanced.

 

I do not want to go too far afield in these discussions, but this section is at the core of why chronic intrinsically pathological wounds exist.  First, consider congestive heart failure.  Its overall pathophysiology is a vast subject, but its quintessence is that the heart becomes an inadequate pump.  Consider acute renal failure, likewise vast, but centered on the principle that the kidney cannot filter blood through the glomerulo-tubular apparatus.  For pulmonary failure, the lung is an inadequate bellows (ventilation) and/or an impaired diffusion membrane (respiration).  So, what is the quintessential derangement of intrinsic wound pathology and chronicity?  The answer is that it is a dynamical disorder, a logistical and self-organizational problem of interacting cell populations.

 

[1]  Logistical problems are a classic introductory issue in non-linear dynamics (the behavior of complex systems) related to population dynamics.  In this case, we are dealing with the interactive populations of inflammation and wound module.  To understand this, consider a generic population in which food can be supplied at a steady invariant rate, or that liveable space is fixed, and the amount of space or food per year will sustain a certain maximum population.  If the population starts small and is allowed to evolve, there is an equation to describe its rise to the maximum.  It is the Verhulst equation, also known as the logistical equation, which is a proper equation of calculus and algebra (linear, continuous, differentiable) which will tell you the population as a function of time.  But now consider this next scenario.  There is a field full of green grass, and sheep are introduced.  The system is closed, with a fixed biomass divided between sheep and grass.  The sheep eat the grass, grow strong and fecund, and beget more sheep.  The grass mass decreases as sheep mass increases, and eventually, the sheep outgrow the available grass.  The sheep population will then start to decline, and as it does, grass mass again increases.  In this scenario, the grass is not supplied at a fixed rate.  The grass is an active population itself, just like the sheep, and it can be depleted but then it can rebound.  Sheep and grass are two mutually interlocked populations, at times supportive, at times confrontational.  Nutrition, starvation, predation, cultivation are the intertwined dynamics.  The problem gets even hairier if you then throw in a third element such as wolves to eat the sheep.  In this scenario, can we calculate the population of sheep or grass as a matter of time?  Not so easily.  The Verhulst logistical equation still applies in principle, but now it must be applied to two populations, and those two are contingent on the other!  The balance between two interactive populations cannot be calculated by a continuous linear equation, because this has now become what is known as a “non-linear” problem, the heart and soul of real world complex systems.  There is no way to calculate, as a direct analytical function, how many sheep or how much grass is there, neither one as a function of the other [ sheep = f (grass) ], nor parametrically in time [ grass = f (t); sheep = f (t) ].  Nonetheless, this problem can be solved, but as for any non-linear complex system (aka non-linear dynamics) the problem is solved by recursive iterations, using the iterative form of the Verhulst equation, the “logistic difference equation”  xn+1 ! Axn(1-xn).  It turns out that the dynamics of this system, the amount of sheep or grass, has a very strange and wonderful set of back-and-forth numbers year by year.  The main message is that in these complex systems of interacting populations, the dynamics can be strange, seemingly unpredictable, and at times locked in to “attractors”, states of being, from which it is hard to break away.  The “logistic map” as it is known is a foundational subject in non-linear dynamics, and you can easily learn more by searching for non-linear dynamics, chaos, logistical map.

 

What does this all have to do with our main subject?  Everything.  Inflammation (and its host of various cells and chemicals) and wound healing (and its entourage) are interactive populations very similar to sheep and grass.  They support and promote each other, and at the same time deprive and degrade each other.  In normal wound healing, incidental injury invokes a one-shot response.  This one-shot has two compartments, inflammation and wound module.  Inflammation rises then extinguishes, its uprise partly based on linear Verhulst logistics (with some auto-amplification thrown in), its decline being a first-order exponential decay (as Verhulst style substrate disappears and the system must extinguish).  The wound module, triggered into existence by inflammation, has similar dynamics as it rises then falls.  The inflammation compartment evolves and extinguishes over a time frame of hours-to-days;  the wound module compartment exists over a time frame of days-to-weeks.  In chronic and pathological wounds, this sequential evolution of two linear compartments gets perverted by the appearance of another population - chronic inflammation (with an entirely different cohort of cells and chemicals).  Also, the wound module’s alter ego of pathological repair is unmasked, further changing the dynamics and mutual interactivity of the situation.

 

Normally, acute inflammation (ai) has an inducing or proliferative effect on the wound module (wm), ai gÉ wm.  In a normal wound, that is all there is to it, acute inflammation turns on wound healing, and each phase runs its own course.  (Normal healing does not have a lot of direct inhibitory feedback on inflammation.  Instead, inflammation runs its course and extinguishes itself if there is no further injury as repair ramps up.  To the extent though that repair keeps the tissues in a “good state” that inflammation is not alerted to, then the wound module can be seen as having some inhibitory feedback on acute inflammation, ai Vf wm.)  In the chronic pathological wound, chronic inflammation (ci) joins the mix.  Chronic inflammation has an effect to suppress or upset the wound module, disorganizing it or retarding its kinetics, ci gV wm.  The altered wound module in turn is creating auto-sensitizers and exposed antigens which fuel the chronic inflammation ci Éf wm.  Note the symmetries in these dynamics:  acute inflammation begets wound module;  chronic inflammation suppresses wound module;  normal wound module suppresses acute inflammation;  altered wound module promotes chronic inflammation.  Thus, we have a system of mutual feedback, mutual promotion and inhibition, mutual predation and deprivation, mutual induction and suppression.  These are the same types of population dynamics that affected grass and sheep.

 

And not to belabor the point, but we must if we are to truly understand intrinsic wound disease, return to slide 67 and the interdependence of inflammation and thrombosis.  Normal events provoke a one-shot uprise and then decay of thrombosis (time frame minutes-to-hours) which then triggers an uprise then decay of inflammation (time frame hours-to-days).  Without being overly specific, you should be able to see that the same type of exponential or Verhulst style dynamics will apply to this system, the same as inflammation and wound healing.  If the system is healthy, then thrombosis and inflammation should be relatively sequential.  However, if they get locked into an attractor where both perpetually sustain and promote each other, then you have the destructive loop shown on slide 67.  This is just like the chronic inflammation and impaired wound module loop that we are discussing here.  So, inflammation is to thrombosis as sheep are to grass, and wound module is to inflammation as wolves are to sheep, giving us a three tier system with even greater complexity in its timewise dynamics.  Thrombosis will be a part of this no matter what, but when thrombosis is normal, then one-shot sequential linear dynamics occur, all the way through from initial injury to healed wound.  However, when thrombosis is faulty and it becomes the primary alteration that keeps renewing or replenishing the abnormal state, then the thrombosis-inflammation loop becomes non-linear and perpetuated, and in turn so does the inflammation-module loop, especially as inflammation transgresses from acute to chronic.  It is grass-sheep-wolves until some external force can interrupt some component of population or predation.  We have focused on hyperthrombotic states as a cause of all of this, because those are real diseases of real wounds and they are easy to demonstrate histologically, but the same applies to any other primary pathogen in this system that triggers persistent and chronic inflammation: chronic trauma, chronic allergy-atopy, chronic infection.

 

The wound situation is not 100% reducible to population logistics, because some other dynamics can also be defined here, such as other promoter-inhibitor models, and even [pseudo] harmonic feedback and amplification models as discussed on slide 67.  However, the principles of non-linear dynamics and inferences about how these systems will behave remain unaltered.  There is a reason that chronic and pathological wounds act “locked in”, now a bit better, now a bit worse, but fundamentally unaltered over long periods.  They are locked into a dynamical attractor where chronic inflammation and an altered wound module compete and promote and can not easily escape.

 

[2]  The whole wound healing system represents another concept in dynamics – it is a class of self-organizing automata.  Cellular automata are another foundational concept in non-linear dynamics.  They are systems in which individual elements, cells, have a set of strict deterministic rules governing their behavior and how they must interact with other cells.  If you throw them all into a pot, they will sort themselves out, generally ending up with complex highly organized structures based on just their few instructions.  That is what normal healthy acute wound healing is all about.  Each cell – monocyte, angiocyte, fibroblast, keratinocyte – has an assigned job, and if they can just do it, the wound self-organizes back to a stable stroma.  When you look at a chronic and pathological wound, productive self-organization is not happening.  However, from the point of view of a single plasma cell, monocyte, or fibroblast, there may be nothing really wrong, just “life in the ‘hood”.  They have no insight or collective concept of what they are trying to build.  Instead, as long as they are alive, they just do their own thing, day-by-day, reacting as programmed to local stimuli.  And as long as local cells can indeed do their own thing, then the wound and stroma reorganize without problem.  Problems happen when you throw a cadre of chronic inflammatory cells into the neighborhood.  Are they good cops, bad cops, street thugs and bullies, misguided vigilantes, officially sanctioned law enforcement, civil defense, or sanitation workers to clean up the mess?  It depends on your point of view, but if you are a neighborhood angiocyte, then that lymphocyte who doesn’t live on your street is probably going to beat you up.  Although each cell is alive and functioning correctly, the collective system and its set of cells fails to organize.

 

In summary, when you look at an intrinsically pathological wound, chronic, difficult to heal, perpetually a bit better then a bit worse in spite of treatment, you are seeing the same logistical dynamics that you would see when looking at the grassy field and its sheep.  Competition between wound module and chronic inflammation keeps the wound module from fully self-organizing.  The linear dynamics of a one-shot perturbation and response to a single trauma in a healthy subject, i.e. normal wound healing does not exist in the chronic pathological wound.  Instead, the chronic pathological wound exhibits typical non-linear dynamics, meaning chaos, orbits, and clinically undesirable but dynamically stable attractors that keep the wound module from getting to the finish line.  Chronic wounds are simply behaving as complex natural systems are expected to behave when their normal balance or attractor is stressed by added populations, promoters, or inhibitors.

 

What causes dynamical disruption of these populations and makes them misbehave?  In abstract theory, anything could.  In reality, these systems are robust and resilient, and the main pathology is when auto-immune sensitization against one of these populations (wound module) induces another population (chronic inflammation).  Recall what was said at the end of slide 70 about the evolutionary genesis of this system, “ . . . there are no major genetic or metabolic disorders of the stroma, and consequently none of the mesenchymal component of wound healing . . . when wound healing goes bad it reflects some sort of exogenous deprivation or attack . . .”  When the wound module is left to itself, it very reliably self-organizes back to a stable re-epithelialized stroma.  However, to do its own thing, it needs protection from exposure to the ambient world.  The inflammatory and immune host defense systems provide this protection, perfect shelter for the repair process underneath.  So, in principle, since the wound module elements themselves are essentially error-free, and since they are protected from exogenous attack, then wound healing should work perfectly . . . and it does, except for its Achilles heel.  The only thing that can and does goes wrong is the unexpected auto-attack, when the defender system turns and attacks the repair system.  This attack from a misdirected population is what disrupts self-organization.

 

The effects of cardiovascular disease are easy to understand if you know some rudimentary fluid dynamics.  The effects of respiratory disease are easy to understand if you know the basic physics of gases . . . mechanics for musculoskeletal disease, optics for eye disease, acoustics for ear disease, electricity for neuromuscular disease, and so on.  What are the physics of the wound?  The wound is not a pump and pipes like the heart, not a diffusion membrane like the lung, not a structural member like a bone, not a light collector like the eye, nor a sound transducer like the ear, nor a conductive network like nerves.  It is a collection of mutually interactive self-organizing cell populations.  Once you learn to appreciate the core anatomy and physiology of this special ad hoc reserve organ, the wound module, then its pathology becomes understandable – dynamical disorder of complex populations.  (See slide 83 for a bit more on the subject of dysdynamia and its effects on the complex wound system.)

 

(To learn the basics of this subject, one need only read about the logistic map and cellular automata in any introductory textbook about non-linear dynamics.  If you find it interesting, you can easily experiment with the logistic equation for yourself, as it is very easy to set this up on a spreadsheet, e.g. Microsoft Excel or OpenOffice SCalc.  Also, see the Arimedica website for more information about the wound as a control system and the behavior of non-linear systems and the non-linear wound:  “The Wound as a Non-Linear Control System”, May, 2006.  http://www.arimedica.com/content/arimedica_wounds_control_(poster)_2006-0516.pdf )

 

 

77

 

Section 3-B

 

In section 2-A we looked at the anatomical and tissue pathologies that result from the autoimmune diseases, and how they affect primarily the fibrous and vascular stroma, and thus why they are called “collagen-vascular diseases” and “connective tissue disorders”.  In section 2-B we looked at why autoimmunity develops in the first place and why it targets the connective-vascular stroma.  This occurs because a chronic inflammatory state unmasks immunogenic antigens in the connective and vascular stroma.  The last section 3-A demonstrated that autoimmune wounds have altered histological findings, confirming that wound healing itself is pathological, that it is sick.  This section 3-B will take the final step of putting these premises together and showing why wound healing is sick in these disorders.

 

 

78

Understanding how the auto-immunopathies affect wound healing is based on a few simple chains of reasoning.  (1) All mesenchymal stroma, the connective tissues, are composed of 2 cell types, fibroblasts and angiocytes.  (2) The mesenchymal portion of wound healing, depends on the same 2 cell types, fibroblasts, angiocytes, because wound healing is nothing more than the general stroma trying to reconstitute itself.  (3) The targets of mesenchymal autoimmune attack are the stromal soft tissues with their 2 cell types, fibroblasts and angiocytes.  (4) These predicates lead to this basic syllogism:

(a) Because they are both made of fibroblasts and angiocytes, diseases that affect collagen-vascular connective stroma ipso facto are diseases of the mesenchymal wound module (predicates 1 & 2)

(b) The autoimmune connective tissue disorders are the diseases that affect the collagen-vascular stroma (predicate 3).

(c) Therefore, the autoimmune connective tissue disorders are the diseases of wound healing.

 

The tissues that are the targets of the collagen-vascular diseases are therefore the casualties of wound disorder, the places where skin ulcers and musculoskeletal ruptures occur, the places where surgery is likely to have complications, the places where wound healing is retarded or incompetent.  The adverse effects can be seen on both sides of the wound healing divide: effects on the open ulcers before they are healed, and then effects on the resulting scars after they seem to be healed.  Perhaps the most pernicious aspect of the auto-immunopathies and connective tissue disorders is the duality of their effects.  They have an afferent effect on wounds to cause them, and then an efferent effect to keep them from healing.

 

 

79

We have made the case that the autoimmune connective tissue disorders are the true intrinsic diseases of wound healing.  For those who have never formally studied wounds, who only have the cursory awareness of the commonly appreciated wounds (trauma wounds and the “classic 4”), this may sound surprising,  But it should not be.  If wounds are made of fibroblasts and angiocytes, then diseases of fibroblasts and angiocytes are the wound diseases.  If you have not been seeing these wounds and diseases, it is because you have not been looking, merely ascribing all wounds to a limited set of commonly known diagnoses.  All effective care starts with diagnosis specific therapies, and that means making the correct diagnosis.  As stated in slide 11, it is time for those who would be expert in wounds to understand the full spectrum of relevant pathologies and diagnoses.  Once you start to recognize these wounds, and start to get the good results that come from specific therapies, the straightforward validity of the syllogism above will be evident.

 

 

 

80

Healing rates and times.  In support of this thesis, one need look only at the healing rates or healing times of various wound diagnoses.  The graph on the slide shows data from my clinic looking at days until healed stratified by diagnosis.  The rheumatoid and other autoimmune diagnoses take longer to heal.  This is because wound healing is broken in these disorders.  For the other diagnoses, generic wound healing throughout the body is intact, and wounds heal once local pathologies, injuries, and inhibitors are removed.  For the auto-immune disorders, wound healing itself is impaired.  Another diagnosis where wound healing is intrinsically impaired is radiation injury, but the cause is always known, and this is just a small fraction of all ulcers.  In contrast, the autoimmune chronic and pathological ulcers are a very big group of wounds.  Again, if you have not appreciated this, it is because you have not been looking nor being discriminating and exact about your diagnoses.

 

The pernicious effect of immunopathy on wound healing is also demonstrated in the table below.  This is Table 4 from the paper Gottlieb ME, Furman J:  Successful Management and Surgical Closure of Chronic and Pathological Wounds Using Integra®.  Journal of Burns & Surgical Wound Care, 3:2, 2004.  (The journal is now Eplasty, the Open Access Journal of Plastic Surgery, at www.eplasty.com.  The paper can also be read at the Arimedica website.).  Integra® collagen-gag matrix is an artificial skin and regenerative scaffold that has many uses in reconstructive plastic surgery and chronic wound care.  This table shows length of treatment time for 95 patients with chronic wounds, stratified by diagnosis.  Integra® is a two-step process:  (1) the matrix is placed on the wound and allowed to regenerate, then (2) skin grafts are placed on the regenerated neo-dermis.  The first set of data, “Integra-to-skin grafts”, shows the average regeneration time in weeks, the time between placing the material then placing the skin grafts.  It should be noted that Integra® has an effect to suppress normal wound healing, and instead turn on an embryonic model of dermis formation.  The length of this  phase, overall average 5.3 weeks, is largely independent of diagnosis, and immunopathy had no effect on this process.  However, skin grafts were not always completely successful, necessitating additional topical care or secondary skin grafts.  This latter phase of additional care was a matter of normal wound healing and wound care.  The second set of data shows the time to full healing, full epidermal restitution.  The average time to full healing was roughly 5 – 6 months for most diagnoses, but it was nearly 10 months for immunopathic and radiation ulcers, the two diagnoses where the local stromal cells and wound healing are rendered incompetent and intrinsically dysfunctional.

 

                Table 4.   Length of treatment

                Primary diagnosis                         Integra – to – skin grafts  (weeks)               Integra – to – healed  (months)                                .

                                                                        No. pts                   mean                       std                            No. pts                   mean                       std                            range

 

                Macro-arterial                                22                   5.3                  1.2                  16                   5.0                  2.5                  1 - 9

                Immunopathic                                 21                    5.4                   1.6                   12                    9.6                   5.3                   2 - 18

                Venous / lymphatic                       17                   4.6                  1.3                  11                   6.2                  3.2                  2 - 11

                Hypercoagulable                           6                      5.3                  2.0                  7                      5.8                  2.1                  4 - 9

                Mechanical / anatomical               8                      5.0                  1.3                  6                      5.2                  1.5                  3 - 7

                Radiation / malignancy                 6                      7.4                  3.9                  4                      9.8                  4.3                  5 - 15

                Diabetes                                         5                      4.3                  1.1                  3                      6.5                  2.1                  5 - 8

                Unknown                                         5                      4.1                  1.4                  4                      7.0                  0.8                  6 - 8

                Micro-occlusive                              1                      6.0                  - - -                 1                      4                      - - -                 - - -

                Trauma and surgery                       2                      4.6                  1.5                  1                      3                      - - -                 - - -

                Granulomatous / infectious           2                      4.1                  1.6                  1                      2                      - - -                 - - -

 

                Total                                               95                    5.3                   2.0                   66                    7.2                   4.3                   1 - 19

 

 

Wound chronicity.  This slide seems to be a good place for some ancillary items.  The long healing times mean that by the time these ulcers settle in for the long haul of treatment, they have become “chronic”, and this has greater implications than just the common use of that term.  We have been discussing CAP wounds, chronic and pathological, and so far the detailed focus has been on “pathological”.  Let us focus on “chronic” for a moment.  Remember from slide 29 and following that these problems have pre-ulcerative, then active-early ulcerative, then chronic-late features.  During early ulceration, you are apt to see disease specific findings, such as synovitis or panniculitis or cicatritis.  As the acute events wind down, the ulcers develop gross, histologic, biochemical, and behavioral features of wound chronicity.  These chronic features characterize CAP wounds as being distinctly different than acute healthy wounds.  [1]  Gross findings of chronicity are more or less the same for CAP wounds of any cause.  This is analogous to the end stage liver or kidney – each organ has a generic final pathological appearance regardless of a priori causes.  The gross features of chronic non-healing wounds are obviously very familiar to anyone caring for them.  [2]  Biochemical features of chronicity may not be as familiar to many practitioners, but this subject has garnered major attention from wound research bioscientists over the past decade.  There are many characterizations of chronic wound chemistry, and in the past few years we have started seeing an explosion of this work as gene chip analysis lets us look directly at what genes are on or off.  What has been learned in a short time is that chronic and acute wound biochemistry and genomics are dramatically different, reflecting two entirely different dynamical attractors.  (Hopefully the concept of “dynamical attractors” makes sense now after reading through the past several slides.)  [3]  Histologic features of chronicity have also been addressed in the past few slides.  The appearance of chronic inflammation and alterations in the wound module are easily observed and reflect fundamental differences between healthy and pathological, and between acute and chronic.  [4]  Behavioral features of chronicity are self evident – if it is not healing, it is chronic.  However, in the past few slides we have seen why chronicity develops, because the core physics of wound chronicity is the altered dynamical behavior of a collection of mutually interactive cell populations.

 

Research needs.  While this presentation is not discussing therapies and management, this slide is a good moment to mention a serious clinical research need in wound practice, the need to tailor therapies to specific flavors of immunopathy.  Just as rheumatology research has identified which of many anti-inflammatory and anti-immune therapies are best suited for specific nosological diagnoses, so too we in wounds have a need to match specific immunopathies, dermatoses, and wound profiles to the most effective anti-immune drugs for healing those wounds.

 

Localized versus systemic auto-immunity.  This is also a good place to mention auto-immune wounds versus generalized auto-immune states.  If a patient becomes sensitized to components of the connective stroma, then a global connective tissue disorder and inflammatory state could occur.  That is certainly the case with acute rheumatic fever, acute lupus, acute and chronic rheumatoid arthritis, etc.  For patients with chronic wounds, some do have active generalized inflammatory states or classic rheumatological diagnoses.  However, some seem to have clinical effects just on wounds and wound healing.  It is quite likely that for many of them, they are sensitized or immunized to occult antigens that appear only locally and incidentally in the wound itself.  These would be antigens unmasked during conditions of acute injury, inflammation, or wound healing, antigens related to localized thrombosis, inflammation, vascular and matrix degradation, and the proliferation and degradation of angiocytes and fibroblasts.  For the research-minded among the wound healing brotherhood, there is a lot of work to be done to identify the details of all of this.

 

 

81

Summary of 3-B

 

In this section, we have made the case that the autoimmune connective tissue disorders are the true intrinsic diseases of wound healing.  This is because the primary targets of the immunopathic connective tissue disorders, the mesenchymal stroma and its cells, the fibroblasts and angiocytes, are also the principal agents of wound healing.  Inasmuch as these disorders affect the primary agents of wound healing, wound healing is more impaired than for other chronic wound causes and diagnoses which are extrinsic to the primary process.

 

The autoimmune and CTD-CVD ulcers are a major category of chronic wounds and wound pathology, historically under-appreciated, but clinically and pathologically of paramount importance.

 

 

 

 

 

Section 4 – Epilogue and summary

Some loose ends and ancillary subjects will be discussed, and the major points and theses will be summarized.

 

 

 

82

 

Section 4

  

Immunopathy, Autoimmunity, & Diseases of Wound Healing, an Epilogue.  This is where we wrap up.

 

The trade card illustrated is from the latter 19th century, at the epitome of the “patent medicine” experience.  In an era when electricity was beginning to become important, it was an easy bit of hucksterism to promote Dr. Thomas’ Eclectric Oil, which was “capital for burns, bruises, cuts, and sprains”.  While we may sneer at fraudulent or unsubstantiated products, the truth is that proper care of any problem is only as good as the diagnosis.  If a wound diagnosis is incorrect, then the legitimacy of any one product is irrelevant if it is the wrong agent for the wrong purpose.

 

 

 

 

 

83

We have been discussing autoimmunity and the targeted disorders of angiocytes and fibroblasts as the intrinsic diseases of wound healing.  While that story is true, it is not quite complete.  These cells are just two elements of a complex inter-operative system.  Wound healing also depends on its ento-ectodermal component, the restoration of epithelium, and that has its own problems.  Then there are a bazillion individual micro-structures and chemicals that create and support the nuts-and-bolts operations of the major elements.  In spite of this, there are extremely few major diseases of the stroma, for the evolutionary reasons discussed after slide 70.  But there is another set of problems that we see regularly when looking at impaired wound behaviors, and that is dysfunction of the major cell populations in the wound and the dysfunction of the coordinated inter-operations of the whole system.  We have already talked a bit about this in the epilogue after slide 76, concerning population logistics and self-organizing automata.

 

Wound healing is “complex system”.  In physics, “complexity” has specific meanings beyond the everyday use of that word.  The functioning of complex systems is described by the science of non-linear dynamics (NLD).  While this too is beyond the scope of this presentation, a major point or two are worth understanding.  (1) Technically speaking, complexity is any system with three or more mutually inter-acting elements.  (2) Mutual interactions means that there are controls on the system, the ability of the system to recognize and respond to out-of-bounds conditions and try to hold to an allowable state.  (3) Complex systems tend to settle into stable states or “attractors” which can maintain their own stability;  complex systems can also “orbit” and meander through different states.  (4) In complex systems, minute changes can have huge impacts on the system state.  As introduced in the bioengineering article that is cited, the 21st century is the century of the system, when we start to look at complex systems as a whole, not at just individual small components.  Our main method of technical mathematics and engineering for the past 300 years, Newton’s calculus, cannot solve problems related to complex systems, but we can solve them with modern iterative techniques that require automated computation.  That is why complexity and NLD have become sciences of just the past 30 years.

 

What does this all have to do with wounds?  In reference to the 4 points in the last paragraph:  (1) Wound healing is a complex system of dozens or hundreds or more mutually interacting chemicals, structures, and cells.  (2) Wounds are a control system, a highly regulated feedback loop that corrects errors in the integrity of the body.  The main control loop is shown.  (3) The wound control system has three major attractors, (a) actively ulcerating, (b) actively closing, and (c) orbiting through states that may seem a bit better then a bit worse, but never really making any substantive changes (undoubtedly you have seen such wounds).  (4) Seemingly petty changes of health status or care can have large effects on re-ulceration or healing of a chronic and pathological wound.  “Dynamical disorders” are getting attention from people who study a variety of complex systems in biology, because they affect cardiovascular functions, neurological functions, endocrine and nutritional functions, even population and herd dynamics, and everything else.  The connective tissue disorders are the diseases which affect the intrinsic elements and individual components of the wound healing system.  Dysdynamia is the disorder which affects the inter-operations and collective function of the wound healing system as a whole.

 

 

84

Summary

 

CAP wounds – chronic and pathological – have a variety of categories.  In addition to the “classic 4” are a variety of common and uncommon causes, many of which are under-appreciated by most practitioners (even those that are common and easily managed, such as mechanical ulcers).  A few of them most directly or adversely affect the intrinsic elements of the wound healing machinery, the stromal structures and cells, meaning vessels and connective matrix, angiocytes and fibroblasts.  These are the diseases of blood and lymphoreticular systems, of immunity and coagulation.  Hypercoagulable states and autoimmune states have been reviewed as the paradigms of micro-scale pathology that lead to the thrombo-infarctive and inflammatory-lytic patterns of necrosis and ulceration.  The intimate entanglement of thrombosis and inflammation is the engine that drives this pathology in the face of repetitive or sustained injury.  As we have seen, patients with one of these diseases, hypercoagulable or autoimmune, is likely to have the other as well, and histological examination of tissues demonstrates why.  Primary chronic thrombosis leads to chronic inflammation around these stromal structures, eventually leading to auto-immunization.  Connective tissue auto-immunization can be considered the truest most intrinsic disease of the mesenchymal component of the wound healing process.

 

The auto-immunopathic connective tissue & collagen vascular diseases are a major category of chronic wounds.  These diseases have two pernicious effects.  They cause ulceration via thrombo-infarctive and inflammatory lytic pathways, and they prevent healing by disruptive effects on the functions of the general connective stroma and the wound module via their targeting of fibroblasts and angiocytes or the structures that they make.  Because wound healing is thus “broken”, immunopathic ulcers are a challenge to treat.

 

Hopefully it can now be appreciated that so called “atypical wounds” are not atypical at all.  They are typical, in fact prototypical.  And their significance is not just related to the severity of the problem or difficulty treating these ulcers.  It relates to their prevalence.  Granted, these are significant problems because they are associated with nasty underlying diseases and they are hard to get healed.  However it is not as though they are rare wounds that get our attention only because of their severity.  They are common.  If someone has not noticed these wounds, it is not because they haven’t seen them, it is because they haven’t recognized them.  Too many practitioners are still tied to the anachronism of “the classic 4”.  All good outcomes start with a proper diagnosis so that proper care can be selected.  For these patients and ulcers, comprehensive management of both the wound and the underlying disease is generally rewarded with good albeit slow results.

 

The challenge of our day is to refine our understanding of these non-atypical ulcers.  Obvious opportunities for meaningful clinical research and therapeutic advances are in these areas:  dissemination of knowledge and professional education about this subject;  development of relevant clinical sciences, such as correlating disease and prognosis with histologic findings, blood serologies, and gene chip analysis;  cross-correlating specific diseases or wound and patient profiles against (a) the various pharmaceuticals used to control the underlying immune-inflammatory state, and (b) the various wound stimulatory or regulatory therapies that are evolving and appearing on the market.  All of this needs to be done with the goals of increasing healing rates and accelerating times to closure.

 

 

85

While our summary has been made, this presentation will end on the soapbox, with a reprise of an “Editorial about modern wound practice.” 

1

Chronic and pathological wounds (CAP wounds) represent a distinctive class of disease and clinical activity.

2

There is a non-expert misunderstanding of wounds that  focuses only on trauma and the several classic wound types.

3

Legitimate practitioners of this specialty must have the professional knowledge required to master these diseases, starting with relevant pathologies and clinical skills.

4

What are dismissed as "atypical wounds" are not atypical at all.  They are the core of chronic and pathological wounds, far more abundant and significant than most perceive.

 

 

 

86

 

Addendum

 

In the original presentation given on September 26, 2009, I threw in an extra slide at the last minute to illustrate how TYPICAL these wounds are (slide 95 below).  This was a new patient seen for the first time just 2 days before the presentation, so it seemed timely, to show how just how ordinary and common these cases can be when you see lots of wound patients.  I decided to throw in this addendum to follow up and to emphasize with some graphical drama a few of the main points.

 

 

87

As we have seen, auto-immunopathic states disorganize the wound module and break wound healing.  This results in prolonged healing times compared to other wound diagnoses which are extrinsic to the wound healing process.  What does broken wound healing look like?  That is, what does it look like when it is REALLY genuinely broken?  On this and the next slide, you will see 5 patients in whom wound healing is busted to the point that the mesenchymal components of the wound module simply do not exist to any meaningful or recognizable degree.

 

Left top:  the thigh in a patient with acute lupus (see slide 33).  The skin necrosis is more thrombo-infarctive in nature, rather than inflammatory-lytic, and she had hypercoagulable markers along with the immune markers, meaning that both pathologies are present.  Note the appearance of the femoral fascia.  Fascia fibers and subcutaneous adipose are still visible weeks after these wound occurred, with only the slightest hint of a pink blush to indicate some abortive angiogenesis.   Left bottom:  the ankle in a patient with chronic overlooked rheumatoid (see slides 26 and 33).  This wound had been present several years, and there is essential zero wound proliferation – you are looking at native anatomy as though the tissues had been excised just yesterday.  Right:  the dorsal foot in a patient with rheumatoid (see slide 31).  Over an interval of a few weeks of basic care, areolar fascias and tendon sheaths are still visible, with no wound proliferation over them.

 

 

88

Here are two more patients with auto-immunopathic diseases and ulcers in whom wound healing is broken and a wound module has failed to appear.  Left:  the buttock in a woman with rheumatoid, 6 months following some injury or ulcerative event.  While there is a pale pink blush of angiogenesis, all of the fat lobules of the subcutaneous adipose maintain their native anatomy, texture, and mechanics as though the wound had been created just 3 or 4 days ago in a normal person.  Right:  the leg in a woman with severe polymyositis following minor household trauma (bumping into a bed frame).  We have all seen wounds like this, but they are usually acute.  If the injury had occurred just a week ago, and if care had been neglected, and she then showed up in the emergency room, nobody would be surprised that an otherwise normal injury and wound looks this way under those circumstances.  However, this wound did have basic hygienic care, and it occurred 4 months ago.  Wound module events are so impaired that even eschar is not fully separated yet.

 

 

89

Now that we have seen a few cases of broken wound healing in immunopathic (and/or coagulopathic) patients, let us look at a few cases showing the microscopic anatomy of what is happening.  Left:  a wound from a 35 year old man with a primary hypercoagulable disorder, with multiple coagulopathic markers, various immune markers, severe venous disease, and femoro-tibial arteriosclerosis.  He had a large leg wound that was refractory to years of topical care, compression, and operative revascularization.  The vascular locus is peppered with plasma cells and lymphocytes, i.e. chronic inflammation, the key event that seems to disrupt proper proliferation and self-organization of the new stromal elements.  Right:  refractory leg ulcers in a 53 year old man with rheumatoid.  The tissues are dense with plasma cells, vessels and angiocytes are failing to coalesce and stabilize, and there is stasis and leukocyte trapping within the vessels.  All three dynamical populations are here:  acute inflammation, chronic inflammation, and wound module, and not one of them is behaving the way a healthy wound behaves.

 

 

90

These two images come from the same subject, a man with rheumatoid and leg ulcers.  Left:  the close up shows numerous plasma cells intermixed with the angiocytes and fibroblasts of the developing (or not developing) stroma.  Right:  the broader view shows that these activities predominate in the vascular locus, leading to disorganized and non-coalescent vessels.

 

 

91

Left:  A patient with hypercoagulopathic and immune markers.  The hypercoagulopathy was considered to be the primary state.  This is from the patient shown on slide 97.  There is chronic thrombosis and reorganization seen on this specimen, with vascular stasis and hemorrhage.  The vascular locus is filled with plasma cells and eosinophils.  Right:  another chronic leg ulcer in a hypercoagulable patient.  Here, the vascular locus is filled with lymphocytes.

 

 

92

This is from a scalp wound in a patient with a chronic radiation ulcer.  We think we understand the pathophysiology of radiation wounds fairly well.  Photonic energy damages DNA and nuclear machinery, by design.  Cell kill is latent, and becomes manifest during attempted mitosis.  Highly proliferative dividing cells such as cancers die quickly.  Cells which have no normal need to divide, such as mature stromal cells, can carry on vegetative functions and survive.  However, when such cells are asked to divide, such as for wound healing, the process dies with the cells.  Radiation injury is another example of where the intrinsic machinery of healing is broken (although radiation wounds are just a tiny fraction of all chronic wounds).

 

However, a slide like this suggests that the problem may be more complex.  Radiation may be the primary event that causes the wound and invokes acute inflammation, just like hypercoagulable microthrombosis does, but once the wound becomes chronic, then the same events occur that sensitize or immunize the patient to the stroma.  Since the leukocytes and lymphoid cells are marrow-derived and blood-borne, they have not been impaired by the radiation.  Left:  plasma cells in the vascular locus.  They surround a vessel, which while of fascinating morphology, is nonetheless strange and presumably not entirely healthy.  Right:  another area of the wound, looking like a rock concert for plasmacytes.  Something in this chronic wound has provoked the body to make immunoglobulins against its own stroma.

 

 

93

Left:  from a chronic sacral pressure ulcer.  Pressure ulcers are due to a trauma.  The cause of the wound is strictly extrinsic to the wound healing process, and such wounds are expected to have normal wound healing kinetics as long as pressure and other adverse mechanics and contact conditions are relieved.  This is generally true, but there is also nothing unusual about a chronic pressure ulcer that seems to defy these expectations, acting impaired and difficult to heal even after topical conditions are completely relieved.  These patients obviously have globally normal wound healing, and you can do surgery elsewhere on their bodies without problems, but the primary wounds seem to be misbehaved.  The key element in this adverse transformation to an impaired wound may just be the state of chronicity itself, giving the wound a chance to develop some degree of lymphocyte-mediated auto-sensitization and disruption of the dynamical integrity of the wound module.  This specimen is from the angio-attraction and angio-organization aminoglycan strata of the wound, and it would appear fairly normal except for one thing – the intense plasma cell infiltration along the vascular locus and elsewhere where angiocytes are streaming.

 

Right:  a chronic leg ulcer from a woman with rheumatoid.  In the center, there is intense lymphocyte infiltration in the vascular locus.  The vessels are disorganized, with chronic thrombosis and reorganization, implying that microthrombosis, either primary or secondary, is a key component of the process.  At right center are areas of non-lymphoid non-vascular cells lining up or chained together.  This morphology may well be strictly coincidental or random, but it is somewhat suggestive of the palisading seen in rheumatoid nodules, implying that chronic cell degradation with macrophage-histiocyte cleanup is going on.  If real and not artifactual, then we are seeing an example of intense lymphoid and macrophage admixture, presumably a key step in the process of auto-immunization and the transformation from acute to chronic wound status.

 

 

94

These two images come from the same wound, a leg ulcer in a 31 year old woman with a primary coagulopathic disorder and secondary immunopathy.  This is the subject from slide 74.  Left:  A close view shows the angio-attraction zone with numerous streaming angiocytes.  There is little evidence of angio-organization, in part because this view may be too high or superficial in the wound, but in part because of the diffuse admixture with plasma cells.  These cells presumably are attacking or degrading something in the local matrix or cell set, preventing proper wound module dynamics and self-organization.  Of interest are the large macrophages with ingested red cells.  Loose erythrocytes, i.e. “hemorrhage” are normal and expected in this stratum, because organizing uncoalesced vessels are still quite open and leaky.  In healthy wounds, a lot of this degrades and disappears.  However, in some wounds macrophages sequester the erythrocytes, degrade them within, and then they remain in situ as long term hemosiderin staining.  This is typical of venous ulcers and various others, and it should be no surprise after looking at the intense vascular stasis and congestion seen on slide 74.  Whether this is relevant to the issue of chronicity and auto-sensitization is unclear, but it does reveal that macrophage activity is significant in this wound, and may be part of the long term immune recognition and sensitization that has obviously taken place, as evidenced by the plasmacytes.  Right:  a wider view from a somewhat deeper zone in the same wound.  Cylindrical vascular structures have formed, the largest one conducting blood, but they are poorly organized, and overall expected wound architecture is disorganized and imprecise.  The entire field is infiltrated with plasma cells and some lymphocytes.

 

 

95

This 71 year old man presented just 2 days before this lecture was given, very timely, since his story, disease, and ulcers are paradigms of the issues being discussed.  He has had rheumatoid for 20 years, poorly treated.  Ankle ulcers have been present for 2 years.  His hands and wrists are a mess.  He lives in a perpetual state of arthralgias and stiffness, and it has become such a way of life for him that he has forgotten what normal is.  The ulcers have obviously had some sort of basic competent topical care, keeping them clean, hygienic, and free of gross complications and acute inflammation, but they have not changed much in 2 years.  Intralesional triamcinolone was given, and the patient was started on prednisone.  This slide was shown at the meeting to demonstrate an extraordinarily typical “atypical” ulcer, pathognomonic of ulceration with rheumatoid, lupus, and other classic connective tissue disorders.  This story continues on slide 96 . . .

 

 

 

96

When the patient was next seen 10 days later, I got one of the most sincere and emphatic thank you’s I have had in a while.  Within those 10 days, pain and symptoms were eliminated from the wounds, and generalized pain and stiffness were almost fully abated from his joints.  His wrists went from just a few degrees of motion to about 40-50 degrees combined volar and dorsiflexion.  MP and IP synovitis had subsided dramatically.  Other major joint groups had become more mobile and less painful.  The ulcers already showed improvements.  At 3 weeks, the medial ankle ulcers were nearly healed, and the larger lateral wounds had decreased in measured area by 35%.  This summary is being written at just 4 weeks, so more of the story and more pictures are yet to unfold.  However, the key message should be clear.  Chronic inflammation is a potent inhibitor or disruptor of the wound module.  Control the inflammation, and wound dynamics should tend toward normal.

 

 

 

97

This is another timely patient, seen just one month before this lecture was given.  She is a 51 year old woman with a 5 year history of mixed connective tissue disorder.  Scleroderma-crest signs and symptoms are the most overt, but she has also been designated as lupus, rheumatoid, and mctd.  She has had episodes of large vein thrombosis in leg and arm, and anticardiolipin antibodies are confirmed.  History also includes multiple severe drug allergies and anti-drug antibodies.  The medial malleolar ulcer resulted from a minor household injury.  It has persisted as is, inflamed and painful for 7 months without response to various treatments.  Her auto-immune symptoms are active and have been for the past year.

 

Steroids were the key to successful treatment.  The patient reported good control of disease when she was on methylprednisolone.  However, she was switched to prednisone about a year ago because of Cushingoid symptoms, which is when disease symptoms became active.  The patient is on warfarin already for the thrombotic history.  Note that the appearance of the ulcer and periwound is inflammatory-lytic, not thrombo-infarctive.  Between exam and history, the immune-inflammatory state is likely to be the predominant pathology.  In addition to basic hygienic topical care and some light compression, the only treatment was an adjustment of her steroids back to an effective agent and dose.  She was started on methylprednisolone 12 mg daily.  As the pictures demonstrate, periwound inflammation was settled within one week, wound proliferation was evident at 2 weeks, and the wound was nearly healed on latest exam at 1o weeks.  All other systemic immunopathy symptoms have improved.  This case reiterates the message that chronic inflammation and autoimmunopathy are potent inhibitors or disruptors of the wound module.  Control the inflammation and the underlying disease, and wound dynamics should tend toward normal.

 

 

98

This is the same patient as on slide 91-left, a 25 year old woman with hypercoagulopathic and immune markers.  The hypercoagulopathy was considered to be the primary state.  She presented with multifocal vascular stasis and skin infarcts and ulcers.  The patterns of injury, ulceration, and diffuse skin changes were predominantly thrombo-infarctive.  Histology showed chronic periarteritis, but no signs of primary leukocytoclastic arteritis or polyarteritis nodosa.  For two years, we treated her with warfarin anticoagulation.  This tended to keep disease quiet, and the various ulcers and skin changes healed at times.  However, disease was never completely quiet, and she would periodically have recurrent events.  After two years, disease activity accelerated.  The addition of steroids was helpful, but not curative.  To the extent that it did help, prednisone doses crept up, but the patient developed a variety of hyper-cortisolism side effects.  A switch to auto-immune drugs was tried, but azothioprine and others were ineffective.  However, as soon as the patient was put on cyclophosphamide, the disease was put to sleep, and she healed.  Steroids were withdrawn, and the process has stayed quiet.

 

Top left (1):  The problem at the beginning of the third year, when disease and ulceration accelerated and became unresponsive to just anticoagulants.  Note the gross inflammatory signs of dermatitis and panniculitis.  Top right: (2):  A few weeks later, the scene in image 1 is settled a bit with steroids, but not cured.  Bottom left (3):  Three months later, the patient had an intense resurgence of disease with diffuse focal ulceration, severe pain, and related thrombotic and inflammatory changes in the skin and lesions.  This is when therapy became more aggressive.  Bottom right (4):  Seven months later, a few months into cyclophosphamide therapy, the legs are completely healed, all inflammatory changes are gone, all thrombo-infarctive and vascular stasis changes are gone, and general status is improving including involution of Cushingoid changes.

 

Regardless of what the original primary pathology was, she ultimately got better only with a potent antimetabolite that is used to arrest the proliferation of reticuloendothelial and lymphoid cells.  This means that in the end the active pathology and the impaired wound healing were attributable to the chronic inflammatory state.  You saw the problem on slides 91-left and 68-right, a chronic plasmacytic (lymphoid) perivasculitis.  This was not an acute or neutrophilic vasculitis as one might ordinarily think about the connective tissue disorders and the classic arteritides.  This is the chronic pathological wound in all of its perverse dynamical misbehavior, with chronic inflammation disrupting the wound module.

 

 

99

 

End

 

 

 

100

 

Abstract (as submitted in advance of the meeting)

 

(NOT) ATYPICAL ULCERS

 

Marc E. Gottlieb, MD, FACS

Phoenix, AZ

meg99az@cox.net

arimedica.com

 

This is a simple conspectus of the presentation that will be given.  The final presentation will be posted at the website arimedica.com.  You can view the presentation and annotations there.

The main concepts presented are:

 

1  -  Chronic and pathological wounds (CAP wounds) represent a distinctive class of disease and clinical activity.

2  -  There is a non-expert legacy understanding-misunderstanding of wounds that focuses only on trauma and a few standard categories of CAP wounds - arterial, venous, pressure, diabetes.

3  -  Legitimate purveyors, professors, practitioners, and professionals of the specialty of wounds must understand the professional level of knowledge that appertains to understanding these diseases.  Like all specialties, that starts with an understanding of the full spectrum of relevant pathologies.

4  -  What are often dismissed as "atypical wounds" are not atypical at all.  In fact, they are the core of chronic and pathological wounds, and they are far more abundant and significant than non-experts perceive.

5  -  The subject of CAP wounds is encyclopedic, both in scope and in established knowledge and experience, and a comprehensive summary will not be made.

6  -  Relevant concepts will be briefly illustrated by two of the most common types of misunderstood, under-appreciated, and overlooked problem wounds:  mechanical ulcers and coagulopathic ulcers.

7  -  Relevant concepts will then be further illustrated by a more detailed review of immunopathic ulcers and diseases.

8  -  The talk culminates in understanding one crucial concept - that the autoimmune connective tissue disorders are the true intrinsic diseases of wound healing.

9  -  Emphasis will be drawn to the prevalence and significance of immunopathic ulceration, then to the caveats and all-too-common poor outcomes attributable to improper diagnosis and uninformed care of these all-too-typical ulcers.

 

Regarding items #6 & 7, concerning hematological and immunopathic ulcers, the following key points will be illustrated and explained:

-  Wound and soft tissue pathology is vitally contingent on several core, highly interconnected, non-linear auto-amplifying combinations of events and responses:

                coagulopathy - immunopathy - angiopathy - panniculopathy

                injury - inflammation - thrombosis

                pathergy - necrosis - ulceration

-  Understanding these chains is crucial to understanding and anticipating the behavior of the causative diseases and the resulting wounds, and then to applying effective care.

-  Patients presenting with pathological wounds not only have some aberration of these chains, but they almost invariably have multiple such abnormalities, e.g. markers of auto-immunopathy almost invariably accompany the hypercoagulable disorders.

 

Regarding item #8, that the autoimmune connective tissue disorders are the true intrinsic diseases of wound healing, the following key points will be illustrated and explained:

-  The mesenchymal component of wound healing has just two intrinsic proliferative cells, angiocytes and fibroblasts, which are likewise the only two cells which constitute the generalized stroma of the body.

-  The connective tissue disorders, aka collagen vascular diseases affect these cells.  Thus the collagen vascular diseases affect wound healing.

-  While this syllogism might seen overly simple, it is not.  It is the core paradigm of pathology that disrupts the functioning of these cells, preventing them from re-establishing a continuous stroma.

-  Key to understanding this relationship is in understanding that the connective tissue disorders are auto-immunopathic.

-  The origins of autoimmunopathy against apocryphal and sequestered antigens will be explained, as a function of chronic primary inflammation and micro-thrombosis.

-  The subsequent effects of autoimmunopathy on the functioning of the proliferative wound module can then be understood.

-  Immunopathic disorders are a two-edged sword:  they both cause ulceration and then impair subsequent healing.  As the true diseases of wound healing, clinical management is prone to frustrations, failures, and prolonged healing times.

 

In summary, what naives call "atypical wounds" are not.  They are common and ordinary, and they constitute the core of chronic and pathological CAP wounds - they are typical.  Among the several interconnected primary pathologies that cause them, the autoimmune connective tissue disorders are the important archetype, and they are in fact the true intrinsic diseases of wound healing.

 

 

 

101

AUTOIMMUNOPATHY AND CONNECTIVE TISSUE DISORDERS

THE TRUE INTRINSIC DISEASES OF WOUND HEALING

 

Original presentation September 26, 2009, Miami, at the

4th Annual Wound Symposium of Baptist Health South Florida

 

The presentation and related materials are accessible at:

arimedica.com

 

Content may be used for non-commercial educational purposes.

Content may not be published or used for commercial purposes without prior license or permission.

 

Contact information is on the slide.

 

Copyright © 2009, Marc E. Gottlieb, MD

 

Revision 10b,  November 5, 2009